Skip to main content

IL-36 gamma/IL-1F9 Antibody - BSA Free

Novus Biologicals, part of Bio-Techne | Catalog # NBP2-41240

Novus Biologicals, part of Bio-Techne

Key Product Details

Species Reactivity

Human

Applications

Immunohistochemistry, Immunohistochemistry-Paraffin, Western Blot, ELISA, Immunocytochemistry/ Immunofluorescence

Label

Unconjugated

Antibody Source

Polyclonal Rabbit IgG

Format

BSA Free

Concentration

1 mg/ml

Product Specifications

Immunogen

Antibody was raised against a 13 amino acid peptide near the carboxy terminus of human IL-36G. The immunogen is located within the last 50 amino acids of IL-36G. Amino Acid Squence: KSYNTAFELNIND

Specificity

IL-36G antibody is human specific. IL-36G antibody will not cross-react with IL-36A or IL-36B.

Clonality

Polyclonal

Host

Rabbit

Isotype

IgG

Theoretical MW

22 kDa.
Disclaimer note: The observed molecular weight of the protein may vary from the listed predicted molecular weight due to post translational modifications, post translation cleavages, relative charges, and other experimental factors.

Description

Novus Biologicals Rabbit IL-36 gamma/IL-1F9 Antibody - BSA Free (NBP2-41240) is a polyclonal antibody validated for use in IHC, WB, ELISA and ICC/IF. All Novus Biologicals antibodies are covered by our 100% guarantee.

Scientific Data Images for IL-36 gamma/IL-1F9 Antibody - BSA Free

Western Blot: IL-36 gamma/IL-1F9 AntibodyBSA Free [NBP2-41240]

Western Blot: IL-36 gamma/IL-1F9 AntibodyBSA Free [NBP2-41240]

Western Blot: IL-36 gamma/IL-1F9 Antibody [NBP2-41240] - Analysis of IL-36G in human spleen tissue lysate with IL-36G antibody at (A) 1 and (B) 2 ug/ml.
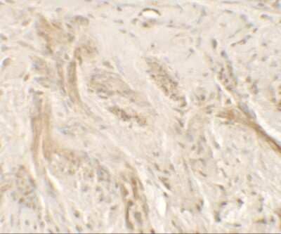
Immunohistochemistry-Paraffin: IL-36 gamma/IL-1F9 Antibody - BSA Free [NBP2-41240]

Immunohistochemistry-Paraffin: IL-36 gamma/IL-1F9 Antibody - BSA Free [NBP2-41240]

Immunohistochemistry-Paraffin: IL-36 gamma/IL-1F9 Antibody [NBP2-41240] - Human bladder tissue with IL-36G antibody at 5 ug/mL.
IL-36 gamma/IL-1F9 Antibody - BSA Free

Immunocytochemistry/ Immunofluorescence: IL-36 gamma/IL-1F9 Antibody - BSA Free [NBP2-41240] -

Immunocytochemistry/ Immunofluorescence: IL-36 gamma/IL-1F9 Antibody - BSA Free [NBP2-41240] - Immunofluorescence of IL-36 gamma/IL-1F9 in human bladder tissue with IL-36 gamma/IL-1F9 antibody at 20 ug/mL.

Applications for IL-36 gamma/IL-1F9 Antibody - BSA Free

Application
Recommended Usage

Western Blot

1 - 2 ug/ml

Formulation, Preparation, and Storage

Purification

Peptide affinity purified

Formulation

PBS

Format

BSA Free

Preservative

0.02% Sodium Azide

Concentration

1 mg/ml

Shipping

The product is shipped with polar packs. Upon receipt, store it immediately at the temperature recommended below.

Stability & Storage

Store at 4C short term. Aliquot and store at -20C long term. Avoid freeze-thaw cycles.

Background: IL-36 gamma/IL-1F9

Interleukin 36 gamma (IL-36 gamma), also known as IL-1F9 and IL-1H1 is a member of the IL-1 family. IL-36 gamma is secreted when transfected into 293-T cells. Cells reported to express IL-36 gamma include Langerhans cells, keratinocytes/stratified squamos epithelium, chief cells, and parietal cells. The receptor for IL-36 gamma is reported to be a combination of IL-1 R6/IL-1 R rp2 and IL-1 R3/IL-1 R AcP. Recombinant IL-36 gamma has been shown to activate pathways involving NF-kappa B and MAPK in an IL-1 R6/IL-1 R rp2-dependent manner.

Long Name

Interleukin 36 gamma/Interleukin 1 Family 9

Alternate Names

IL-1 H1, IL-1rp2, IL1F9, IL36 gamma, IL36G

Gene Symbol

IL36G

Additional IL-36 gamma/IL-1F9 Products

Product Documents for IL-36 gamma/IL-1F9 Antibody - BSA Free

Certificate of Analysis

To download a Certificate of Analysis, please enter a lot number in the search box below.

Product Specific Notices for IL-36 gamma/IL-1F9 Antibody - BSA Free

This product is for research use only and is not approved for use in humans or in clinical diagnosis. Primary Antibodies are guaranteed for 1 year from date of receipt.

Loading...
Loading...
Loading...
Loading...