GCKR Antibody (OTI1E7)
Novus Biologicals, part of Bio-Techne | Catalog # NBP2-03396
Conjugate
Catalog #
Forumulation
Catalog #
Key Product Details
Species Reactivity
Human, Mouse, Rat
Applications
Immunohistochemistry, Immunohistochemistry-Paraffin, Western Blot, Immunocytochemistry/ Immunofluorescence
Label
Unconjugated
Antibody Source
Monoclonal Mouse IgG1 Clone # OTI1E7
Concentration
1 mg/ml
Product Specifications
Immunogen
Full length human recombinant protein of human GCKR (NP_001417) produced in HEK293T cell.
Reactivity Notes
Please note that this antibody is reactive to Mouse and derived from the same host, Mouse. Mouse-On-Mouse blocking reagent may be needed for IHC and ICC experiments to reduce high background signal. You can find these reagents under catalog numbers PK-2200-NB and MP-2400-NB. Please contact Technical Support if you have any questions.
Clonality
Monoclonal
Host
Mouse
Isotype
IgG1
Theoretical MW
68.5 kDa.
Disclaimer note: The observed molecular weight of the protein may vary from the listed predicted molecular weight due to post translational modifications, post translation cleavages, relative charges, and other experimental factors.
Disclaimer note: The observed molecular weight of the protein may vary from the listed predicted molecular weight due to post translational modifications, post translation cleavages, relative charges, and other experimental factors.
Description
Novus Biologicals Mouse GCKR Antibody (OTI1E7) (NBP2-03396) is a monoclonal antibody validated for use in IHC, WB and ICC/IF. Anti-GCKR Antibody: Cited in 1 publication. All Novus Biologicals antibodies are covered by our 100% guarantee.
Scientific Data Images for GCKR Antibody (OTI1E7)
Western Blot: GCKR Antibody (OTI1E7) [NBP2-03396]
Western Blot: GCKR Antibody (1E7) [NBP2-03396] - Analysis of extracts (35 ug) from 9 different cell lines by using anti-GCKR monoclonal antibody (HepG2: human; HeLa: human; SVT2: mouse; A549: human; COS7: monkey; Jurkat: human; MDCK: canine; PC12: rat; MCF7: human).(1:200)
Immunocytochemistry/Immunofluorescence: GCKR Antibody (1E7) [NBP2-03396] Staining of COS7 cells transiently transfected by pCMV6-ENTRY GCKR.
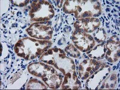
Immunohistochemistry-Paraffin: GCKR Antibody (OTI1E7) [NBP2-03396]
Immunohistochemistry-Paraffin: GCKR Antibody (1E7) [NBP2-03396] - Staining of paraffin-embedded Human Kidney tissue using anti-GCKR mouse monoclonal antibody.Applications for GCKR Antibody (OTI1E7)
Application
Recommended Usage
Immunocytochemistry/ Immunofluorescence
1:100
Immunohistochemistry
1:150
Immunohistochemistry-Paraffin
1:150
Western Blot
1:2000
Formulation, Preparation, and Storage
Purification
Immunogen affinity purified
Formulation
PBS (pH 7.3), 1.0% BSA and 50% Glycerol
Preservative
0.02% Sodium Azide
Concentration
1 mg/ml
Shipping
The product is shipped with polar packs. Upon receipt, store it immediately at the temperature recommended below.
Stability & Storage
Store at -20C. Avoid freeze-thaw cycles.
Background: GCKR
Alternate Names
FGQTL5, GKRP, glucokinase (hexokinase 4) regulator, glucokinase (hexokinase 4) regulatory protein, Glucokinase regulator, glucokinase regulatory protein
Entrez Gene IDs
2646 (Human)
Gene Symbol
GCKR
Additional GCKR Products
Product Documents for GCKR Antibody (OTI1E7)
Product Specific Notices for GCKR Antibody (OTI1E7)
This product is for research use only and is not approved for use in humans or in clinical diagnosis. Primary Antibodies are guaranteed for 1 year from date of receipt.
Loading...
Loading...
Loading...
Loading...