Skip to main content

Key Product Details

Species Reactivity

Validated:

Human

Cited:

Human

Applications

Validated:

Immunohistochemistry, Western Blot

Cited:

Western Blot

Label

Unconjugated

Antibody Source

Monoclonal Mouse IgG2B Clone # 773511

Product Specifications

Immunogen

E. coli-derived recombinant human Purine Nucleoside Phosphorylase/PNP
Met1-Ser289
Accession # P00491

Specificity

Detects human Purine Nucleoside Phosphorylase/PNP in direct ELISAs.

Clonality

Monoclonal

Host

Mouse

Isotype

IgG2B

Scientific Data Images for Human Purine Nucleoside Phosphorylase/PNP Antibody

Detection of Human Purine Nucleoside Phosphorylase/PNP antibody by Western Blot.

Detection of Human Purine Nucleoside Phosphorylase/PNP by Western Blot.

Western blot shows lysates of COLO 205 human colorectal adenocarcinoma cell line, Daudi human Burkitt's lymphoma cell line, HT1080 human fibrosarcoma cell line, and K562 human chronic myelogenous leukemia cell line. PVDF membrane was probed with 0.5 µg/mL of Mouse Anti-Human Purine Nucleoside Phosphorylase/PNP Monoclonal Antibody (Catalog # MAB6486) followed by HRP-conjugated Anti-Mouse IgG Secondary Antibody (Catalog # HAF018). A specific band was detected for Purine Nucleoside Phosphorylase/PNP at approximately 32 kDa (as indicated). This experiment was conducted under reducing conditions and using Immunoblot Buffer Group 1.
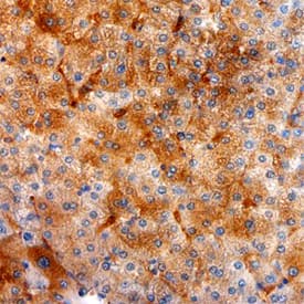
Purine Nucleoside Phosphorylase/PNP antibody in Human Liver by Immunohistochemistry (IHC-P).

Purine Nucleoside Phosphorylase/PNP in Human Liver.

Purine Nucleoside Phosphorylase/PNP was detected in immersion fixed paraffin-embedded sections of human liver using Mouse Anti-Human Purine Nucleoside Phosphorylase/PNP Monoclonal Antibody (Catalog # MAB6486) at 25 µg/mL overnight at 4 °C. Tissue was stained using the Anti-Mouse HRP-DAB Cell & Tissue Staining Kit (brown; Catalog # CTS002) and counter-stained with hematoxylin (blue). Specific staining was localized to endothelial cells in bile canaliculi. View our protocol for Chromogenic IHC Staining of Paraffin-embedded Tissue Sections.

Applications for Human Purine Nucleoside Phosphorylase/PNP Antibody

Application
Recommended Usage

Immunohistochemistry

8-25 µg/mL
Sample: Immersion fixed paraffin-embedded sections of human liver

Western Blot

0.5 µg/mL
Sample: COLO 205 human colorectal adenocarcinoma cell line, Daudi human Burkitt's lymphoma cell line, HT1080 human fibrosarcoma cell line, and K562 human chronic myelogenous leukemia cell line

Formulation, Preparation, and Storage

Purification

Protein A or G purified from hybridoma culture supernatant

Reconstitution

Sterile PBS to a final concentration of 0.5 mg/mL. For liquid material, refer to CoA for concentration.

Reconstitution Buffer Available:
Size / Price
Qty
Loading...

Formulation

Lyophilized from a 0.2 μm filtered solution in PBS with Trehalose. *Small pack size (SP) is supplied either lyophilized or as a 0.2 µm filtered solution in PBS.

Shipping

Lyophilized product is shipped at ambient temperature. Liquid small pack size (-SP) is shipped with polar packs. Upon receipt, store immediately at the temperature recommended below.

Stability & Storage

Use a manual defrost freezer and avoid repeated freeze-thaw cycles.
  • 12 months from date of receipt, -20 to -70 °C as supplied.
  • 1 month, 2 to 8 °C under sterile conditions after reconstitution.
  • 6 months, -20 to -70 °C under sterile conditions after reconstitution.

Background: Purine Nucleoside Phosphorylase/PNP

Purine Nucleoside Phosphorylase (PNP) catalyzes the phophorolysis of N-ribosidic bonds of purine nucleosides and deoxynucleosides. Physiological substrates of PNP include inosine, guanosine, and 2'-deoxyguanosine, but not adenosine (1). PNP is expressed in most tissues, with markedly greater expression in lymphoid tissues. Genetic deficiencies of PNP result in severely compromised T‑lymphocyte function and neurologic dysfunction (2, 3). PNP is used in assays for the measurement of inorganic phosphate (4).

References

  1. Schramm, V.L. (1998) Annu. Rev. Biochem. 67:693.
  2. Stoop, W. et al. (1977) N. Eng. J. Med. 296:651.
  3. Markert, M.L. (1991) Immunodefic. Rev. 3:45.
  4. Webb, M.R. (1992) Proc. Natl. Acad. Sci. USA. 89:4884.

Alternate Names

Inosine phosphorylase, PUNP

Entrez Gene IDs

4860 (Human)

Gene Symbol

PNP

UniProt

Additional Purine Nucleoside Phosphorylase/PNP Products

Product Documents for Human Purine Nucleoside Phosphorylase/PNP Antibody

Certificate of Analysis

To download a Certificate of Analysis, please enter a lot number in the search box below.

Note: Certificate of Analysis not available for kit components.

Product Specific Notices for Human Purine Nucleoside Phosphorylase/PNP Antibody

For research use only

Loading...
Loading...
Loading...
Loading...