mitochondrial ribosomal protein L35 Antibody - BSA Free
Novus Biologicals, part of Bio-Techne | Catalog # NBP1-92119
Key Product Details
Species Reactivity
Human
Applications
Immunohistochemistry, Immunohistochemistry-Paraffin
Label
Unconjugated
Antibody Source
Polyclonal Rabbit IgG
Format
BSA Free
Concentration
Concentrations vary lot to lot. See vial label for concentration. If unlisted please contact technical services.
Product Specifications
Immunogen
This antibody was developed against Recombinant Protein corresponding to amino acids: LASSTYRNCVKNASLISALSTGRFSHIQTPVVSSTPRLTTSERNLTCGHTSVILNRMAPVLPSVLKLPVRSLTYF
Clonality
Polyclonal
Host
Rabbit
Isotype
IgG
Scientific Data Images for mitochondrial ribosomal protein L35 Antibody - BSA Free
Immunohistochemistry-Paraffin: mitochondrial ribosomal protein L35 Antibody [NBP1-92119]
Immunohistochemistry-Paraffin: mitochondrial ribosomal protein L35 Antibody [NBP1-92119] - Staining of human esophagus shows strong cytoplasmic positivity in squamous epithelial cells.Immunohistochemistry: mitochondrial ribosomal protein L35 Antibody - BSA Free [NBP1-92119]
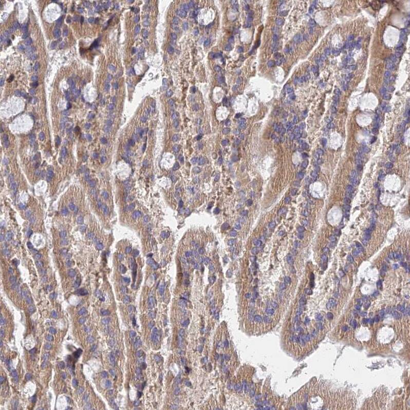
Staining of human duodenum shows moderate granular cytoplasmic positivity in glandular cells.Applications for mitochondrial ribosomal protein L35 Antibody - BSA Free
Application
Recommended Usage
Immunohistochemistry
1:20 - 1:50
Immunohistochemistry-Paraffin
1:20 - 1:50
Application Notes
For IHC-Paraffin, HIER pH 6 retrieval is recommended.
Formulation, Preparation, and Storage
Purification
Affinity purified
Formulation
PBS (pH 7.2) and 40% Glycerol
Format
BSA Free
Preservative
0.02% Sodium Azide
Concentration
Concentrations vary lot to lot. See vial label for concentration. If unlisted please contact technical services.
Shipping
The product is shipped with polar packs. Upon receipt, store it immediately at the temperature recommended below.
Stability & Storage
Store at 4C short term. Aliquot and store at -20C long term. Avoid freeze-thaw cycles.
Background: mitochondrial ribosomal protein L35
Alternate Names
L35mt, mitochondrial ribosomal protein L35, MRP-L35,39S ribosomal protein L35, mitochondrial
Gene Symbol
MRPL35
Additional mitochondrial ribosomal protein L35 Products
Product Documents for mitochondrial ribosomal protein L35 Antibody - BSA Free
Product Specific Notices for mitochondrial ribosomal protein L35 Antibody - BSA Free
This product is for research use only and is not approved for use in humans or in clinical diagnosis. Primary Antibodies are guaranteed for 1 year from date of receipt.
Loading...
Loading...
Loading...
Loading...