Skip to main content

Iduronate 2-Sulfatase/IDS Antibody (OTI1D9)

Novus Biologicals, part of Bio-Techne | Catalog # NBP2-01745

Novus Biologicals, part of Bio-Techne
Catalog #
Availability
Size / Price
Qty
Loading...
NBP2-01745

Key Product Details

Species Reactivity

Human, Mouse, Rat, Monkey

Applications

Immunohistochemistry, Immunohistochemistry-Paraffin, Western Blot, Flow Cytometry, Immunocytochemistry/ Immunofluorescence

Label

Unconjugated

Antibody Source

Monoclonal Mouse IgG2A Clone # OTI1D9

Concentration

1 mg/ml

Product Specifications

Immunogen

Full length human recombinant protein of human IDS(NP_000193) produced in HEK293T cell.

Reactivity Notes

Please note that this antibody is reactive to Mouse and derived from the same host, Mouse. Mouse-On-Mouse blocking reagent may be needed for IHC and ICC experiments to reduce high background signal. You can find these reagents under catalog numbers PK-2200-NB and MP-2400-NB. Please contact Technical Support if you have any questions.

Clonality

Monoclonal

Host

Mouse

Isotype

IgG2A

Theoretical MW

59.2 kDa.
Disclaimer note: The observed molecular weight of the protein may vary from the listed predicted molecular weight due to post translational modifications, post translation cleavages, relative charges, and other experimental factors.

Description

Novus Biologicals Mouse Iduronate 2-Sulfatase/IDS Antibody (OTI1D9) (NBP2-01745) is a monoclonal antibody validated for use in IHC, WB, Flow and ICC/IF. Anti-Iduronate 2-Sulfatase/IDS Antibody: Cited in 1 publication. All Novus Biologicals antibodies are covered by our 100% guarantee.

Scientific Data Images for Iduronate 2-Sulfatase/IDS Antibody (OTI1D9)

Western Blot: Iduronate 2-Sulfatase/IDS Antibody (OTI1D9) [NBP2-01745]

Western Blot: Iduronate 2-Sulfatase/IDS Antibody (OTI1D9) [NBP2-01745]

Western Blot: Iduronate 2-Sulfatase/IDS Antibody (OTI1D9) [NBP2-01745] - Analysis of extracts (10ug) from a mouse cell line by using anti-IDS monoclonal antibody (1:200).
Immunocytochemistry/ Immunofluorescence: Iduronate 2-Sulfatase/IDS Antibody (OTI1D9) [NBP2-01745]

Immunocytochemistry/ Immunofluorescence: Iduronate 2-Sulfatase/IDS Antibody (OTI1D9) [NBP2-01745]

Immunocytochemistry/Immunofluorescence: Iduronate 2-Sulfatase/IDS Antibody (OTI1D9) [NBP2-01745] - Staining of COS7 cells.
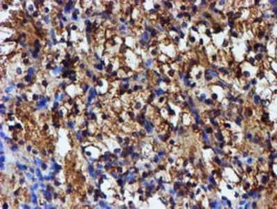
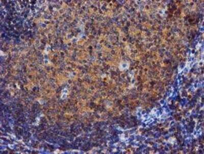
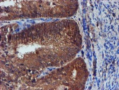
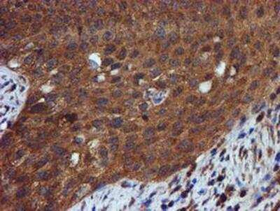
Immunohistochemistry-Paraffin: Iduronate 2-Sulfatase/IDS Antibody (OTI1D9) [NBP2-01745]

Immunohistochemistry-Paraffin: Iduronate 2-Sulfatase/IDS Antibody (OTI1D9) [NBP2-01745]

Immunohistochemistry-Paraffin: Iduronate 2-Sulfatase/IDS Antibody (1D9) [NBP2-01745] - Staining of paraffin-embedded Human tonsil using anti-Iduronate 2 sulfatase mouse monoclonal antibody.

Applications for Iduronate 2-Sulfatase/IDS Antibody (OTI1D9)

Application
Recommended Usage

Flow Cytometry

1:100

Immunocytochemistry/ Immunofluorescence

1:100

Immunohistochemistry

1:150

Immunohistochemistry-Paraffin

1:150

Western Blot

1:500-2000

Formulation, Preparation, and Storage

Purification

Immunogen affinity purified

Formulation

PBS (pH 7.3), 1.0% BSA and 50% Glycerol

Preservative

0.02% Sodium Azide

Concentration

1 mg/ml

Shipping

The product is shipped with polar packs. Upon receipt, store it immediately at the temperature recommended below.

Stability & Storage

Store at -20C. Avoid freeze-thaw cycles.

Background: Iduronate 2-Sulfatase/IDS

Iduronate-2-sulfatase is required for the lysosomal degradation of heparan sulfate and dermatan sulfate. Mutations in this X-chromosome gene that result in enzymatic deficiency lead to the sex-linked Mucopolysaccharidosis Type II, also known as Hunter Syndrome. Iduronate-2-sulfatase has a strong sequence similarity with human arylsulfatases A, B, and C, and human glucosamine-6-sulfatase. Multiple alternatively spliced transcript variants that encode different protein isoforms have been described. [provided by RefSeq].

Alternate Names

SIDS

Entrez Gene IDs

3423 (Human)

Gene Symbol

IDS

Additional Iduronate 2-Sulfatase/IDS Products

Product Documents for Iduronate 2-Sulfatase/IDS Antibody (OTI1D9)

Certificate of Analysis

To download a Certificate of Analysis, please enter a lot number in the search box below.

Product Specific Notices for Iduronate 2-Sulfatase/IDS Antibody (OTI1D9)

This product is for research use only and is not approved for use in humans or in clinical diagnosis. Primary Antibodies are guaranteed for 1 year from date of receipt.

Loading...
Loading...
Loading...
Loading...
Loading...