Skip to main content

MMP-13 Antibody - BSA Free

Novus Biologicals, part of Bio-Techne | Catalog # NBP2-17310

Novus Biologicals, part of Bio-Techne
Catalog #
Availability
Size / Price
Qty
Loading...
NBP2-17310

Key Product Details

Species Reactivity

Validated:

Human, Mouse, Rat

Cited:

Rat

Predicted:

Rabbit (100%). Backed by our 100% Guarantee.

Applications

Validated:

Immunohistochemistry, Immunohistochemistry-Paraffin, Immunohistochemistry-Frozen, Western Blot, Immunocytochemistry/ Immunofluorescence

Cited:

Western Blot, Immunocytochemistry/ Immunofluorescence

Label

Unconjugated

Antibody Source

Polyclonal Rabbit IgG

Format

BSA Free

Concentration

Concentrations vary lot to lot. See vial label for concentration. If unlisted please contact technical services.

Product Specifications

Immunogen

Carrier-protein conjugated synthetic peptide encompassing a sequence within the center region of human MMP-13. The exact sequence is proprietary.

Reactivity Notes

Rat reactivity reported in scientific literature (PMID: 28265573).

Localization

Secreted; extracellular space; extracellular matrix

Clonality

Polyclonal

Host

Rabbit

Isotype

IgG

Theoretical MW

54 kDa.
Disclaimer note: The observed molecular weight of the protein may vary from the listed predicted molecular weight due to post translational modifications, post translation cleavages, relative charges, and other experimental factors.

Scientific Data Images for MMP-13 Antibody - BSA Free

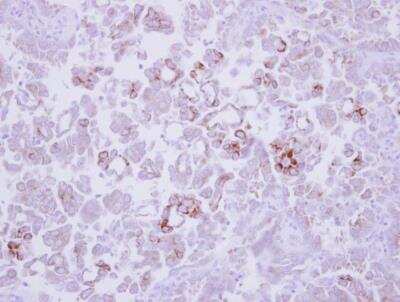
Immunohistochemistry-Paraffin: MMP-13 Antibody [NBP2-17310]

Immunohistochemistry-Paraffin: MMP-13 Antibody [NBP2-17310]

Immunohistochemistry-Paraffin: MMP-13 Antibody [NBP2-17310] - Human lung adenocarcinoma, using MMP13 antibody at 1:250 dilution. Antigen Retrieval: Trilogy™ (EDTA based, pH 8.0) buffer, 15min.
MMP-13 Antibody - BSA Free

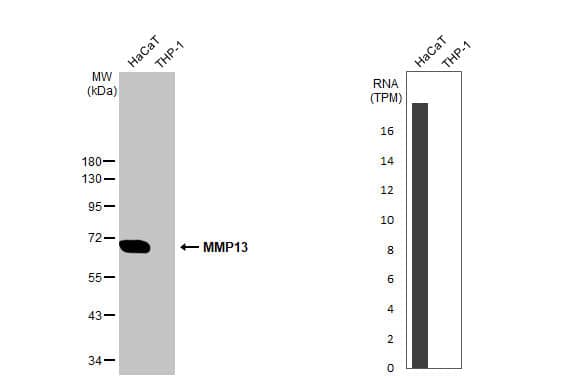
Western Blot: MMP-13 Antibody [NBP2-17310] -

Various whole cell extracts (30 ug) were separated by 10% SDS-PAGE, and the membrane was blotted with MMP13 antibody [N3C1], Internal (NBP2-17310) diluted at 1:1000. The HRP-conjugated anti-rabbit IgG antibody was used to detect the primary antibody. Corresponding RNA expression data for the same cell lines are based on Human Protein Atlas program.
MMP-13 Antibody - BSA Free

Immunocytochemistry/ Immunofluorescence: MMP-13 Antibody [NBP2-17310] -

MMP13 antibody [N3C1], Internal detects MMP13 protein at cytoplasm by immunofluorescent analysis.
Sample: NT2D1 cells were fixed in ice-cold MeOH for 5 min.
Green: MMP13 protein stained by MMP13 antibody [N3C1], Internal (NBP2-17310) diluted at 1:500.
Blue: Hoechst 33342 staining.
Scale bar = 10 um.

Applications for MMP-13 Antibody - BSA Free

Application
Recommended Usage

Immunocytochemistry/ Immunofluorescence

1:100-1:1000

Immunohistochemistry

1:100-1:1000

Immunohistochemistry-Frozen

Assay dependent

Immunohistochemistry-Paraffin

1:100-1:1000

Western Blot

1:500-1:3000

Formulation, Preparation, and Storage

Purification

Antigen Affinity-purified

Formulation

PBS, 20% Glycerol

Format

BSA Free

Preservative

0.025% Proclin 300

Concentration

Concentrations vary lot to lot. See vial label for concentration. If unlisted please contact technical services.

Shipping

The product is shipped with polar packs. Upon receipt, store it immediately at the temperature recommended below.

Stability & Storage

Aliquot and store at -20C or -80C. Avoid freeze-thaw cycles.

Background: MMP-13

Proteins of the matrix metalloproteinase (MMP) family are involved in the breakdown of extracellular matrix in normal physiological processes, such as embryonic development, reproduction, and tissue remodeling, as well as in disease processes, such as arthritis and metastasis. Most MMP's are secreted as inactive proproteins which are activated when cleaved by extracellular proteinases. The protein encoded by this gene cleaves type II collagen more efficiently than types I and III. It may be involved in articular cartilage turnover and cartilage pathophysiology associated with osteoarthritis. The gene is part of a cluster of MMP genes which localize to chromosome 11q22.3. [provided by RefSeq]

Long Name

Matrix Metalloproteinase 13

Alternate Names

MMP13

Gene Symbol

MMP13

UniProt

Additional MMP-13 Products

Product Documents for MMP-13 Antibody - BSA Free

Certificate of Analysis

To download a Certificate of Analysis, please enter a lot number in the search box below.

Product Specific Notices for MMP-13 Antibody - BSA Free

This product is for research use only and is not approved for use in humans or in clinical diagnosis. Primary Antibodies are guaranteed for 1 year from date of receipt.

Loading...
Loading...
Loading...
Loading...

⚠ WARNING: This product can expose you to chemicals including mercury, which is known to the State of California to cause reproductive toxicity with developmental effects.  For more information go to www.P65Warnings.ca.gov.