GRP75/HSPA9B/Mortalin Antibody (6-A9-R)
Novus Biologicals, part of Bio-Techne | Catalog # NBP3-32407
Recombinant Monoclonal Antibody
Key Product Details
Species Reactivity
Human, Mouse, Rat
Applications
Immunocytochemistry/ Immunofluorescence, Immunohistochemistry, Immunohistochemistry-Paraffin, Western Blot
Label
Unconjugated
Antibody Source
Recombinant Monoclonal Mouse IgG1 Clone # 6-A9-R expressed in HEK293
Concentration
1 mg/ml
Product Specifications
Immunogen
Synthetic peptide within human GRP75/HSPA9B/Mortalin aa 101-150. (Uniprot: P38646)
Localization
Mitochondrion. Nucleus.
Clonality
Monoclonal
Host
Mouse
Isotype
IgG1
Theoretical MW
74 kDa.
Disclaimer note: The observed molecular weight of the protein may vary from the listed predicted molecular weight due to post translational modifications, post translation cleavages, relative charges, and other experimental factors.
Disclaimer note: The observed molecular weight of the protein may vary from the listed predicted molecular weight due to post translational modifications, post translation cleavages, relative charges, and other experimental factors.
Description
Novus Biologicals Mouse GRP75/HSPA9B/Mortalin Antibody (6-A9-R) (NBP3-32407) is a recombinant monoclonal antibody validated for use in IHC, WB and ICC/IF. All Novus Biologicals antibodies are covered by our 100% guarantee.
Scientific Data Images for GRP75/HSPA9B/Mortalin Antibody (6-A9-R)
Western Blot: GRP75/HSPA9B/Mortalin Antibody (6-A9-R) [NBP3-32407]
Western Blot: GRP75/HSPA9B/Mortalin Antibody (6-A9-R) [NBP3-32407] - Western blot analysis of GRP75/HSPA9B/Mortalin on different lysates with Mouse anti-GRP75/HSPA9B/Mortalin antibody (NBP3-32407) at 1/2,000 dilution.Lane 1: HeLa cell lysate
Lane 2: K-562 cell lysate
Lane 3: HepG2 cell lysate
Lane 4: MCF7 cell lysate
Lane 5: NIH/3T3 cell lysate
Lane 6: Mouse liver tissue lysate
Lane 7: Rat liver tissue lysate
Lane 8: Mouse kidney tissue lysate
Lane 9: Rat kidney tissue lysate
Predicted band size: 74 kDa
Observed band size: 74 kDa
Exposure time: 3 minutes;
4-20% SDS-PAGE gel.
Proteins were transferred to a PVDF membrane and blocked with 5% NFDM/TBST for 1 hour at room temperature. The primary antibody (NBP3-32407) at 1/2,000 dilution was used in 5% NFDM/TBST at 4 overnight. Anti-Mouse IgG for IP Nano-secondary antibody (NBI02H) at 1/5,000 dilution was used for 1 hour at room temperature.
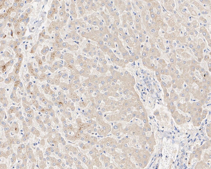
Immunohistochemistry: GRP75/HSPA9B/Mortalin Antibody (6-A9-R) [NBP3-32407]
Immunohistochemistry: GRP75/HSPA9B/Mortalin Antibody (6-A9-R) [NBP3-32407] - Immunohistochemical analysis of paraffin-embedded human liver tissue with Mouse anti-GRP75/HSPA9B/Mortalin antibody (NBP3-32407) at 1/500 dilution.The section was pre-treated using heat mediated antigen retrieval with sodium citrate buffer (pH 6.0) for 2 minutes. The tissues were blocked in 1% BSA for 20 minutes at room temperature, washed with ddH2O and PBS, and then probed with the primary antibody (NBP3-32407) at 1/500 dilution for 1 hour at room temperature. The detection was performed using an HRP conjugated compact polymer system. DAB was used as the chromogen. Tissues were counterstained with hematoxylin and mounted with DPX.
Immunocytochemistry/ Immunofluorescence: GRP75/HSPA9B/Mortalin Antibody (6-A9-R) [NBP3-32407]
Immunocytochemistry/ Immunofluorescence: GRP75/HSPA9B/Mortalin Antibody (6-A9-R) [NBP3-32407] - Immunocytochemistry analysis of K-562 cells labeling GRP75/HSPA9B/Mortalin with Mouse anti-GRP75/HSPA9B/Mortalin antibody (NBP3-32407) at 1/100 dilution.Cells were fixed in 80% precooled methanol for 5 minutes at room temperature, then blocked with 1% BSA in 10% negative goat serum for 1 hour at room temperature. Cells were then incubated with Mouse anti-GRP75/HSPA9B/Mortalin antibody (NBP3-32407) at 1/100 dilution in 1% BSA in PBST overnight at 4 ℃. Goat Anti-Mouse IgG H&L (iFluor™ 488) was used as the secondary antibody at 1/1,000 dilution. PBS instead of the primary antibody was used as the secondary antibody only control. Nuclear DNA was labelled in blue with DAPI.
beta Tubulin (red) was stained at 1/100 dilution overnight at +4℃. Goat Anti-Rabbit IgG H&L (iFluor™ 594) were used as the secondary antibody at 1/1,000 dilution.
Applications for GRP75/HSPA9B/Mortalin Antibody (6-A9-R)
Application
Recommended Usage
Immunocytochemistry/ Immunofluorescence
1:100
Immunohistochemistry-Paraffin
1:500
Western Blot
1:2000
Formulation, Preparation, and Storage
Purification
Protein A purified
Formulation
PBS (pH7.4), 0.1% BSA and 40% Glycerol
Preservative
0.05% Sodium Azide
Concentration
1 mg/ml
Shipping
The product is shipped with polar packs. Upon receipt, store it immediately at the temperature recommended below.
Stability & Storage
Store at 4C short term. Aliquot and store at -20C long term. Avoid freeze-thaw cycles.
Background: GRP75/HSPA9B
Long Name
75 KD Glucose Regulated Protein
Alternate Names
CSA, HSPA9, HSPA9B, Mortalin-2, MOT2, PBP74
Gene Symbol
HSPA9
Additional GRP75/HSPA9B Products
Product Documents for GRP75/HSPA9B/Mortalin Antibody (6-A9-R)
Product Specific Notices for GRP75/HSPA9B/Mortalin Antibody (6-A9-R)
This product is for research use only and is not approved for use in humans or in clinical diagnosis. Primary Antibodies are guaranteed for 1 year from date of receipt.
Loading...
Loading...
Loading...
Loading...