Mitochondrial-processing peptidase subunit beta Antibody - BSA Free
Novus Biologicals, part of Bio-Techne | Catalog # NBP3-47106
Key Product Details
Species Reactivity
Human, Mouse, Rat
Applications
Immunohistochemistry, Western Blot, ELISA, Immunocytochemistry/ Immunofluorescence
Label
Unconjugated
Antibody Source
Polyclonal Rabbit IgG
Format
BSA Free
Concentration
Please see the vial label for concentration. If unlisted please contact technical services.
Product Specifications
Immunogen
peptidase (mitochondrial processing) beta. (Uniprot# O75439)
Clonality
Polyclonal
Host
Rabbit
Isotype
IgG
Theoretical MW
50 kDa.
Disclaimer note: The observed molecular weight of the protein may vary from the listed predicted molecular weight due to post translational modifications, post translation cleavages, relative charges, and other experimental factors.
Disclaimer note: The observed molecular weight of the protein may vary from the listed predicted molecular weight due to post translational modifications, post translation cleavages, relative charges, and other experimental factors.
Description
Novus Biologicals Rabbit Mitochondrial-processing peptidase subunit beta Antibody - BSA Free (NBP3-47106) is a polyclonal antibody validated for use in IHC, WB, ELISA and ICC/IF. All Novus Biologicals antibodies are covered by our 100% guarantee.
Scientific Data Images for Mitochondrial-processing peptidase subunit beta Antibody - BSA Free
Western Blot: Mitochondrial-processing peptidase subunit beta Antibody - BSA Free [NBP3-47106] -
Western Blot: Mitochondrial-processing peptidase subunit beta Antibody - BSA Free [NBP3-47106] - MCF7 cells were subjected to SDS PAGE followed by western blot with (Mitochondrial-processing peptidase subunit beta antibody) at dilution of 1:1000Immunohistochemistry: Mitochondrial-processing peptidase subunit beta Antibody - BSA Free [NBP3-47106] -
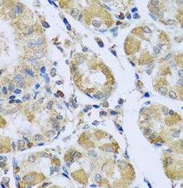
Immunohistochemistry: Mitochondrial-processing peptidase subunit beta Antibody - BSA Free [NBP3-47106] - Immunohistochemistry of paraffin-embedded human stomach using (Mitochondrial-processing peptidase subunit beta antibody) at dilution of 1:100Applications for Mitochondrial-processing peptidase subunit beta Antibody - BSA Free
Application
Recommended Usage
Immunocytochemistry/ Immunofluorescence
1:50 - 1:100
Immunohistochemistry
1:50 - 1:200
Western Blot
1:500 - 1:2000
Formulation, Preparation, and Storage
Purification
Immunogen affinity purified
Formulation
PBS, 50% Glycerol, pH (7.3)
Format
BSA Free
Preservative
0.02% Sodium Azide
Concentration
Please see the vial label for concentration. If unlisted please contact technical services.
Shipping
The product is shipped with polar packs. Upon receipt, store it immediately at the temperature recommended below.
Stability & Storage
Store at -20C. Avoid freeze-thaw cycles.
Background: Mitochondrial-processing peptidase subunit beta
Alternate Names
Beta-MPP, EC 3.4.24.64, mitochondrial processing peptidase beta subunit, mitochondrial-processing peptidase subunit beta, MPPBMPP11, MPPP52, P-52, peptidase (mitochondrial processing) beta
Gene Symbol
PMPCB
Additional Mitochondrial-processing peptidase subunit beta Products
Product Documents for Mitochondrial-processing peptidase subunit beta Antibody - BSA Free
Product Specific Notices for Mitochondrial-processing peptidase subunit beta Antibody - BSA Free
This product is for research use only and is not approved for use in humans or in clinical diagnosis. Primary Antibodies are guaranteed for 1 year from date of receipt.
Loading...
Loading...
Loading...
Loading...