Skip to main content

Myelin expression factor 2 Antibody - Azide and BSA Free

Novus Biologicals, part of Bio-Techne | Catalog # NBP2-93986

Novus Biologicals, part of Bio-Techne
Catalog #
Availability
Size / Price
Qty
Loading...
NBP2-93986-0.02ml
NBP2-93986-0.1ml

Key Product Details

Species Reactivity

Human, Mouse, Rat

Applications

Immunohistochemistry, Immunohistochemistry-Paraffin, Western Blot, Immunocytochemistry/ Immunofluorescence

Label

Unconjugated

Antibody Source

Polyclonal Rabbit IgG

Format

Azide and BSA Free

Concentration

Please see the vial label for concentration. If unlisted please contact technical services.

Product Specifications

Immunogen

Recombinant fusion protein containing a sequence corresponding to amino acids 1-120 of human MYEF2 (NP_001288139.1). MADANKAEVPGATGGDSPHLQPAEPPGEPRREPHPAEAEKQQPQHSSSSNGVKMENDESAKEEKSDLKEKSTGSKKANRFHPYSKDKNSGTGEKKGPNRNRVFISNIPYDMKWQAIKDLM

Clonality

Polyclonal

Host

Rabbit

Isotype

IgG

Description

Novus Biologicals Rabbit Myelin expression factor 2 Antibody - Azide and BSA Free (NBP2-93986) is a polyclonal antibody validated for use in IHC, WB and ICC/IF. All Novus Biologicals antibodies are covered by our 100% guarantee.

Scientific Data Images for Myelin expression factor 2 Antibody - Azide and BSA Free

Western Blot: Myelin expression factor 2 AntibodyAzide and BSA Free [NBP2-93986]

Western Blot: Myelin expression factor 2 AntibodyAzide and BSA Free [NBP2-93986]

Western Blot: Myelin expression factor 2 Antibody [NBP2-93986] - Analysis of extracts of various cell lines, using Myelin expression factor 2 at 1:1000 dilution.Secondary antibody: HRP Goat Anti-Rabbit IgG (H+L) at 1:10000 dilution.Lysates/proteins: 25ug per lane.Blocking buffer: 3% nonfat dry milk in TBST.Detection: ECL Basic Kit .Exposure time: 30s.
Immunocytochemistry/ Immunofluorescence: Myelin expression factor 2 Antibody - Azide and BSA Free [NBP2-93986]

Immunocytochemistry/ Immunofluorescence: Myelin expression factor 2 Antibody - Azide and BSA Free [NBP2-93986]

Immunocytochemistry/Immunofluorescence: Myelin expression factor 2 Antibody [NBP2-93986] - Analysis of C6 cells using Myelin expression factor 2 at dilution of 1:100. Blue: DAPI for nuclear staining.
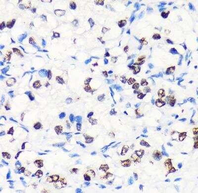
Immunohistochemistry-Paraffin: Myelin expression factor 2 Antibody - Azide and BSA Free [NBP2-93986]

Immunohistochemistry-Paraffin: Myelin expression factor 2 Antibody - Azide and BSA Free [NBP2-93986]

Immunohistochemistry-Paraffin: Myelin expression factor 2 Antibody [NBP2-93986] - Human liver cancer using MYEF2 Rabbit pAb at dilution of 1:100 (40x lens).

Applications for Myelin expression factor 2 Antibody - Azide and BSA Free

Application
Recommended Usage

Immunocytochemistry/ Immunofluorescence

1:50-1:200

Immunohistochemistry

1:50-1:200

Western Blot

1:500-1:2000

Formulation, Preparation, and Storage

Purification

Affinity purified

Formulation

PBS (pH 7.3), 50% glycerol

Format

Azide and BSA Free

Preservative

0.01% Thimerosal

Concentration

Please see the vial label for concentration. If unlisted please contact technical services.

Shipping

The product is shipped with polar packs. Upon receipt, store it immediately at the temperature recommended below.

Stability & Storage

Store at -20C. Avoid freeze-thaw cycles.

Background: Myelin expression factor 2

Transcriptional repressor of the myelin basic protein gene (MBP). Binds to the proximal MB1 element 5'-TTGTCC-3' of the MBP promoter. Its binding to MB1 and function are inhibited by PURA

Alternate Names

FLJ11213, HsT18564, KIAA1341MSTP156, MEF-2myEF-2, MGC87325, MST156, MyEF-2, myelin expression factor 2, myelin gene expression factor 2

Gene Symbol

MYEF2

Additional Myelin expression factor 2 Products

Product Documents for Myelin expression factor 2 Antibody - Azide and BSA Free

Certificate of Analysis

To download a Certificate of Analysis, please enter a lot number in the search box below.

Product Specific Notices for Myelin expression factor 2 Antibody - Azide and BSA Free

This product is for research use only and is not approved for use in humans or in clinical diagnosis. Primary Antibodies are guaranteed for 1 year from date of receipt.

Loading...
Loading...
Loading...
Loading...

⚠ WARNING: This product can expose you to chemicals including Methotrexate, which is known to the State of California to cause reproductive toxicity with developmental effects. For more information, go to www.P65Warnings.ca.gov