Skip to main content

ISG15/UCRP Antibody (HL2017) - Azide and BSA Free

Novus Biologicals, part of Bio-Techne | Catalog # NBP3-25537

Recombinant Monoclonal Antibody
Novus Biologicals, part of Bio-Techne
Catalog #
Availability
Size / Price
Qty
Loading...
NBP3-25537

Key Product Details

Validated by

Knockout/Knockdown, Orthogonal Validation

Species Reactivity

Human, Mouse, Rat, Feline

Applications

Immunohistochemistry, Immunohistochemistry-Paraffin, Western Blot, Immunocytochemistry/ Immunofluorescence

Label

Unconjugated

Antibody Source

Recombinant Monoclonal Rabbit IgG Clone # HL2017 expressed in HEK293

Format

Azide and BSA Free

Concentration

Concentrations vary lot to lot. See vial label for concentration. If unlisted please contact technical services.

Product Specifications

Immunogen

Recombinant fragment of human ISG15/UCRP

Clonality

Monoclonal

Host

Rabbit

Isotype

IgG

Theoretical MW

15 kDa.
Disclaimer note: The observed molecular weight of the protein may vary from the listed predicted molecular weight due to post translational modifications, post translation cleavages, relative charges, and other experimental factors.

Description

Novus Biologicals Rabbit ISG15/UCRP Antibody (HL2017) - Azide and BSA Free (NBP3-25537) is a recombinant monoclonal antibody validated for use in IHC, WB and ICC/IF. All Novus Biologicals antibodies are covered by our 100% guarantee.

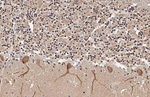
Scientific Data Images for ISG15/UCRP Antibody (HL2017) - Azide and BSA Free

ISG15/UCRP Antibody (HL2017) - Azide and BSA Free

Western Blot: ISG15/UCRP Antibody (HL2017) - Azide and BSA Free [NBP3-25537] -

Western Blot: ISG15/UCRP Antibody (HL2017) - Azide and BSA Free [NBP3-25537] - Whole cell extract (30 ug) was separated by 15% SDS-PAGE, and the membrane was blotted with ISG15 antibody [HL2017] (NBP3-25537) diluted at 1:1000. The HRP-conjugated anti-rabbit IgG antibody was used to detect the primary antibody, and the signal was developed with Trident ECL plus-Enhanced.
ISG15/UCRP Antibody (HL2017) - Azide and BSA Free

Immunocytochemistry/Immunofluorescence: ISG15/UCRP Antibody (HL2017) - Azide and BSA Free [NBP3-25537] -

Immunocytochemistry/Immunofluorescence: ISG15/UCRP Antibody (HL2017) - Azide and BSA Free [NBP3-25537] - ISG15 antibody [HL2017] detects ISG15 protein at cytoplasm and nucleus by immunofluorescent analysis. Sample: HepG2 cells were fixed in ice-cold MeOH for 5 min. Green: ISG15 stained by ISG15 antibody [HL2017] (NBP3-25537) diluted at 1:500. Blue: Fluoroshield with DAPI . Scale bar= 10um.
ISG15/UCRP Antibody (HL2017) - Azide and BSA Free

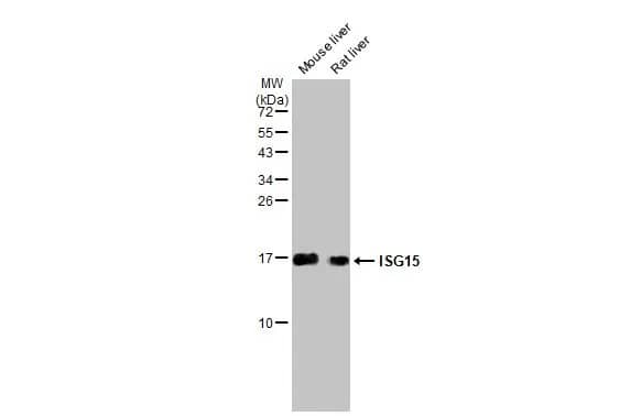
Western Blot: ISG15/UCRP Antibody (HL2017) - Azide and BSA Free [NBP3-25537] -

Western Blot: ISG15/UCRP Antibody (HL2017) - Azide and BSA Free [NBP3-25537] - Various tissue extracts (50 ug) were separated by 15% SDS-PAGE, and the membrane was blotted with ISG15 antibody [HL2017] (NBP3-25537) diluted at 1:1000. The HRP-conjugated anti-rabbit IgG antibody was used to detect the primary antibody.

Applications for ISG15/UCRP Antibody (HL2017) - Azide and BSA Free

Application
Recommended Usage

Immunocytochemistry/ Immunofluorescence

Assay dependent

Immunohistochemistry

Assay dependent

Immunohistochemistry-Paraffin

Assay dependent

Western Blot

1:500-1:3000

Formulation, Preparation, and Storage

Purification

Protein A purified

Formulation

PBS

Format

Azide and BSA Free

Preservative

No Preservative

Concentration

Concentrations vary lot to lot. See vial label for concentration. If unlisted please contact technical services.

Shipping

The product is shipped with polar packs. Upon receipt, store it immediately at the temperature recommended below.

Stability & Storage

Store at 4C short term. Aliquot and store at -20C long term. Avoid freeze-thaw cycles.

Background: ISG15/UCRP

G1P2 is a ubiquitin-like protein that becomes conjugated to many cellular proteins upon activation by interferon-alpha (IFNA; MIM 147660) and -beta (IFNB; MIM 147640) (Zhao et al., 2005 [PubMed 16009940]).[supplied by OMIM]

Long Name

ISG15 Ubiquitin-like Modifier

Alternate Names

G1P2, IFI15, IP17, UCRP

Gene Symbol

ISG15

Additional ISG15/UCRP Products

Product Documents for ISG15/UCRP Antibody (HL2017) - Azide and BSA Free

Certificate of Analysis

To download a Certificate of Analysis, please enter a lot number in the search box below.

Product Specific Notices for ISG15/UCRP Antibody (HL2017) - Azide and BSA Free

This product is for research use only and is not approved for use in humans or in clinical diagnosis. Primary Antibodies are guaranteed for 1 year from date of receipt.

Loading...
Loading...
Loading...
Loading...