Skip to main content

HuR/ELAVL1 Antibody (OTI14F4) - Azide and BSA Free

Novus Biologicals, part of Bio-Techne | Catalog # NBP2-70635

Novus Biologicals, part of Bio-Techne

Key Product Details

Species Reactivity

Human, Mouse, Rat

Applications

Immunohistochemistry, Immunohistochemistry-Paraffin, Western Blot

Label

Unconjugated

Antibody Source

Monoclonal Mouse IgG1 Clone # OTI14F4

Format

Azide and BSA Free

Concentration

LYOPH mg/ml

Product Specifications

Immunogen

Full length human recombinant protein of human ELAVL1(NP_001410) produced in HEK293T cell.

Reactivity Notes

Please note that this antibody is reactive to Mouse and derived from the same host, Mouse. Mouse-On-Mouse blocking reagent may be needed for IHC and ICC experiments to reduce high background signal. You can find these reagents under catalog numbers PK-2200-NB and MP-2400-NB. Please contact Technical Support if you have any questions.

Clonality

Monoclonal

Host

Mouse

Isotype

IgG1

Theoretical MW

36.1 kDa.
Disclaimer note: The observed molecular weight of the protein may vary from the listed predicted molecular weight due to post translational modifications, post translation cleavages, relative charges, and other experimental factors.

Description

Novus Biologicals Mouse HuR/ELAVL1 Antibody (OTI14F4) - Azide and BSA Free (NBP2-02287) is a monoclonal antibody validated for use in IHC and WB. All Novus Biologicals antibodies are covered by our 100% guarantee.

Scientific Data Images for HuR/ELAVL1 Antibody (OTI14F4) - Azide and BSA Free

Western Blot: HuR/ELAVL1 Antibody (OTI14F4)Azide and BSA Free [NBP2-70635]

Western Blot: HuR/ELAVL1 Antibody (OTI14F4)Azide and BSA Free [NBP2-70635]

Western Blot: HuR/ELAVL1 Antibody (OTI14F4) - Azide and BSA Free [NBP2-70635] - HEK293T cells were transfected with the pCMV6-ENTRY control (Left lane) or pCMV6-ENTRY HuR/ELAVL1 (Right lane) cDNA for 48 hrs and lysed. Equivalent amounts of cell lysates (5 ug per lane) were separated by SDS-PAGE and immunoblotted with anti-HuR/ELAVL1.
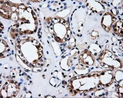
Immunohistochemistry: HuR/ELAVL1 Antibody (OTI14F4) - Azide and BSA Free [NBP2-70635]

Immunohistochemistry: HuR/ELAVL1 Antibody (OTI14F4) - Azide and BSA Free [NBP2-70635]

Immunohistochemistry: HuR/ELAVL1 Antibody (OTI14F4) - Azide and BSA Free [NBP2-70635] - Staining of paraffin-embedded pancreas tissue using anti-HuR/ELAVL1 mouse monoclonal antibody.
Immunohistochemistry: HuR/ELAVL1 Antibody (OTI14F4) - Azide and BSA Free [NBP2-70635]

Immunohistochemistry: HuR/ELAVL1 Antibody (OTI14F4) - Azide and BSA Free [NBP2-70635]

Immunohistochemistry: HuR/ELAVL1 Antibody (OTI14F4) - Azide and BSA Free [NBP2-70635] - Staining of paraffin-embedded Adenocarcinoma of breast tissue using anti-HuR/ELAVL1 mouse monoclonal antibody.

Applications for HuR/ELAVL1 Antibody (OTI14F4) - Azide and BSA Free

Application
Recommended Usage

Immunohistochemistry

1:50

Western Blot

1:1000

Formulation, Preparation, and Storage

Purification

Immunogen affinity purified

Reconstitution

we recommend adding 100uL distilled water to a final antibody concentration of about 1 mg/mL. To use this carrier-free antibody for conjugation experiment, we strongly recommend performing another round of desalting process.

Formulation

Lyophilized from PBS (pH 7.3) with 8% Trehalose

Format

Azide and BSA Free

Preservative

No Preservative

Concentration

LYOPH mg/ml

Shipping

The product is shipped with polar packs. Upon receipt, store it immediately at the temperature recommended below.

Stability & Storage

Store at -20C. Avoid freeze-thaw cycles.

Background: HuR/ELAVL1

HuR / ELAVL1 is encoded by this gene is a member of the ELAVL protein family. This encoded protein contains 3 RNA-binding domains and binds cis-acting AU-rich elements. It destabilizes mRNAs and thereby regulates gene expression.

Alternate Names

ELAV (embryonic lethal, abnormal vision, Drosophila)-like 1 (Hu antigen R), ELAV-like protein 1, embryonic lethal, abnormal vision, drosophila, homolog-like 1, Hu antigen R, Hua, Hu-antigen R, HuR, HURELAV1, MelG

Gene Symbol

ELAVL1

Additional HuR/ELAVL1 Products

Product Documents for HuR/ELAVL1 Antibody (OTI14F4) - Azide and BSA Free

Certificate of Analysis

To download a Certificate of Analysis, please enter a lot number in the search box below.

Product Specific Notices for HuR/ELAVL1 Antibody (OTI14F4) - Azide and BSA Free

This product is for research use only and is not approved for use in humans or in clinical diagnosis. Primary Antibodies are guaranteed for 1 year from date of receipt.

Loading...
Loading...
Loading...
Loading...
Loading...