Skip to main content

KDM6A Antibody (HL1731) - Azide and BSA Free

Novus Biologicals, part of Bio-Techne | Catalog # NBP3-25542

Recombinant Monoclonal Antibody
Novus Biologicals, part of Bio-Techne
Catalog #
Availability
Size / Price
Qty
Loading...
NBP3-25542

Key Product Details

Validated by

Knockout/Knockdown, Orthogonal Validation

Species Reactivity

Human, Canine, Feline

Applications

Immunocytochemistry/ Immunofluorescence, Immunohistochemistry, Immunohistochemistry-Paraffin, Western Blot

Label

Unconjugated

Antibody Source

Recombinant Monoclonal Rabbit IgG Clone # HL1731 expressed in HEK293

Format

Azide and BSA Free

Concentration

Concentrations vary lot to lot. See vial label for concentration. If unlisted please contact technical services.

Product Specifications

Immunogen

Recombinant protein encompassing a sequence within the center region of human KDM6A. The exact sequence is proprietary.

Clonality

Monoclonal

Host

Rabbit

Isotype

IgG

Description

Novus Biologicals Rabbit KDM6A Antibody (HL1731) - Azide and BSA Free (NBP3-25542) is a recombinant monoclonal antibody validated for use in IHC, WB and ICC/IF. All Novus Biologicals antibodies are covered by our 100% guarantee.

Scientific Data Images for KDM6A Antibody (HL1731) - Azide and BSA Free

KDM6A Antibody (HL1731) - Azide and BSA Free

Western Blot: KDM6A Antibody (HL1731) - Azide and BSA Free [NBP3-25542] -

Western Blot: KDM6A Antibody (HL1731) - Azide and BSA Free [NBP3-25542] - Various whole cell extracts (30 ug) were separated by 5% SDS-PAGE, and the membrane was blotted with KDM6A antibody [HL1731] (NBP3-25542) diluted at 1:1000. The HRP-conjugated anti-rabbit IgG antibody was used to detect the primary antibody. Corresponding RNA expression data for the same cell lines are based on Human Protein Atlas program.
KDM6A Antibody (HL1731) - Azide and BSA Free

Western Blot: KDM6A Antibody (HL1731) - Azide and BSA Free [NBP3-25542] -

Western Blot: KDM6A Antibody (HL1731) - Azide and BSA Free [NBP3-25542] - Various whole cell extracts (30 ug) were separated by 5% SDS-PAGE, and the membrane was blotted with KDM6A antibody [HL1731] (NBP3-25542) diluted at 1:1000. The HRP-conjugated anti-rabbit IgG antibody was used to detect the primary antibody.
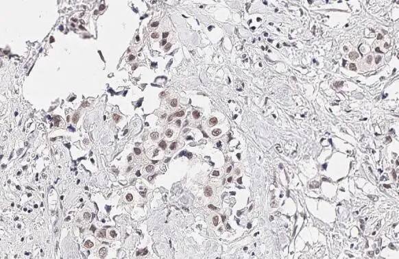
KDM6A Antibody (HL1731) - Azide and BSA Free

Immunohistochemistry-Paraffin: KDM6A Antibody (HL1731) - Azide and BSA Free [NBP3-25542] -

Immunohistochemistry-Paraffin: KDM6A Antibody (HL1731) - Azide and BSA Free [NBP3-25542] - KDM6A antibody [HL1731] detects KDM6A protein by immunohistochemical analysis. Sample: Paraffin-embedded dog brain. KDM6A stained by KDM6A antibody [HL1731] (NBP3-25542) diluted at 1:100. Antigen Retrieval: Citrate buffer, pH 6.0, 15 min

Applications for KDM6A Antibody (HL1731) - Azide and BSA Free

Application
Recommended Usage

Western Blot

1:500-1:3000

Formulation, Preparation, and Storage

Purification

Protein A purified

Formulation

PBS

Format

Azide and BSA Free

Preservative

No Preservative

Concentration

Concentrations vary lot to lot. See vial label for concentration. If unlisted please contact technical services.

Shipping

The product is shipped with polar packs. Upon receipt, store it immediately at the temperature recommended below.

Stability & Storage

Store at 4C short term. Aliquot and store at -20C long term. Avoid freeze-thaw cycles.

Background: Lysine (K)-specific Demethylase 6A/KDM6A/UTX

UTX - ubiquitously transcribed tetratricopeptide repeat, X chromosome

Alternate Names

KABUK2, KDM6A, Lysine (K)specific Demethylase 6A, UTX

Gene Symbol

KDM6A

Additional Lysine (K)-specific Demethylase 6A/KDM6A/UTX Products

Product Documents for KDM6A Antibody (HL1731) - Azide and BSA Free

Certificate of Analysis

To download a Certificate of Analysis, please enter a lot number in the search box below.

Product Specific Notices for KDM6A Antibody (HL1731) - Azide and BSA Free

This product is for research use only and is not approved for use in humans or in clinical diagnosis. Primary Antibodies are guaranteed for 1 year from date of receipt.

Loading...
Loading...
Loading...
Loading...