Skip to main content

Mitochondrial fission regulator 1 Antibody - BSA Free

Novus Biologicals, part of Bio-Techne | Catalog # NBP1-84480

Novus Biologicals, part of Bio-Techne
Catalog #
Availability
Size / Price
Qty
Loading...
NBP1-84480
NBP1-84480-25ul

Key Product Details

Species Reactivity

Human

Applications

Immunocytochemistry/ Immunofluorescence, Immunohistochemistry, Immunohistochemistry-Paraffin, Western Blot

Label

Unconjugated

Antibody Source

Polyclonal Rabbit IgG

Format

BSA Free

Concentration

Concentrations vary lot to lot. See vial label for concentration. If unlisted please contact technical services.

Product Specifications

Immunogen

This antibody was developed against Recombinant Protein corresponding to amino acids: KPKPVDATDPAALIAEALKKKFAYRYRSDSQDEVEKGIPKSESEATSERVLFGPHMLKPTGKMKALIENVSD

Reactivity Notes

Immunogen displays the following percentage of sequence identity for non-tested species: Rat (81%)

Clonality

Polyclonal

Host

Rabbit

Isotype

IgG

Description

Novus Biologicals Rabbit Mitochondrial fission regulator 1 Antibody - BSA Free (NBP1-84480) is a polyclonal antibody validated for use in IHC, WB and ICC/IF. All Novus Biologicals antibodies are covered by our 100% guarantee.

Scientific Data Images for Mitochondrial fission regulator 1 Antibody - BSA Free

Immunocytochemistry/ Immunofluorescence: Mitochondrial fission regulator 1 Antibody [NBP1-84480]

Immunocytochemistry/ Immunofluorescence: Mitochondrial fission regulator 1 Antibody [NBP1-84480]

Immunocytochemistry/Immunofluorescence: Mitochondrial fission regulator 1 Antibody [NBP1-84480] - Staining of human cell line A-431 shows positivity in mitochondria. Antibody staining is shown in green.
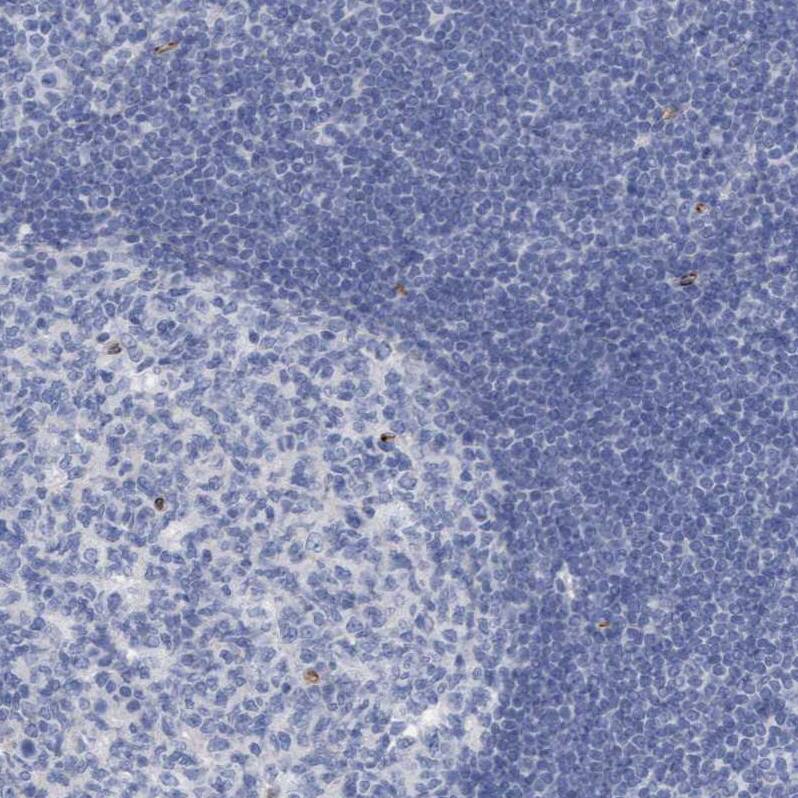
Mitochondrial fission regulator 1 Antibody - BSA Free Immunohistochemistry-Paraffin: Mitochondrial fission regulator 1 Antibody - BSA Free [NBP1-84480]

Immunohistochemistry-Paraffin: Mitochondrial fission regulator 1 Antibody - BSA Free [NBP1-84480]

Staining of human tonsil shows no positivity in non-germinal center cells as expected.
Mitochondrial fission regulator 1 Antibody - BSA Free Immunohistochemistry-Paraffin: Mitochondrial fission regulator 1 Antibody - BSA Free [NBP1-84480]

Immunohistochemistry-Paraffin: Mitochondrial fission regulator 1 Antibody - BSA Free [NBP1-84480]

Staining of human liver shows strong granular cytoplasmic positivity in hepatocytes.

Applications for Mitochondrial fission regulator 1 Antibody - BSA Free

Application
Recommended Usage

Immunocytochemistry/ Immunofluorescence

0.25-2 ug/ml

Immunohistochemistry

1:200 - 1:500

Immunohistochemistry-Paraffin

1:200 - 1:500

Western Blot

0.04-0.4 ug/ml
Application Notes
For IHC-Paraffin, HIER pH 6 retrieval is recommended. ICC/IF Fixation Permeabilization: Use PFA/Triton X-100.

Formulation, Preparation, and Storage

Purification

Immunogen affinity purified

Formulation

PBS (pH 7.2) and 40% Glycerol

Format

BSA Free

Preservative

0.02% Sodium Azide

Concentration

Concentrations vary lot to lot. See vial label for concentration. If unlisted please contact technical services.

Shipping

The product is shipped with polar packs. Upon receipt, store it immediately at the temperature recommended below.

Stability & Storage

Store at 4C short term. Aliquot and store at -20C long term. Avoid freeze-thaw cycles.

Background: Mitochondrial fission regulator 1

The Mitochondrial fission regulator 1 gene encodes a mitochondrial protein that is characterized by a poly-proline rich region. A chicken homolog of this protein promotes mitochondrial fission and the mouse homolog protects cells from oxidative stress. A related pseudogene of this gene i

Alternate Names

Chondrocyte protein with a poly-proline region, CHPPRKIAA0009FAM54A2, mitochondrial fission regulator 1

Gene Symbol

MTFR1

Additional Mitochondrial fission regulator 1 Products

Product Documents for Mitochondrial fission regulator 1 Antibody - BSA Free

Certificate of Analysis

To download a Certificate of Analysis, please enter a lot number in the search box below.

Product Specific Notices for Mitochondrial fission regulator 1 Antibody - BSA Free

This product is for research use only and is not approved for use in humans or in clinical diagnosis. Primary Antibodies are guaranteed for 1 year from date of receipt.

Loading...
Loading...
Loading...
Loading...