Skip to main content

GUCY2C Antibody - BSA Free

Novus Biologicals, part of Bio-Techne | Catalog # NBP1-81788

Novus Biologicals, part of Bio-Techne
Catalog #
Availability
Size / Price
Qty
Loading...
NBP1-81788-25ul
NBP1-81788

Key Product Details

Species Reactivity

Validated:

Human

Cited:

Human

Applications

Validated:

Immunohistochemistry, Immunohistochemistry-Paraffin

Cited:

IF/IHC

Label

Unconjugated

Antibody Source

Polyclonal Rabbit IgG

Format

BSA Free

Concentration

Concentrations vary lot to lot. See vial label for concentration. If unlisted please contact technical services.

Product Specifications

Immunogen

This antibody was developed against Recombinant Protein corresponding to amino acids: EVRGETYLKGRGNETTYWLTGMKDQKFNLPTPPTVENQQRLQAEFSDMIANSLQKRQAAGIRSQKPRRVASYKKGTLEYLQLNTTD

Reactivity Notes

Immunogen displays the following percentage of sequence identity for non-tested species: Rat (80%).

Clonality

Polyclonal

Host

Rabbit

Isotype

IgG

Scientific Data Images for GUCY2C Antibody - BSA Free

Immunohistochemistry-Paraffin: GUCY2C Antibody [NBP1-81788]

Immunohistochemistry-Paraffin: GUCY2C Antibody [NBP1-81788]

Immunohistochemistry-Paraffin: GUCY2C Antibody [NBP1-81788] - Staining of human pancreas shows no positivity in exocrine glandular cells as expected.
Immunohistochemistry-Paraffin: GUCY2C Antibody [NBP1-81788]

Immunohistochemistry-Paraffin: GUCY2C Antibody [NBP1-81788]

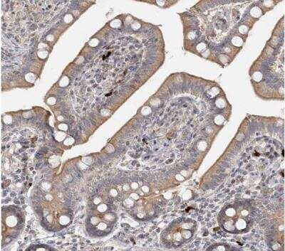
Immunohistochemistry-Paraffin: GUCY2C Antibody [NBP1-81788] - Staining of human small intestine shows moderate cytoplasmic positivity in glandular cells.
Immunohistochemistry-Paraffin: GUCY2C Antibody [NBP1-81788]

Immunohistochemistry-Paraffin: GUCY2C Antibody [NBP1-81788]

Immunohistochemistry-Paraffin: GUCY2C Antibody [NBP1-81788] - Staining of human rectum shows moderate cytoplasmic positivity in glandular cells.

Applications for GUCY2C Antibody - BSA Free

Application
Recommended Usage

Immunohistochemistry

1:200 - 1:500

Immunohistochemistry-Paraffin

1:200 - 1:500
Application Notes
For IHC-Paraffin, HIER pH 6 retrieval is recommended.

Formulation, Preparation, and Storage

Purification

Affinity purified

Formulation

PBS (pH 7.2) and 40% Glycerol

Format

BSA Free

Preservative

0.02% Sodium Azide

Concentration

Concentrations vary lot to lot. See vial label for concentration. If unlisted please contact technical services.

Shipping

The product is shipped with polar packs. Upon receipt, store it immediately at the temperature recommended below.

Stability & Storage

Store at 4C short term. Aliquot and store at -20C long term. Avoid freeze-thaw cycles.

Background: Guanylyl Cyclase C/GUCY2C

Receptor for the E.coli heat-stable enterotoxin (E.coli enterotoxin markedly stimulates the accumulation of cGMP in mammalian cells expressing GC-C). Also activated by the endogenous peptide guanylin.

Alternate Names

DIAR6, GC-C, GCC, Guanylate Cyclase C, GUC2C, GUCY2C, MUCIL, STA Receptor, StAR

Gene Symbol

GUCY2C

Additional Guanylyl Cyclase C/GUCY2C Products

Product Documents for GUCY2C Antibody - BSA Free

Certificate of Analysis

To download a Certificate of Analysis, please enter a lot number in the search box below.

Product Specific Notices for GUCY2C Antibody - BSA Free

This product is for research use only and is not approved for use in humans or in clinical diagnosis. Primary Antibodies are guaranteed for 1 year from date of receipt.

Loading...
Loading...
Loading...
Loading...
Loading...