Skip to main content

INSL5 Antibody - BSA Free

Novus Biologicals, part of Bio-Techne | Catalog # NBP1-86343

Novus Biologicals, part of Bio-Techne
Catalog #
Availability
Size / Price
Qty
Loading...
NBP1-86343-25ul
NBP1-86343

Key Product Details

Validated by

Orthogonal Validation

Species Reactivity

Human

Applications

Immunohistochemistry, Immunohistochemistry-Paraffin, Western Blot

Label

Unconjugated

Antibody Source

Polyclonal Rabbit IgG

Format

BSA Free

Concentration

Concentrations vary lot to lot. See vial label for concentration. If unlisted please contact technical services.

Product Specifications

Immunogen

This antibody was developed against Recombinant Protein corresponding to amino acids: LEYIRTVIYICASSRWRRHLEGIPQAQQAETGNSFQLPHKREFSEENPAQNLPKVDASGEDRLWGGQMPTEELWKSKKHSVMSR

Clonality

Polyclonal

Host

Rabbit

Isotype

IgG

Description

Novus Biologicals Rabbit INSL5 Antibody - BSA Free (NBP1-86343) is a polyclonal antibody validated for use in IHC and WB. Anti-INSL5 Antibody: Cited in 1 publication. All Novus Biologicals antibodies are covered by our 100% guarantee.

Scientific Data Images for INSL5 Antibody - BSA Free

Immunohistochemistry-Paraffin: INSL5 Antibody [NBP1-86343]

Immunohistochemistry-Paraffin: INSL5 Antibody [NBP1-86343]

Immunohistochemistry-Paraffin: INSL5 Antibody [NBP1-86343] - Staining in human rectum and liver tissues using anti-INSL5 antibody. Corresponding INSL5 RNA-seq data are presented for the same tissues.
Immunohistochemistry-Paraffin: INSL5 Antibody [NBP1-86343]

Immunohistochemistry-Paraffin: INSL5 Antibody [NBP1-86343]

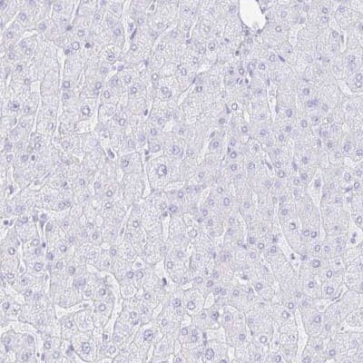
Immunohistochemistry-Paraffin: INSL5 Antibody [NBP1-86343] - Staining of human liver shows low expression as expected.
Immunohistochemistry-Paraffin: INSL5 Antibody [NBP1-86343]

Immunohistochemistry-Paraffin: INSL5 Antibody [NBP1-86343]

Immunohistochemistry-Paraffin: INSL5 Antibody [NBP1-86343] - Staining of human rectum shows high expression.

Applications for INSL5 Antibody - BSA Free

Application
Recommended Usage

Immunohistochemistry

1:50 - 1:200

Immunohistochemistry-Paraffin

1:50 - 1:200

Western Blot

0.04-0.4 ug/ml
Application Notes
For IHC-Paraffin, HIER pH 6 retrieval is recommended.

Reviewed Applications

Read 1 review rated 5 using NBP1-86343 in the following applications:

Formulation, Preparation, and Storage

Purification

Affinity purified

Formulation

PBS (pH 7.2) and 40% Glycerol

Format

BSA Free

Preservative

0.02% Sodium Azide

Concentration

Concentrations vary lot to lot. See vial label for concentration. If unlisted please contact technical services.

Shipping

The product is shipped with polar packs. Upon receipt, store it immediately at the temperature recommended below.

Stability & Storage

Store at 4C short term. Aliquot and store at -20C long term. Avoid freeze-thaw cycles.

Background: INSL5

INSL5 is encoded by this gene contains a classical signature of the insulin superfamily and is highly similar to relaxin 3 (RLN3/INSL7). [provided by RefSeq]

Alternate Names

insulin-like 5, Insulin-like peptide 5, insulin-like peptide INSL5, MGC126695, MGC126697, PRO182, UNQ156

Gene Symbol

INSL5

Additional INSL5 Products

Product Documents for INSL5 Antibody - BSA Free

Certificate of Analysis

To download a Certificate of Analysis, please enter a lot number in the search box below.

Product Specific Notices for INSL5 Antibody - BSA Free

This product is for research use only and is not approved for use in humans or in clinical diagnosis. Primary Antibodies are guaranteed for 1 year from date of receipt.

Loading...
Loading...
Loading...
Loading...