Skip to main content

Key Product Details

Validated by

Biological Validation

Species Reactivity

Validated:

Human

Cited:

Mouse

Applications

Validated:

Immunohistochemistry, Western Blot

Cited:

Western Blot

Label

Unconjugated

Antibody Source

Polyclonal Rabbit IgG

Product Specifications

Immunogen

Phosphopeptide containing human MSK1 S212 site

Specificity

Detects human MSK1 when phosphorylated at S212.

Clonality

Polyclonal

Host

Rabbit

Isotype

IgG

Scientific Data Images for Human Phospho-MSK1 (S212) Antibody

Detection of Human Phospho-MSK1 (S212) antibody by Western Blot.

Detection of Human Phospho-MSK1 (S212) by Western Blot.

Western blot shows lysates of HeLa human cervical epithelial carcinoma cell line untreated (-) or treated (+) with 1 mM H2O2for 1 hour or 300 mM sorbitol for 30 minutes. PVDF membrane was probed with 0.2 µg/mL of Rabbit Anti-Human Phospho-MSK1 (S212) Antigen Affinity-purified Polyclonal Antibody (Catalog # AF1036), followed by HRP-conjugated Anti-Rabbit IgG Secondary Antibody (Catalog # HAF008). A specific band was detected for Phospho-MSK1 (S212) at approximately 90 kDa (as indicated). This experiment was conducted under reducing conditions and using Immunoblot Buffer Group 1.
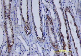
MSK1 antibody in Human Kidney Cancer Tissue by Immunohistochemistry (IHC-P).

MSK1 in Human Kidney Cancer Tissue.

MSK1 phosphorylated at S212 was detected in immersion fixed paraffin-embedded sections of human kidney cancer tissue using Rabbit Anti-Human Phospho-MSK1 (S212) Antigen Affinity-purified Polyclonal Antibody (Catalog # AF1036) at 15 µg/mL overnight at 4 °C. Tissue was stained using the Anti-Rabbit HRP-DAB Cell & Tissue Staining Kit (brown; Catalog # CTS005) and counterstained with hematoxylin (blue). View our protocol for Chromogenic IHC Staining of Paraffin-embedded Tissue Sections.

Applications for Human Phospho-MSK1 (S212) Antibody

Application
Recommended Usage

Immunohistochemistry

5-15 µg/mL
Sample: Perfusion fixed frozen sections of rat dorsal root ganglia and immersion fixed paraffin-embedded sections of human kidney cancer tissue

Western Blot

0.2 µg/mL
Sample: H2O2 or sorbitol-treated HeLa human cervical epithelial carcinoma cell line

Reviewed Applications

Read 3 reviews rated 4.3 using AF1036 in the following applications:

Formulation, Preparation, and Storage

Purification

Antigen Affinity-purified

Reconstitution

Reconstitute at 0.2 mg/mL in sterile PBS. For liquid material, refer to CoA for concentration.

Reconstitution Buffer Available:
Size / Price
Qty
Loading...

Formulation

Lyophilized from a 0.2 μm filtered solution in PBS with Trehalose. *Small pack size (SP) is supplied either lyophilized or as a 0.2 µm filtered solution in PBS.

Shipping

Lyophilized product is shipped at ambient temperature. Liquid small pack size (-SP) is shipped with polar packs. Upon receipt, store immediately at the temperature recommended below.

Stability & Storage

Use a manual defrost freezer and avoid repeated freeze-thaw cycles.
  • 12 months from date of receipt, -20 to -70 °C as supplied.
  • 1 month, 2 to 8 °C under sterile conditions after reconstitution.
  • 6 months, -20 to -70 °C under sterile conditions after reconstitution.

Background: MSK1

Mitogen- and stress-activated protein kinase 1 (MSK1), also known as ribosomal protein S6 kinase 5 (RPS6KA5), belongs to the AGC family of kinases. Both MSK1 and the related MSK2, also known as RSKB and RPS6KA4, have two kinase domains connected by a regulatory linker region, and are activated by the mitogen-activated protein kinases ERK1, ERK2, and p38. Nuclear MSK phosphorylates and activates a number of transcription factors, including ATF1 and CREB.

Long Name

Mitogen- and Stress-activated Protein Kinase 1

Alternate Names

RPS6KA5

Entrez Gene IDs

9252 (Human); 73086 (Mouse)

Gene Symbol

RPS6KA5

Additional MSK1 Products

Product Documents for Human Phospho-MSK1 (S212) Antibody

Certificate of Analysis

To download a Certificate of Analysis, please enter a lot number in the search box below.

Note: Certificate of Analysis not available for kit components.

Product Specific Notices for Human Phospho-MSK1 (S212) Antibody

For research use only

Loading...
Loading...
Loading...
Loading...
Loading...