KIZUNA Antibody - BSA Free
Novus Biologicals, part of Bio-Techne | Catalog # NBP3-47776
Key Product Details
Species Reactivity
Human
Applications
Immunohistochemistry, Western Blot, ELISA, Immunocytochemistry/ Immunofluorescence, Immunoprecipitation
Label
Unconjugated
Antibody Source
Polyclonal Rabbit IgG
Format
BSA Free
Concentration
Please see the vial label for concentration. If unlisted please contact technical services.
Product Specifications
Immunogen
non-protein coding RNA 153. (Uniprot# Q2M2Z5)
Clonality
Polyclonal
Host
Rabbit
Isotype
IgG
Theoretical MW
100 kDa.
Disclaimer note: The observed molecular weight of the protein may vary from the listed predicted molecular weight due to post translational modifications, post translation cleavages, relative charges, and other experimental factors.
Disclaimer note: The observed molecular weight of the protein may vary from the listed predicted molecular weight due to post translational modifications, post translation cleavages, relative charges, and other experimental factors.
Description
Novus Biologicals Rabbit KIZUNA Antibody - BSA Free (NBP3-47776) is a polyclonal antibody validated for use in IHC, WB, ELISA, ICC/IF and IP. All Novus Biologicals antibodies are covered by our 100% guarantee.
Scientific Data Images for KIZUNA Antibody - BSA Free
Immunoprecipitation: KIZUNA Antibody - BSA Free [NBP3-47776] -
Immunoprecipitation: KIZUNA Antibody - BSA Free [NBP3-47776] - IP Result of anti-C20orf19 (IP:, 3ug; Detection: 1:500) with HeLa cells lysate 2000ug.Immunohistochemistry: KIZUNA Antibody - BSA Free [NBP3-47776] -
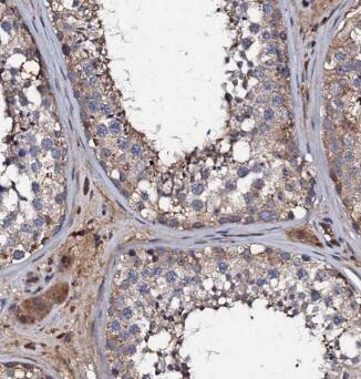
Immunohistochemistry: KIZUNA Antibody - BSA Free [NBP3-47776] - Immunohistochemistry of paraffin-embedded human testis using (KIZUNA antibody) at dilution of 1:100Western Blot: KIZUNA Antibody - BSA Free [NBP3-47776] -
Western Blot: KIZUNA Antibody - BSA Free [NBP3-47776] - HeLa cells were subjected to SDS PAGE followed by western blot with (KIZUNA antibody) at dilution of 1:1000Applications for KIZUNA Antibody - BSA Free
Application
Recommended Usage
Immunocytochemistry/ Immunofluorescence
1:10-1:100
Immunohistochemistry
1:20-1:200
Western Blot
1:500-1:3000
Formulation, Preparation, and Storage
Purification
Immunogen affinity purified
Formulation
PBS, 50% Glycerol, pH (7.3)
Format
BSA Free
Preservative
0.02% Sodium Azide
Concentration
Please see the vial label for concentration. If unlisted please contact technical services.
Shipping
The product is shipped with polar packs. Upon receipt, store it immediately at the temperature recommended below.
Stability & Storage
Store at -20C. Avoid freeze-thaw cycles.
Background: KIZUNA
Alternate Names
C20orf19, centrosomal protein kizuna, chromosome 20 open reading frame 19, DKFZp586H021, HT013, KIZ, Kizuna, MGC102941, MGC141930, NCRNA00153, polo-like kinase 1 substrate 1non-protein coding RNA 153
Gene Symbol
PLK1S1
Additional KIZUNA Products
Product Documents for KIZUNA Antibody - BSA Free
Product Specific Notices for KIZUNA Antibody - BSA Free
This product is for research use only and is not approved for use in humans or in clinical diagnosis. Primary Antibodies are guaranteed for 1 year from date of receipt.
Loading...
Loading...
Loading...
Loading...