Skip to main content

MLF2 Antibody - BSA Free

Novus Biologicals, part of Bio-Techne | Catalog # NBP1-82519

Novus Biologicals, part of Bio-Techne
Catalog #
Availability
Size / Price
Qty
Loading...
NBP1-82519
NBP1-82519-25ul

Key Product Details

Validated by

Independent Antibodies

Species Reactivity

Validated:

Human

Predicted:

Mouse (95%), Rat (95%). Backed by our 100% Guarantee.

Applications

Immunohistochemistry, Immunohistochemistry-Paraffin, Immunocytochemistry/ Immunofluorescence

Label

Unconjugated

Antibody Source

Polyclonal Rabbit IgG

Format

BSA Free

Concentration

Concentrations vary lot to lot. See vial label for concentration. If unlisted please contact technical services.

Product Specifications

Immunogen

This antibody was developed against Recombinant Protein corresponding to amino acids: MFRFMRDVEPEDPMFLMDPFAIHRQHMSRMLSGGFGYSPFLSITDGNMPGTRPASRRMQQA

Clonality

Polyclonal

Host

Rabbit

Isotype

IgG

Scientific Data Images for MLF2 Antibody - BSA Free

Immunocytochemistry/ Immunofluorescence: MLF2 Antibody [NBP1-82519]

Immunocytochemistry/ Immunofluorescence: MLF2 Antibody [NBP1-82519]

Immunocytochemistry/Immunofluorescence: MLF2 Antibody [NBP1-82519] - Staining of human cell line U-251 MG shows localization to nucleoplasm and plasma membrane. Antibody staining is shown in green.
MLF2 Antibody - BSA Free

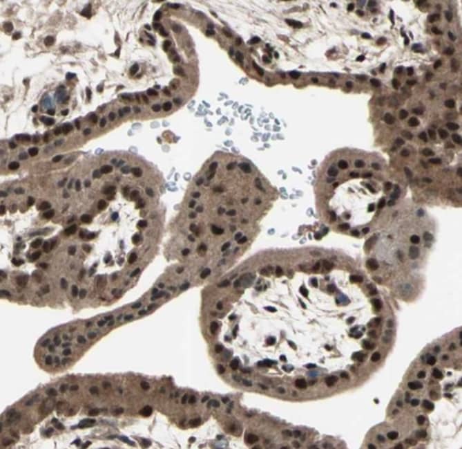
MLF2 Antibody [NBP1-82519] -

Staining of human placenta shows strong nuclear-cytoplasmic positivity in trophoblastic cells.
MLF2 Antibody - BSA Free

MLF2 Antibody [NBP1-82519] -

Staining of human cerebral cortex shows strong nuclear/nuclear membranous-cytoplasmic positivity in neurons.

Applications for MLF2 Antibody - BSA Free

Application
Recommended Usage

Immunocytochemistry/ Immunofluorescence

0.25-2 ug/ml

Immunohistochemistry

1:20 - 1:50

Immunohistochemistry-Paraffin

1:20 - 1:50
Application Notes
IHC-Paraffin, HIER pH 6 retrieval is recommended. ICC/IF, Fixation Permeabilization: Use PFA/Triton X-100.

Formulation, Preparation, and Storage

Purification

Affinity purified

Formulation

PBS (pH 7.2) and 40% Glycerol

Format

BSA Free

Preservative

0.02% Sodium Azide

Concentration

Concentrations vary lot to lot. See vial label for concentration. If unlisted please contact technical services.

Shipping

The product is shipped with polar packs. Upon receipt, store it immediately at the temperature recommended below.

Stability & Storage

Store at 4C short term. Aliquot and store at -20C long term. Avoid freeze-thaw cycles.

Background: MLF2

Alternate Names

Myelodysplasia-myeloid leukemia factor 2, myeloid leukemia factor 2, NTN4

Gene Symbol

MLF2

Additional MLF2 Products

Product Documents for MLF2 Antibody - BSA Free

Certificate of Analysis

To download a Certificate of Analysis, please enter a lot number in the search box below.

Product Specific Notices for MLF2 Antibody - BSA Free

This product is for research use only and is not approved for use in humans or in clinical diagnosis. Primary Antibodies are guaranteed for 1 year from date of receipt.

Loading...
Loading...
Loading...
Loading...