Skip to main content

METTL14 Antibody (CL4254) - Azide and BSA Free

Novus Biologicals, part of Bio-Techne | Catalog # NBP3-44126

Novus Biologicals, part of Bio-Techne

Key Product Details

Species Reactivity

Human

Applications

Immunohistochemistry-Paraffin, Western Blot, Immunocytochemistry/ Immunofluorescence

Label

Unconjugated

Antibody Source

Monoclonal Mouse IgG1 Clone # CL4254

Format

Azide and BSA Free

Concentration

LYOPH mg/ml

Product Specifications

Immunogen

This antibody was generated using a recombinant protein sequence of Q9HCE5, with the exact immunogen sequence remaining proprietary.

Clonality

Monoclonal

Host

Mouse

Isotype

IgG1

Description

Novus Biologicals Mouse METTL14 Antibody (CL4254) - Azide and BSA Free (NBP2-59044) is a monoclonal antibody validated for use in IHC, WB and ICC/IF. All Novus Biologicals antibodies are covered by our 100% guarantee.

Scientific Data Images for METTL14 Antibody (CL4254) - Azide and BSA Free

METTL14 Antibody (CL4254) - Azide and BSA Free Immunohistochemistry-Paraffin: METTL14 Antibody [NBP3-44126]

Immunohistochemistry-Paraffin: METTL14 Antibody [NBP3-44126]

Staining of human duodenum shows strong nuclear immunoreactivity in glandular cells and in the connective tissue.
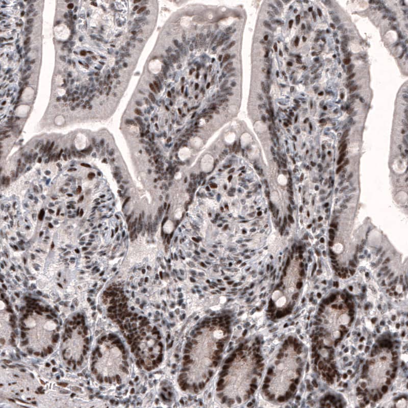
METTL14 Antibody (CL4254) - Azide and BSA Free Immunohistochemistry-Paraffin: METTL14 Antibody [NBP3-44126]

Immunohistochemistry-Paraffin: METTL14 Antibody [NBP3-44126]

Staining of human endometrium shows nuclear immunoreactivity in glandular cells and in stroma.
METTL14 Antibody (CL4254) - Azide and BSA Free Immunohistochemistry-Paraffin: METTL14 Antibody [NBP3-44126]

Immunohistochemistry-Paraffin: METTL14 Antibody [NBP3-44126]

Staining of human fallopian tube shows nuclear immunoreactivity in glandular cells.

Applications for METTL14 Antibody (CL4254) - Azide and BSA Free

Application
Recommended Usage

Immunocytochemistry/ Immunofluorescence

2-10 ug/ml

Immunohistochemistry-Paraffin

1:500 - 1:1000

Western Blot

1 ug/ml
Application Notes
For IHC-Paraffin, HIER pH 6 retrieval is recommended. For Immunocytochemistry/ Immunofluorescence/IF, PFA/Triton X-100 is recommended for fixation/permeabilization.

Formulation, Preparation, and Storage

Purification

Protein A purified

Reconstitution

Centrifuge the vial of lyophilized antibody at 12,000 x g for 20 seconds. Reconstitute by adding sterile, distilled water to achieve a final antibody concentration of 1mg/ml.

Formulation

Lyophilized from a 0.2 um filtered solution in PBS with Trehalose

Format

Azide and BSA Free

Preservative

No Preservative

Concentration

LYOPH mg/ml

Shipping

The product is shipped at ambient temperature. Upon receipt, store it immediately at the temperature recommended below.

Stability & Storage

Store at 4C short term. Aliquot and store at -20C long term. Avoid freeze-thaw cycles.

Background: METTL14

Probable methyltransferase

Long Name

Methyltransferase-Like Protein 14

Alternate Names

KIAA1627

Gene Symbol

METTL14

Additional METTL14 Products

Product Documents for METTL14 Antibody (CL4254) - Azide and BSA Free

Certificate of Analysis

To download a Certificate of Analysis, please enter a lot number in the search box below.

Product Specific Notices for METTL14 Antibody (CL4254) - Azide and BSA Free

This product is for research use only and is not approved for use in humans or in clinical diagnosis. Primary Antibodies are guaranteed for 1 year from date of receipt.

Loading...
Loading...
Loading...
Loading...
Loading...