Skip to main content

GBP1 Antibody (GBP1/7617) - Azide and BSA Free

Novus Biologicals, part of Bio-Techne | Catalog # NBP3-26937

Novus Biologicals, part of Bio-Techne
Catalog #
Availability
Size / Price
Qty
Loading...
NBP3-26937
Conjugate
Catalog #

Key Product Details

Species Reactivity

Human

Applications

Immunohistochemistry-Paraffin

Label

Unconjugated

Antibody Source

Monoclonal Mouse IgG1 kappa Clone # GBP1/7617

Format

Azide and BSA Free

Concentration

1 mg/ml

Product Specifications

Immunogen

Recombinant fragment (around aa400-592) of human GBP1 protein (exact sequence is proprietary)

Localization

Cell membrane

Clonality

Monoclonal

Host

Mouse

Isotype

IgG1 kappa

Description

Antibody without azide - store at -20 to -80C. Non-hazardous. No MSDS required.

Scientific Data Images for GBP1 Antibody (GBP1/7617) - Azide and BSA Free

GBP1 Antibody (GBP1/7617)

Immunohistochemistry-Paraffin: GBP1 Antibody (GBP1/7617) - Azide and BSA Free [NBP3-26937] -

IHC analysis of formalin-fixed, paraffin-embedded human lymph node. GBP1 Antibody (GBP1/7617) - Azide and BSA Free. Inset: PBS instead of primary antibody; secondary only negative control.
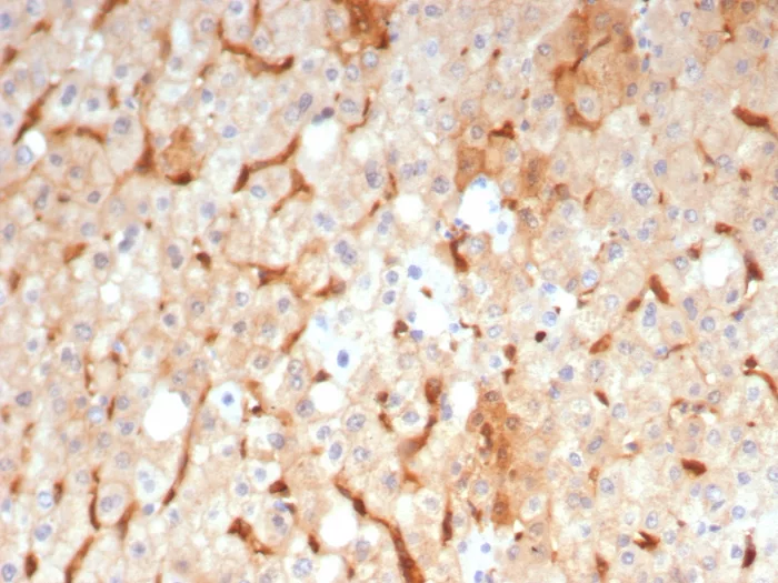
GBP1 Antibody (GBP1/7617)

Immunohistochemistry-Paraffin: GBP1 Antibody (GBP1/7617) - Azide and BSA Free [NBP3-26937] -

IHC analysis of formalin-fixed, paraffin-embedded human liver. GBP1 Antibody (GBP1/7617) - Azide and BSA Free. HIER: Tris/EDTA, pH9.0, 45min. 2°C: HRP-polymer, 30min. DAB, 5min.

Applications for GBP1 Antibody (GBP1/7617) - Azide and BSA Free

Application
Recommended Usage

Immunohistochemistry-Paraffin

1-2ug/ml for 30 minutes at RT
Application Notes
Immunohistochemistry-Paraffin 1-2ug/ml for 30 minutes at RT. Optimal dilution for a specific application should be determined.. Staining of formalin-fixed tissues requires heating tissue sections in 10mM Tris with 1mM EDTA, pH 9.0, for 45 min at 95C followed by cooling at RT for 20 minutes

Formulation, Preparation, and Storage

Purification

Protein A or G purified

Formulation

10mM PBS

Format

Azide and BSA Free

Preservative

No Preservative

Concentration

1 mg/ml

Shipping

The product is shipped with polar packs. Upon receipt, store it immediately at the temperature recommended below.

Stability & Storage

Store at -20 to -80C. Avoid freeze-thaw cycles.

Background: GBP1

Guanylate binding protein expression is induced by interferon. Guanylate binding proteins are characterized by their ability to specifically bind guanine nucleotides (GMP, GDP, and GTP) and are distinguished from the GTP-binding proteins by the presence of 2 binding motifs rather than 3. [provided by RefSeq]

Alternate Names

GBP-1, GTP-binding protein 1, Guanine nucleotide-binding protein 1, guanylate binding protein 1, interferon-inducible, guanylate binding protein 1, interferon-inducible, 67kDa, HuGBP-1, interferon-induced guanylate-binding protein 1

Gene Symbol

GBP1

Additional GBP1 Products

Product Documents for GBP1 Antibody (GBP1/7617) - Azide and BSA Free

Certificate of Analysis

To download a Certificate of Analysis, please enter a lot number in the search box below.

Product Specific Notices for GBP1 Antibody (GBP1/7617) - Azide and BSA Free

This product is for research use only and is not approved for use in humans or in clinical diagnosis. Primary Antibodies are guaranteed for 1 year from date of receipt.

Loading...
Loading...
Loading...
Loading...