Skip to main content

Key Product Details

Species Reactivity

Validated:

Human, Rat

Cited:

Human, Mouse

Applications

Validated:

Immunohistochemistry, Western Blot, Immunocytochemistry, Simple Western

Cited:

Western Blot, Immunocytochemistry

Label

Unconjugated

Antibody Source

Recombinant Monoclonal Rabbit IgG Clone # 2066C

Product Specifications

Immunogen

E. coli-derived recombinant human LDHA
Ala2-Val92
Accession # P00338

Specificity

Detects human LDHA in direct ELISAs and Western blots.

Clonality

Monoclonal

Host

Rabbit

Isotype

IgG

Scientific Data Images for Human/Rat Lactate Dehydrogenase A/LDHA Antibody

Detection of Human and Rat Lactate Dehydrogenase A/LDHA antibody by Western Blot.

Detection of Human and Rat Lactate Dehydrogenase A/LDHA by Western Blot.

Western blot shows lysates of Daudi human Burkitt's lymphoma cell line, HepG2 human hepatocellular carcinoma cell line, MOLT-4 human acute lymphoblastic leukemia cell line, and rat skeletal muscle tissue. PVDF membrane was probed with 0.2 µg/mL of Rabbit Anti-Human/Rat Lactate Dehydrogenase A/LDHA Monoclonal Antibody (Catalog # MAB9158) followed by HRP-conjugated Anti-Rabbit IgG Secondary Antibody (Catalog # HAF008). A specific band was detected for Lactate Dehydrogenase A/LDHA at approximately 34-36 kDa (as indicated). This experiment was conducted under reducing conditions and using Immunoblot Buffer Group 1.

Detection of Human Lactate Dehydrogenase A/LDHA by Simple WesternTM.

Simple Western shows lysates of Daudi human Burkitt's lymphoma cell line and HepG2 human hepatocellular carcinoma cell line, loaded at 0.5 mg/ml. A specific band was detected for Lactate Dehydrogenase A/LDHA at approximately 38 kDa (as indicated) using 10 µg/mL of Rabbit Anti-Human/Rat Lactate Dehydrogenase A/LDHA Monoclonal Antibody (Catalog # MAB9158). This experiment was conducted under reducing conditions and using the 12-230kDa separation system.
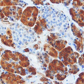
Lactate Dehydrogenase A/LDHA antibody in Human Pancreas by Immunohistochemistry (IHC-P).

Lactate Dehydrogenase A/LDHA in Human Pancreas.

Lactate Dehydrogenase A/LDHA was detected in immersion fixed paraffin-embedded sections of human pancreas using Rabbit Anti-Human/Rat Lactate Dehydrogenase A/LDHA Monoclonal Antibody (Catalog # MAB9158) at 3 µg/mL for 1 hour at room temperature followed by incubation with the Anti-Rabbit IgG VisUCyte™ HRP Polymer Antibody (Catalog # VC003). Tissue was stained using DAB (brown) and counterstained with hematoxylin (blue). Specific staining was localized to exocrine cells. View our protocol for IHC Staining with VisUCyte HRP Polymer Detection Reagents.

Applications for Human/Rat Lactate Dehydrogenase A/LDHA Antibody

Application
Recommended Usage

Immunocytochemistry

3-25 µg/mL
Sample: Immersion fixed PC-3 human prostate cancer cell line

Immunohistochemistry

3-25 µg/mL
Sample: Immersion fixed paraffin-embedded sections of human pancreas

Simple Western

10 µg/mL
Sample: Daudi human Burkitt's lymphoma cell line and HepG2 human hepatocellular carcinoma cell line

Western Blot

0.2 µg/mL
Sample: Daudi human Burkitt's lymphoma cell line, HepG2 human hepatocellular carcinoma cell line, MOLT‑4 human acute lymphoblastic leukemia cell line, and rat skeletal muscle tissue

Formulation, Preparation, and Storage

Purification

Protein A or G purified from hybridoma culture supernatant

Reconstitution

Reconstitute at 0.5 mg/mL in sterile PBS. For liquid material, refer to CoA for concentration.

Reconstitution Buffer Available:
Size / Price
Qty
Loading...

Formulation

Lyophilized from a 0.2 μm filtered solution in PBS with Trehalose. *Small pack size (SP) is supplied either lyophilized or as a 0.2 µm filtered solution in PBS.

Shipping

Lyophilized product is shipped at ambient temperature. Liquid small pack size (-SP) is shipped with polar packs. Upon receipt, store immediately at the temperature recommended below.

Stability & Storage

Use a manual defrost freezer and avoid repeated freeze-thaw cycles.
  • 12 months from date of receipt, -20 to -70 °C as supplied.
  • 1 month, 2 to 8 °C under sterile conditions after reconstitution.
  • 6 months, -20 to -70 °C under sterile conditions after reconstitution.

Background: Lactate Dehydrogenase A/LDHA

LDHA (lactate dehydrogenase A chain; also LDH-M and PIG-19) is a 34-36 kDa member of the LDH family of enzymes. It is a part of a cytoplasmic complex that is found principally in hepatocytes and skeletal muscle. The LDHA complex catalyzes the conversion of pyruvate to lactate, thereby generating NAD, the final step in anerobic glycolysis. This NAD is essential for the subsequent generation of ATP. Human LDHA is 332 amino acids (aa) in length. It contains an N-terminal coenzyme binding region, a central catalytic site, and at least nine utilized Lys acetylation and two Tyr phosphorylation sites. It also undergoes ISGylation where a 17 kDa product of the ISG15 gene is covalently attached to LDHA in a ubiquitin-like manner. LDHA forms tetramers composed of two dimers of varying composition. The tetramer may be homotetrameric (four monomers), or contain from one to three substitute LDHB monomers typically found in heart muscle. There are multiple splice variants. One possesses a five aa substitution for aa 237-332, a second contains a 45 aa substitution for aa 230-332, a third shows a deletion of aa 82-139, while a fourth utilizes an alternative start site 29 aa upstream of the standard site. Over aa 2-92, human LDHA shares 93% aa sequence identity with mouse LDHA.

Alternate Names

LDH1, LDHA, LDHM

Entrez Gene IDs

3939 (Human); 16828 (Mouse); 24533 (Rat)

Gene Symbol

LDHA

UniProt

Additional Lactate Dehydrogenase A/LDHA Products

Product Documents for Human/Rat Lactate Dehydrogenase A/LDHA Antibody

Certificate of Analysis

To download a Certificate of Analysis, please enter a lot number in the search box below.

Note: Certificate of Analysis not available for kit components.

Product Specific Notices for Human/Rat Lactate Dehydrogenase A/LDHA Antibody

For research use only

Loading...
Loading...
Loading...
Loading...