Skip to main content

Laminin alpha 2 Antibody (CL3450) - Azide and BSA Free

Novus Biologicals, part of Bio-Techne | Catalog # NBP3-43794

Novus Biologicals, part of Bio-Techne

Key Product Details

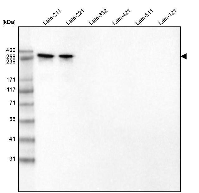
Validated by

Orthogonal Validation

Species Reactivity

Human, Mouse, Rat

Applications

Immunohistochemistry-Paraffin, Western Blot

Label

Unconjugated

Antibody Source

Monoclonal Mouse IgG1 Clone # CL3450

Format

Azide and BSA Free

Concentration

LYOPH mg/ml

Product Specifications

Immunogen

This antibody was generated using a recombinant protein sequence of P24043, with the exact immunogen sequence remaining proprietary.

Clonality

Monoclonal

Host

Mouse

Isotype

IgG1

Description

Novus Biologicals Mouse Laminin alpha 2 Antibody (CL3450) - Azide and BSA Free (NBP2-46624) is a monoclonal antibody validated for use in IHC and WB. All Novus Biologicals antibodies are covered by our 100% guarantee.

Scientific Data Images for Laminin alpha 2 Antibody (CL3450) - Azide and BSA Free

Laminin alpha 2 Antibody (CL3450) - Azide and BSA Free Immunohistochemistry-Paraffin: Laminin alpha 2 Antibody [NBP3-43794]

Immunohistochemistry-Paraffin: Laminin alpha 2 Antibody [NBP3-43794]

Analysis in human heart muscle and tonsil tissues using NBP3-43794 antibody. Corresponding Laminin alpha 2 RNA-seq data are presented for the same tissues.
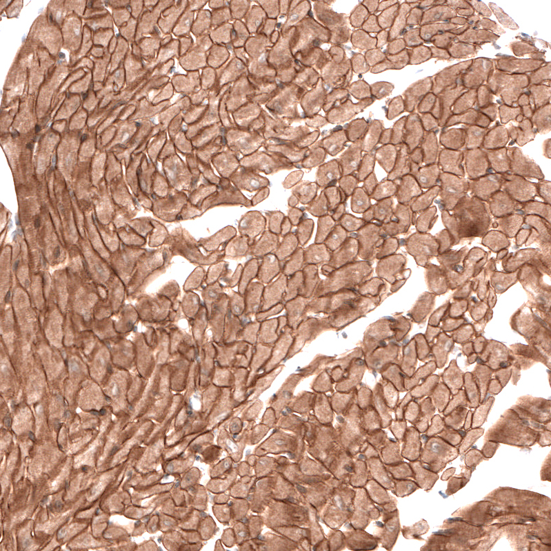
Laminin alpha 2 Antibody (CL3450) - Azide and BSA Free Immunohistochemistry-Paraffin: Laminin alpha 2 Antibody [NBP3-43794]

Immunohistochemistry-Paraffin: Laminin alpha 2 Antibody [NBP3-43794]

Staining of human heart muscle shows strong membranous positivity in cardiomyocytes.
Laminin alpha 2 Antibody (CL3450) - Azide and BSA Free Immunohistochemistry-Paraffin: Laminin alpha 2 Antibody [NBP3-43794]

Immunohistochemistry-Paraffin: Laminin alpha 2 Antibody [NBP3-43794]

Staining of human cerebral cortex shows moderate positivity in blood vessels.

Applications for Laminin alpha 2 Antibody (CL3450) - Azide and BSA Free

Application
Recommended Usage

Immunohistochemistry-Paraffin

1:200 - 1:500

Western Blot

1 ug/ml
Application Notes
For IHC-Paraffin, HIER pH 6 retrieval is recommended.

Formulation, Preparation, and Storage

Purification

Protein A purified

Reconstitution

Centrifuge the vial of lyophilized antibody at 12,000 x g for 20 seconds. Reconstitute by adding sterile, distilled water to achieve a final antibody concentration of 1mg/ml.

Formulation

Lyophilized from a 0.2 um filtered solution in PBS with Trehalose

Format

Azide and BSA Free

Preservative

No Preservative

Concentration

LYOPH mg/ml

Shipping

The product is shipped at ambient temperature. Upon receipt, store it immediately at the temperature recommended below.

Stability & Storage

Store at 4C short term. Aliquot and store at -20C long term. Avoid freeze-thaw cycles.

Background: Laminin alpha 2

Laminin, an extracellular protein, is a major component of the basement membrane. It is thought to mediate the attachment, migration, and organization of cells into tissues during embryonic development by interacting with other extracellular matrix components. It is composed of three subunits, alpha, beta, and gamma, which are bound to each other by disulfide bonds into a cross-shaped molecule. This gene encodes the alpha 2 chain, which constitutes one of the subunits of laminin 2 (merosin) and laminin 4 (s-merosin). Mutations in this gene have been identified as the cause of congenital merosin-deficient muscular dystrophy. Two transcript variants encoding different proteins have been found for this gene.

Alternate Names

LAMA2, LAMM, Merosin

Gene Symbol

LAMA2

Additional Laminin alpha 2 Products

Product Documents for Laminin alpha 2 Antibody (CL3450) - Azide and BSA Free

Certificate of Analysis

To download a Certificate of Analysis, please enter a lot number in the search box below.

Product Specific Notices for Laminin alpha 2 Antibody (CL3450) - Azide and BSA Free

This product is for research use only and is not approved for use in humans or in clinical diagnosis. Primary Antibodies are guaranteed for 1 year from date of receipt.

Loading...
Loading...
Loading...
Loading...
Loading...