Skip to main content

Kv11.1 Antibody - Azide and BSA Free

Novus Biologicals, part of Bio-Techne | Catalog # NBP3-03109

Novus Biologicals, part of Bio-Techne
Catalog #
Availability
Size / Price
Qty
Loading...
NBP3-03109-20ul
NBP3-03109-100ul

Key Product Details

Species Reactivity

Human, Mouse

Applications

Immunohistochemistry, Immunohistochemistry-Paraffin, Western Blot

Label

Unconjugated

Antibody Source

Polyclonal Rabbit IgG

Format

Azide and BSA Free

Concentration

Please see the vial label for concentration. If unlisted please contact technical services.

Product Specifications

Immunogen

A synthetic peptide corresponding to a sequence within amino acids 850-950 of human KCNH2 (NP_000229.1). DHFWSSLEITFNLRDTNMIPGSPGSTELEGGFSRQRKRKLSFRRRTDKDTEQPGEVSALGPGRAGAGPSSRGRPGGPWGESPSSGPSSPESSEDEGPGRSS

Clonality

Polyclonal

Host

Rabbit

Isotype

IgG

Description

Novus Biologicals Rabbit Kv11.1 Antibody - Azide and BSA Free (NBP3-03109) is a polyclonal antibody validated for use in IHC and WB. All Novus Biologicals antibodies are covered by our 100% guarantee.

Scientific Data Images for Kv11.1 Antibody - Azide and BSA Free

Western Blot: Kv11.1 AntibodyAzide and BSA Free [NBP3-03109]

Western Blot: Kv11.1 AntibodyAzide and BSA Free [NBP3-03109]

Western Blot: Kv11.1 Antibody [NBP3-03109] - Analysis of extracts of various cell lines, using Kv11.1 antibody at 1:500 dilution. Secondary antibody: HRP Goat Anti-Rabbit IgG (H+L) at 1:10000 dilution. Lysates/proteins: 25ug per lane. Blocking buffer: 3% nonfat dry milk in TBST. Detection: ECL Enhan
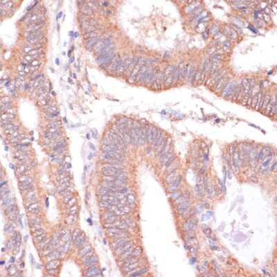
Immunohistochemistry-Paraffin: Kv11.1 Antibody - Azide and BSA Free [NBP3-03109]

Immunohistochemistry-Paraffin: Kv11.1 Antibody - Azide and BSA Free [NBP3-03109]

Immunohistochemistry-Paraffin: Kv11.1 Antibody [NBP3-03109] - Human lung cancer using KCNH2 antibody at dilution of 1:100 (40x lens).Perform microwave antigen retrieval with 10 mM PBS buffer pH 7.2 before commencing with IHC staining protocol.
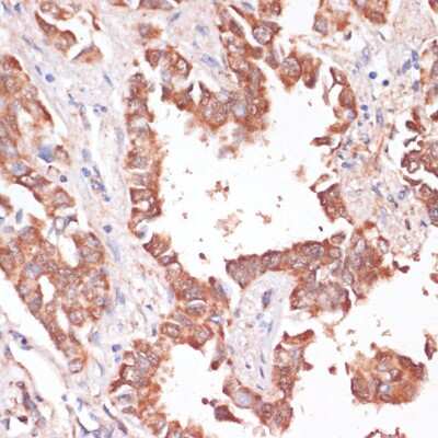
Immunohistochemistry-Paraffin: Kv11.1 Antibody - Azide and BSA Free [NBP3-03109]

Immunohistochemistry-Paraffin: Kv11.1 Antibody - Azide and BSA Free [NBP3-03109]

Immunohistochemistry-Paraffin: Kv11.1 Antibody [NBP3-03109] - human breast cancer using KCNH2 antibody at dilution of 1:100 (40x lens).Perform microwave antigen retrieval with 10 mM PBS buffer pH 7.2 before commencing with IHC staining protocol.

Applications for Kv11.1 Antibody - Azide and BSA Free

Application
Recommended Usage

Immunohistochemistry

1:50-1:200

Western Blot

1:500-1:2000

Formulation, Preparation, and Storage

Purification

Affinity purified

Formulation

PBS (pH 7.3), 50% glycerol

Format

Azide and BSA Free

Preservative

0.02% Sodium Azide

Concentration

Please see the vial label for concentration. If unlisted please contact technical services.

Shipping

The product is shipped with polar packs. Upon receipt, store it immediately at the temperature recommended below.

Stability & Storage

Store at -20C. Avoid freeze-thaw cycles.

Background: Kv11.1

Human ether-a-go-go related gene (HERG) encodes the pore-forming subunit of the delayed rectifier potassium channel IKr. There are two N-terminal splice variants of HERG include the full-length isoform 1 alpha and the shorter isoform 1 beta. Isoform 1 beta lacks the PAS motif and deactivates at a faster rate than isoform 1alpha. Residues within the C-terminal play a role in channel expression and channel gating, including voltage-dependent activation. HERG is expressed in the heart and is more abundantly expressed in the ventricles than in the atria. Mutations in the gene encoding HERG increase beat-to-beat variability and early after depolarization. These fluctuations facilitate the genesis and propagation of premature heartbeats associated with inheritable long QT syndrome type 2 and short QT syndrome type 1.

Long Name

Potassium voltage-gated channel subfamily H member 2

Alternate Names

Eag homolog, ERG, ERG-1, ERG1, H-ERG, HERG, hERG-1, hERG1, KCNH2

Gene Symbol

KCNH2

Additional Kv11.1 Products

Product Documents for Kv11.1 Antibody - Azide and BSA Free

Certificate of Analysis

To download a Certificate of Analysis, please enter a lot number in the search box below.

Product Specific Notices for Kv11.1 Antibody - Azide and BSA Free

This product is for research use only and is not approved for use in humans or in clinical diagnosis. Primary Antibodies are guaranteed for 1 year from date of receipt.

Loading...
Loading...
Loading...
Loading...

⚠ WARNING: This product can expose you to chemicals including Methotrexate, which is known to the State of California to cause reproductive toxicity with developmental effects. For more information, go to www.P65Warnings.ca.gov