Skip to main content

Lamin B Receptor Antibody (PSH02-93)

Novus Biologicals, part of Bio-Techne | Catalog # NBP3-32519

Recombinant Monoclonal Antibody
Novus Biologicals, part of Bio-Techne
Catalog #
Availability
Size / Price
Qty
Loading...
NBP3-32519

Key Product Details

Species Reactivity

Human

Applications

Flow Cytometry, Immunocytochemistry/ Immunofluorescence, Immunohistochemistry, Immunohistochemistry-Paraffin, Western Blot

Label

Unconjugated

Antibody Source

Recombinant Monoclonal Rabbit IgG Clone # PSH02-93 expressed in HEK293

Concentration

1 mg/ml

Product Specifications

Immunogen

Synthetic peptide within human Lamin B Receptor aa 1-500 / 615. (Uniprot: Q14739)

Localization

Nucleus inner membrane.

Clonality

Monoclonal

Host

Rabbit

Isotype

IgG

Theoretical MW

71 kDa.
Disclaimer note: The observed molecular weight of the protein may vary from the listed predicted molecular weight due to post translational modifications, post translation cleavages, relative charges, and other experimental factors.

Description

Novus Biologicals Rabbit Lamin B Receptor Antibody (PSH02-93) (NBP3-32519) is a recombinant monoclonal antibody validated for use in IHC, WB, Flow and ICC/IF. All Novus Biologicals antibodies are covered by our 100% guarantee.

Scientific Data Images for Lamin B Receptor Antibody (PSH02-93)

Lamin B Receptor Antibody (PSH02-93)

Western Blot: Lamin B Receptor Antibody (PSH02-93) [NBP3-32519]

Western Blot: Lamin B Receptor Antibody (PSH02-93) [NBP3-32519] - Western blot analysis of Lamin B Receptor on different lysates with Rabbit anti-Lamin B Receptor antibody (NBP3-32519) at 1/2,000 dilution.

Lane 1: HEK-293 cell lysate
Lane 2: HeLa cell lysate
Lane 3: Jurkat cell lysate

Lysates/proteins at 20 ug/Lane.

Predicted band size: 71 kDa
Observed band size: 58 kDa

Exposure time: Lane 1-2: 1 minute 2 seconds; Lane 3: 5 seconds;


4-20% SDS-PAGE gel.

Proteins were transferred to a PVDF membrane and blocked with 5% NFDM/TBST for 1 hour at room temperature. The primary antibody (NBP3-32519) at 1/2,000 dilution was used in 5% NFDM/TBST at 4 overnight. Goat Anti-Rabbit IgG - HRP Secondary Antibody at 1/50,000 dilution was used for 1 hour at room temperature.
Lamin B Receptor Antibody (PSH02-93)

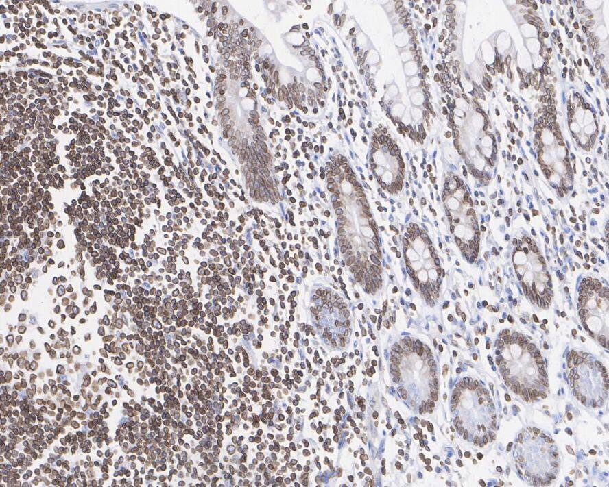
Immunohistochemistry: Lamin B Receptor Antibody (PSH02-93) [NBP3-32519]

Immunohistochemistry: Lamin B Receptor Antibody (PSH02-93) [NBP3-32519] - Immunohistochemical analysis of paraffin-embedded human small intestine tissue with Rabbit anti-Lamin B Receptor antibody (NBP3-32519) at 1/10,000 dilution.

