Skip to main content

KRR1 Antibody - BSA Free

Novus Biologicals, part of Bio-Techne | Catalog # NBP1-92060

Novus Biologicals, part of Bio-Techne
Catalog #
Availability
Size / Price
Qty
Loading...
NBP1-92060
NBP1-92060-25ul

Key Product Details

Validated by

Knockout/Knockdown

Species Reactivity

Human, Mouse, Rat

Applications

Immunohistochemistry, Immunohistochemistry-Paraffin, Western Blot, Immunocytochemistry/ Immunofluorescence, Knockdown Validated

Label

Unconjugated

Antibody Source

Polyclonal Rabbit IgG

Format

BSA Free

Concentration

Concentrations vary lot to lot. See vial label for concentration. If unlisted please contact technical services.

Product Specifications

Immunogen

This antibody was developed against Recombinant Protein corresponding to amino acids: LKANQKKRQKMEAIKAKQAEAISKRQEERNKAFIPPKEKPIVKPKEASTETKIDVASIKEKVKKAKNKKLGALTAEEIALKMEAD

Clonality

Polyclonal

Host

Rabbit

Isotype

IgG

Scientific Data Images for KRR1 Antibody - BSA Free

Immunocytochemistry/ Immunofluorescence: KRR1 Antibody [NBP1-92060]

Immunocytochemistry/ Immunofluorescence: KRR1 Antibody [NBP1-92060]

Immunocytochemistry/Immunofluorescence: KRR1 Antibody [NBP1-92060] - Immunofluorescent staining of human cell line U-251 MG shows localization to nucleus & nucleoli.
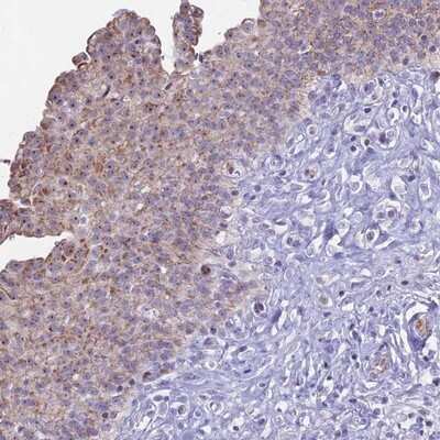
Immunohistochemistry-Paraffin: KRR1 Antibody [NBP1-92060]

Immunohistochemistry-Paraffin: KRR1 Antibody [NBP1-92060]

Immunohistochemistry-Paraffin: KRR1 Antibody [NBP1-92060] - Staining of human urinary bladder shows moderate positivity in cytoplasm and nucleoli.
Western Blot: KRR1 Antibody [NBP1-92060]

Western Blot: KRR1 Antibody [NBP1-92060]

Western Blot: KRR1 Antibody [NBP1-92060] - Lane 1: NIH-3T3 cell lysate (Mouse embryonic fibroblast cells). Lane 2: NBT-II cell lysate (Rat Wistar bladder tumor cells).

Applications for KRR1 Antibody - BSA Free

Application
Recommended Usage

Immunocytochemistry/ Immunofluorescence

0.25-2 ug/ml

Immunohistochemistry

1:2500 - 1:5000

Immunohistochemistry-Paraffin

1:2500-1:5000

Western Blot

0.04-0.4 ug/ml
Application Notes
For IHC-Paraffin, HIER pH 6 retrieval is recommended. ICC/IF, Fixation Permeabilization: Use PFA/Triton X-100.

Formulation, Preparation, and Storage

Purification

Affinity purified

Formulation

PBS (pH 7.2) and 40% Glycerol

Format

BSA Free

Preservative

0.02% Sodium Azide

Concentration

Concentrations vary lot to lot. See vial label for concentration. If unlisted please contact technical services.

Shipping

The product is shipped with polar packs. Upon receipt, store it immediately at the temperature recommended below.

Stability & Storage

Store at 4C short term. Aliquot and store at -20C long term. Avoid freeze-thaw cycles.

Background: KRR1

KRR1 is required for 40S ribosome biogenesis. Involved in nucleolar processing of pre-18S ribosomal RNA and ribosome assembly

Alternate Names

HIV-1 Rev binding protein 2, HIV-1 Rev-binding protein 2, HRB2, KRR1 small subunit processome component homolog, KRR1, small subunit (SSU) processome component, homolog (yeast), Rev interacting protein, Rev-interacting protein 1, RIP-1

Gene Symbol

KRR1

Additional KRR1 Products

Product Documents for KRR1 Antibody - BSA Free

Certificate of Analysis

To download a Certificate of Analysis, please enter a lot number in the search box below.

Product Specific Notices for KRR1 Antibody - BSA Free

This product is for research use only and is not approved for use in humans or in clinical diagnosis. Primary Antibodies are guaranteed for 1 year from date of receipt.

Loading...
Loading...
Loading...
Loading...