Skip to main content

MLF2 Antibody - BSA Free

Novus Biologicals, part of Bio-Techne | Catalog # NBP3-35637

Novus Biologicals, part of Bio-Techne
Catalog #
Availability
Size / Price
Qty
Loading...
NBP3-35637-100ul
NBP3-35637-20ul

Key Product Details

Species Reactivity

Human, Mouse, Rat

Applications

Immunohistochemistry, Immunohistochemistry-Paraffin, Western Blot, ELISA

Label

Unconjugated

Antibody Source

Polyclonal Rabbit IgG

Format

BSA Free

Concentration

Please see the vial label for concentration. If unlisted please contact technical services.

Product Specifications

Immunogen

Recombinant fusion protein containing a sequence corresponding to amino acids 1-65 of human MLF2 (NP_005430.1).

Sequence:
MFRFMRDVEPEDPMFLMDPFAIHRQHMSRMLSGGFGYSPFLSITDGNMPGTRPASRRMQQAGAVS

Clonality

Polyclonal

Host

Rabbit

Isotype

IgG

Theoretical MW

28 kDa.
Disclaimer note: The observed molecular weight of the protein may vary from the listed predicted molecular weight due to post translational modifications, post translation cleavages, relative charges, and other experimental factors.

Description

Novus Biologicals Rabbit MLF2 Antibody - BSA Free (NBP3-35637) is a polyclonal antibody validated for use in IHC, WB and ELISA. All Novus Biologicals antibodies are covered by our 100% guarantee.

Scientific Data Images for MLF2 Antibody - BSA Free

MLF2 Antibody

Immunohistochemistry: MLF2 Antibody [NBP3-35637] -

Immunohistochemistry: MLF2 Antibody [NBP3-35637] - Immunohistochemistry analysis of paraffin-embedded Rat liver using MLF2 Rabbit pAb at dilution of 1:100 (40x lens). Microwave antigen retrieval performed with 0.01M PBS Buffer (pH 7.2) prior to IHC staining.
MLF2 Antibody

Immunohistochemistry: MLF2 Antibody [NBP3-35637] -

Immunohistochemistry: MLF2 Antibody [NBP3-35637] - Immunohistochemistry analysis of paraffin-embedded Human esophageal using MLF2 Rabbit pAb at dilution of 1:100 (40x lens). Microwave antigen retrieval performed with 0.01M PBS Buffer (pH 7.2) prior to IHC staining.
MLF2 Antibody

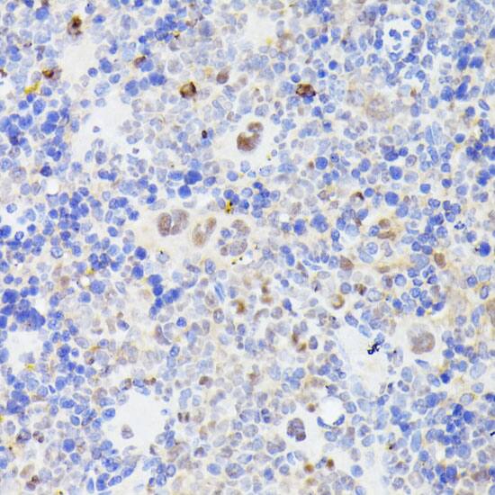
Immunohistochemistry: MLF2 Antibody [NBP3-35637] -

Immunohistochemistry: MLF2 Antibody [NBP3-35637] - Immunohistochemistry analysis of paraffin-embedded Mouse spleen using MLF2 Rabbit pAb at dilution of 1:100 (40x lens). Microwave antigen retrieval performed with 0.01M PBS Buffer (pH 7.2) prior to IHC staining.

Applications for MLF2 Antibody - BSA Free

Application
Recommended Usage

Immunohistochemistry-Paraffin

1:100 - 1:200

Western Blot

1:500 - 1:2000

Formulation, Preparation, and Storage

Purification

Affinity purified

Formulation

PBS (pH 7.3), 50% glycerol

Format

BSA Free

Preservative

0.01% Thimerosal

Concentration

Please see the vial label for concentration. If unlisted please contact technical services.

Shipping

The product is shipped with polar packs. Upon receipt, store it immediately at the temperature recommended below.

Stability & Storage

Store at -20C. Avoid freeze-thaw cycles.

Background: MLF2

Alternate Names

Myelodysplasia-myeloid leukemia factor 2, myeloid leukemia factor 2, NTN4

Gene Symbol

MLF2

Additional MLF2 Products

Product Documents for MLF2 Antibody - BSA Free

Certificate of Analysis

To download a Certificate of Analysis, please enter a lot number in the search box below.

Product Specific Notices for MLF2 Antibody - BSA Free

This product is for research use only and is not approved for use in humans or in clinical diagnosis. Primary Antibodies are guaranteed for 1 year from date of receipt.

Loading...
Loading...
Loading...
Loading...