Mannose Phosphate Isomerase Antibody (OTI1C7)
Novus Biologicals, part of Bio-Techne | Catalog # NBP2-02043
Conjugate
Catalog #
Forumulation
Catalog #
Key Product Details
Species Reactivity
Human, Rat
Applications
Immunohistochemistry, Immunohistochemistry-Paraffin, Western Blot, Flow Cytometry, Immunocytochemistry/ Immunofluorescence
Label
Unconjugated
Antibody Source
Monoclonal Mouse IgG1 Clone # OTI1C7
Concentration
1 mg/ml
Product Specifications
Immunogen
Full length human recombinant protein of human MPI(NP_002426) produced in HEK293T cell.
Clonality
Monoclonal
Host
Mouse
Isotype
IgG1
Theoretical MW
46.5 kDa.
Disclaimer note: The observed molecular weight of the protein may vary from the listed predicted molecular weight due to post translational modifications, post translation cleavages, relative charges, and other experimental factors.
Disclaimer note: The observed molecular weight of the protein may vary from the listed predicted molecular weight due to post translational modifications, post translation cleavages, relative charges, and other experimental factors.
Description
Novus Biologicals Mouse Mannose Phosphate Isomerase Antibody (OTI1C7) (NBP2-02043) is a monoclonal antibody validated for use in IHC, WB, Flow and ICC/IF. All Novus Biologicals antibodies are covered by our 100% guarantee.
Scientific Data Images for Mannose Phosphate Isomerase Antibody (OTI1C7)
Western Blot: Mannose Phosphate Isomerase Antibody (OTI1C7) [NBP2-02043]
Western Blot: Mannose Phosphate Isomerase Antibody (1C7) [NBP2-02043] - HEK293T cells were transfected with the pCMV6-ENTRY control (Left lane) or pCMV6-ENTRY Mannose Phosphate Isomerase (Right lane) cDNA for 48 hrs and lysed. Equivalent amounts of cell lysates (5 ug per lane) were separated by SDS-PAGE and immunoblotted with anti-Mannose Phosphate Isomerase.
Immunocytochemistry/Immunofluorescence: Mannose Phosphate Isomerase Antibody (1C7) [NBP2-02043] Staining of COS7 cells transiently transfected by pCMV6-ENTRY Mannose Phosphate Isomerase.
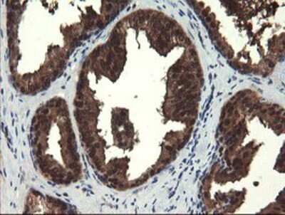
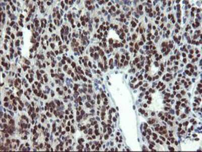
Immunohistochemistry-Paraffin: Mannose Phosphate Isomerase Antibody (OTI1C7) [NBP2-02043]
Immunohistochemistry-Paraffin: Mannose Phosphate Isomerase Antibody (1C7) [NBP2-02043] - Staining of paraffin-embedded Human prostate tissue using anti-Mannose Phosphate Isomerase mouse monoclonal antibody.Applications for Mannose Phosphate Isomerase Antibody (OTI1C7)
Application
Recommended Usage
Flow Cytometry
1:100
Immunocytochemistry/ Immunofluorescence
1:100
Immunohistochemistry
1:150
Immunohistochemistry-Paraffin
1:150
Western Blot
1:2000
Formulation, Preparation, and Storage
Purification
Immunogen affinity purified
Formulation
PBS (pH 7.3), 1.0% BSA and 50% Glycerol
Preservative
0.02% Sodium Azide
Concentration
1 mg/ml
Shipping
The product is shipped with polar packs. Upon receipt, store it immediately at the temperature recommended below.
Stability & Storage
Store at -20C. Avoid freeze-thaw cycles.
Background: Mannose Phosphate Isomerase
Alternate Names
CDG1B, EC 5.3.1, EC 5.3.1.8, FLJ39201, mannose phosphate isomerase, mannose-6- phosphate isomerase, mannose-6-phosphate isomerase, Phosphohexomutase, Phosphomannose isomerase, phosphomannose isomerase 1, PMI, PMI1phosphohexomutase
Entrez Gene IDs
4351 (Human)
Gene Symbol
MPI
Additional Mannose Phosphate Isomerase Products
Product Documents for Mannose Phosphate Isomerase Antibody (OTI1C7)
Product Specific Notices for Mannose Phosphate Isomerase Antibody (OTI1C7)
This product is for research use only and is not approved for use in humans or in clinical diagnosis. Primary Antibodies are guaranteed for 1 year from date of receipt.
Loading...
Loading...
Loading...
Loading...
Loading...