Skip to main content

Integrin beta 5 Antibody - BSA Free

Novus Biologicals, part of Bio-Techne | Catalog # NBP1-88117

Novus Biologicals, part of Bio-Techne
Catalog #
Availability
Size / Price
Qty
Loading...
NBP1-88117
NBP1-88117-25ul

Key Product Details

Species Reactivity

Validated:

Human

Cited:

Human

Applications

Validated:

Immunohistochemistry, Immunohistochemistry-Paraffin

Cited:

Immunohistochemistry, Western Blot, IF/IHC

Label

Unconjugated

Antibody Source

Polyclonal Rabbit IgG

Format

BSA Free

Concentration

Concentrations vary lot to lot. See vial label for concentration. If unlisted please contact technical services.

Product Specifications

Immunogen

This antibody was developed against Recombinant Protein corresponding to amino acids: KCHAGYIGDNCNCSTDISTCRGRDGQICSERGHCLCGQCQCTEPGAFGEMCEKCPTCPDACSTKRDCVECLLLHSGKPDNQTCHSLCRDEVITWVDTIVKDDQEAVLCFYKTAKDCVMMFTYVELPSGKSNLTVL

Reactivity Notes

Immunogen displays the following percentage of sequence identity for non-tested species: Mouse (88%).

Clonality

Polyclonal

Host

Rabbit

Isotype

IgG

Description

Novus Biologicals Rabbit Integrin beta 5 Antibody - BSA Free (NBP1-88117) is a polyclonal antibody validated for use in IHC and WB. Anti-Integrin beta 5 Antibody: Cited in 2 publications. All Novus Biologicals antibodies are covered by our 100% guarantee.

Scientific Data Images for Integrin beta 5 Antibody - BSA Free

Immunohistochemistry-Paraffin: Integrin beta 5 Antibody [NBP1-88117]

Immunohistochemistry-Paraffin: Integrin beta 5 Antibody [NBP1-88117]

Immunohistochemistry-Paraffin: Integrin beta 5 Antibody [NBP1-88117] - Staining of human Endometrium shows moderate cytoplasmic positivity in cells in endometrial stroma.
Immunohistochemistry-Paraffin: Integrin beta 5 Antibody [NBP1-88117]

Immunohistochemistry-Paraffin: Integrin beta 5 Antibody [NBP1-88117]

Immunohistochemistry-Paraffin: Integrin beta 5 Antibody [NBP1-88117] - Staining of human Kidney shows moderate membranous and cytoplasmic positivity in cells in glomeruli.
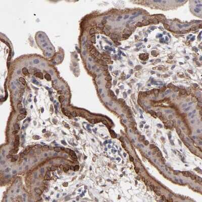
Immunohistochemistry-Paraffin: Integrin beta 5 Antibody [NBP1-88117]

Immunohistochemistry-Paraffin: Integrin beta 5 Antibody [NBP1-88117]

Immunohistochemistry-Paraffin: Integrin beta 5 Antibody [NBP1-88117] - Staining of human Placenta shows strong cytoplasmic and membranous positivity in trophoblastic cells.

Applications for Integrin beta 5 Antibody - BSA Free

Application
Recommended Usage

Immunohistochemistry

1:50 - 1:200

Immunohistochemistry-Paraffin

1:50 - 1:200
Application Notes
For IHC-Paraffin, HIER pH 6 retrieval is recommended.

Formulation, Preparation, and Storage

Purification

Immunogen affinity purified

Formulation

PBS (pH 7.2) and 40% Glycerol

Format

BSA Free

Preservative

0.02% Sodium Azide

Concentration

Concentrations vary lot to lot. See vial label for concentration. If unlisted please contact technical services.

Shipping

The product is shipped with polar packs. Upon receipt, store it immediately at the temperature recommended below.

Stability & Storage

Store at 4C short term. Aliquot and store at -20C long term. Avoid freeze-thaw cycles.

Background: Integrin beta 5

Integrins are heterodimers composed of noncovalently associated transmembrane

Alternate Names

ITGB5

Gene Symbol

ITGB5

Additional Integrin beta 5 Products

Product Documents for Integrin beta 5 Antibody - BSA Free

Certificate of Analysis

To download a Certificate of Analysis, please enter a lot number in the search box below.

Product Specific Notices for Integrin beta 5 Antibody - BSA Free

This product is for research use only and is not approved for use in humans or in clinical diagnosis. Primary Antibodies are guaranteed for 1 year from date of receipt.

Loading...
Loading...
Loading...
Loading...