Skip to main content

HABP1/C1QBP/GC1q R Antibody (A8F5-R)

Novus Biologicals, part of Bio-Techne | Catalog # NBP3-32377

Recombinant Monoclonal Antibody
Novus Biologicals, part of Bio-Techne
Catalog #
Availability
Size / Price
Qty
Loading...
NBP3-32377

Key Product Details

Species Reactivity

Human, Mouse, Rat

Applications

Immunohistochemistry, Immunohistochemistry-Paraffin, Western Blot, Flow Cytometry, Immunocytochemistry/ Immunofluorescence

Label

Unconjugated

Antibody Source

Recombinant Monoclonal Mouse IgG1 Clone # A8F5-R expressed in HEK293

Concentration

1 mg/ml

Product Specifications

Immunogen

Recombinant protein within human HABP1/C1QBP/GC1q R aa 100-282. (Uniprot: Q07021)

Localization

Extracellular region or secreted, Nucleus, Plasma membrane, Cytoplasm, Mitochondrion.

Clonality

Monoclonal

Host

Mouse

Isotype

IgG1

Theoretical MW

31 kDa.
Disclaimer note: The observed molecular weight of the protein may vary from the listed predicted molecular weight due to post translational modifications, post translation cleavages, relative charges, and other experimental factors.

Description

Novus Biologicals Mouse HABP1/C1QBP/GC1q R Antibody (A8F5-R) (NBP3-32377) is a recombinant monoclonal antibody validated for use in IHC, WB, Flow and ICC/IF. All Novus Biologicals antibodies are covered by our 100% guarantee.

Scientific Data Images for HABP1/C1QBP/GC1q R Antibody (A8F5-R)

HABP1/C1QBP/GC1q R Antibody (A8F5-R)

Western Blot: HABP1/C1QBP/GC1q R Antibody (A8F5-R) [NBP3-32377]

Western Blot: HABP1/C1QBP/GC1q R Antibody (A8F5-R) [NBP3-32377] - Western blot analysis of HABP1/C1QBP/GC1q R on different lysates with Mouse anti-HABP1/C1QBP/GC1q R antibody (NBP3-32377) at 1/1,000 dilution.

Lane 1: HeLa cell lysate (20 ug/Lane)
Lane 2: K-562 cell lysate (20 ug/Lane)
Lane 3: MCF7 cell lysate (20 ug/Lane)
Lane 4: A549 cell lysate (20 ug/Lane)
Lane 5: RAW264.7 cell lysate (20 ug/Lane)
Lane 6: NIH/3T3 cell lysate (20 ug/Lane)
Lane 7: PC-12 cell lysate (20 ug/Lane)
Lane 8: Rat spleen tissue lysate (40 ug/Lane)
Lane 9: Mouse spleen tissue lysate (40 ug/Lane)

Predicted band size: 31 kDa
Observed band size: 31 kDa

Exposure time: 24 seconds;

4-20% SDS-PAGE gel.

Proteins were transferred to a PVDF membrane and blocked with 5% NFDM/TBST for 1 hour at room temperature. The primary antibody (NBP3-32377) at 1/1,000 dilution was used in 5% NFDM/TBST at 4 overnight. Goat Anti-Mouse IgG - HRP Secondary Antibody at 1/50,000 dilution was used for 1 hour at room temperature.
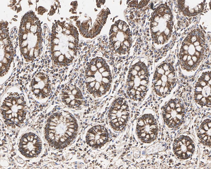
HABP1/C1QBP/GC1q R Antibody (A8F5-R)

Immunohistochemistry: HABP1/C1QBP/GC1q R Antibody (A8F5-R) [NBP3-32377]

Immunohistochemistry: HABP1/C1QBP/GC1q R Antibody (A8F5-R) [NBP3-32377] - Immunohistochemical analysis of paraffin-embedded human colon tissue with Mouse anti-HABP1/C1QBP/GC1q R antibody (NBP3-32377) at 1/2,000 dilution.

The section was pre-treated using heat mediated antigen retrieval with Tris-EDTA buffer (pH 9.0) for 20 minutes. The tissues were blocked in 1% BSA for 20 minutes at room temperature, washed with ddH2O and PBS, and then probed with the primary antibody (NBP3-32377) at 1/2,000 dilution for 1 hour at room temperature. The detection was performed using an HRP conjugated compact polymer system. DAB was used as the chromogen. Tissues were counterstained with hematoxylin and mounted with DPX.
HABP1/C1QBP/GC1q R Antibody (A8F5-R)

Immunocytochemistry/ Immunofluorescence: HABP1/C1QBP/GC1q R Antibody (A8F5-R) [NBP3-32377]

Immunocytochemistry/ Immunofluorescence: HABP1/C1QBP/GC1q R Antibody (A8F5-R) [NBP3-32377] - Immunocytochemistry analysis of HeLa cells labeling HABP1/C1QBP/GC1q R with Mouse anti-HABP1/C1QBP/GC1q R antibody (NBP3-32377) at 1/100 dilution.

Cells were fixed in 4% paraformaldehyde for 20 minutes at room temperature, permeabilized with 0.1% Triton X-100 in PBS for 5 minutes at room temperature, then blocked with 1% BSA in 10% negative goat serum for 1 hour at room temperature. Cells were then incubated with Mouse anti-HABP1/C1QBP/GC1q R antibody (NBP3-32377) at 1/100 dilution in 1% BSA in PBST overnight at 4 ℃. Goat Anti-Mouse IgG H&L (iFluor™ 488) was used as the secondary antibody at 1/1,000 dilution. PBS instead of the primary antibody was used as the secondary antibody only control. Nuclear DNA was labelled in blue with DAPI.

beta Tubulin (red) was stained at 1/100 dilution overnight at +4℃. Goat Anti-Rabbit IgG H&L (iFluor™ 594) were used as the secondary antibody at 1/1,000 dilution.

Applications for HABP1/C1QBP/GC1q R Antibody (A8F5-R)

Application
Recommended Usage

Flow Cytometry

1:1000

Immunocytochemistry/ Immunofluorescence

1:100

Immunohistochemistry-Paraffin

1:2000

Western Blot

1:1000

Formulation, Preparation, and Storage

Purification

Protein A purified

Formulation

PBS (pH7.4), 0.1% BSA and 40% Glycerol

Preservative

0.05% Sodium Azide

Concentration

1 mg/ml

Shipping

The product is shipped with polar packs. Upon receipt, store it immediately at the temperature recommended below.

Stability & Storage

Store at 4C short term. Aliquot and store at -20C long term. Avoid freeze-thaw cycles.

Background: HABP1/C1QBP

The human complement subcomponent C1q associates with C1r and C1s in order to yield the first component of the serum complement system. The protein encoded by this gene is known to bind to the globular heads of C1q molecules and inhibit C1 activation. This protein has also been identified as the p32 subunit of pre-mRNA splicing factor SF2, as well as a hyaluronic acid-binding protein. [provided by RefSeq]

Long Name

Hyaluronic Acid-binding Protein

Alternate Names

C1QBP, gC1qBP, gC1qR, SF2p32

Gene Symbol

C1QBP

Additional HABP1/C1QBP Products

Product Documents for HABP1/C1QBP/GC1q R Antibody (A8F5-R)

Certificate of Analysis

To download a Certificate of Analysis, please enter a lot number in the search box below.

Product Specific Notices for HABP1/C1QBP/GC1q R Antibody (A8F5-R)

This product is for research use only and is not approved for use in humans or in clinical diagnosis. Primary Antibodies are guaranteed for 1 year from date of receipt.

Loading...
Loading...
Loading...
Loading...
Loading...