The section was pre-treated using heat mediated antigen retrieval with sodium citrate buffer (pH 6.0) for 2 minutes. The tissues were blocked in 1% BSA for 20 minutes at room temperature, washed with ddH2O and PBS, and then probed with the primary antibody (NBP3-32519) at 1/10,000 dilution for 1 hour at room temperature. The detection was performed using an HRP conjugated compact polymer system. DAB was used as the chromogen. Tissues were counterstained with hematoxylin and mounted with DPX.
Lamin B Receptor Antibody (PSH02-93)

Immunocytochemistry/ Immunofluorescence: Lamin B Receptor Antibody (PSH02-93) [NBP3-32519]

Immunocytochemistry/ Immunofluorescence: Lamin B Receptor Antibody (PSH02-93) [NBP3-32519] - Immunocytochemistry analysis of HEK-293 cells labeling Lamin B Receptor with Rabbit anti-Lamin B Receptor antibody (NBP3-32519) at 1/2,000 dilution.

Cells were fixed in 100% precooled methanol for 5 minutes at room temperature, then blocked with 1% BSA in 10% negative goat serum for 1 hour at room temperature. Cells were then incubated with Rabbit anti-Lamin B Receptor antibody (NBP3-32519) at 1/2,000 dilution in 1% BSA in PBST overnight at 4 ℃. Goat Anti-Rabbit IgG H&L (iFluor™ 488) was used as the secondary antibody at 1/1,000 dilution. PBS instead of the primary antibody was used as the secondary antibody only control. Nuclear DNA was labelled in blue with DAPI.

Beta tubulin (red) was stained at 1/100 dilution overnight at +4℃. Goat Anti-Mouse IgG H&L (iFluor™ 594) was used as the secondary antibody at 1/1,000 dilution.

Applications for Lamin B Receptor Antibody (PSH02-93)

Application
Recommended Usage

Flow Cytometry

1:1000

Immunocytochemistry/ Immunofluorescence

1:2000

Immunohistochemistry-Paraffin

1:1000-10000

Western Blot

1:2000

Formulation, Preparation, and Storage

Purification

Protein A purified

Formulation

PBS (pH7.4), 0.05% BSA and 40% Glycerol

Preservative

0.05% Sodium Azide

Concentration

1 mg/ml

Shipping

The product is shipped with polar packs. Upon receipt, store it immediately at the temperature recommended below.

Stability & Storage

Store at 4C short term. Aliquot and store at -20C long term. Avoid freeze-thaw cycles.

Background: Lamin B Receptor

Lamins are nuclear membrane proteins that serve to maintain specific cellular functions, such as DNA replication and chromatin organization (1). Lamin B receptor (LBR) is an integral protein of the nuclear envelope inner membrane. It is phosphorylated by CDC2 protein kinase in mitosis when the inner nuclear membrane breaks down into vesicles that dissociate from the lamina and the chromatin. It is phosphorylated by different protein kinases in interphase when the membrane is associated with these structures (2). The cleavage of lamins results in nuclear disregulation and cell death (3,4).

Alternate Names

DHCR14B, FLJ43126, Integral nuclear envelope inner membrane protein, lamin B receptor, lamin-B receptor, LMN2R, MGC9041, PHA

Gene Symbol

LBR

Additional Lamin B Receptor Products

Product Documents for Lamin B Receptor Antibody (PSH02-93)

Certificate of Analysis

To download a Certificate of Analysis, please enter a lot number in the search box below.

Product Specific Notices for Lamin B Receptor Antibody (PSH02-93)

This product is for research use only and is not approved for use in humans or in clinical diagnosis. Primary Antibodies are guaranteed for 1 year from date of receipt.

Loading...
Loading...
Loading...
Loading...
Loading...