Skip to main content

G2A/GPR132 Antibody - BSA Free

Novus Biologicals, part of Bio-Techne | Catalog # NBP1-89807

Novus Biologicals, part of Bio-Techne
Catalog #
Availability
Size / Price
Qty
Loading...
NBP1-89807
NBP1-89807-25ul

Key Product Details

Species Reactivity

Human

Applications

Immunohistochemistry, Immunohistochemistry-Paraffin

Label

Unconjugated

Antibody Source

Polyclonal Rabbit IgG

Format

BSA Free

Concentration

Concentrations vary lot to lot. See vial label for concentration. If unlisted please contact technical services.

Product Specifications

Immunogen

This antibody was developed against Recombinant Protein corresponding to amino acids: NGYNGNATPVTTTAPWASLGLSAKTCNNVSFEESRI

Clonality

Polyclonal

Host

Rabbit

Isotype

IgG

Scientific Data Images for G2A/GPR132 Antibody - BSA Free

G2A/GPR132 Antibody - BSA Free Immunohistochemistry-Paraffin: G2A/GPR132 Antibody - BSA Free [NBP1-89807]

Immunohistochemistry-Paraffin: G2A/GPR132 Antibody - BSA Free [NBP1-89807]

Staining of human cervix, uterine shows moderate cytoplasmic positivity in squamous epithelial cells.
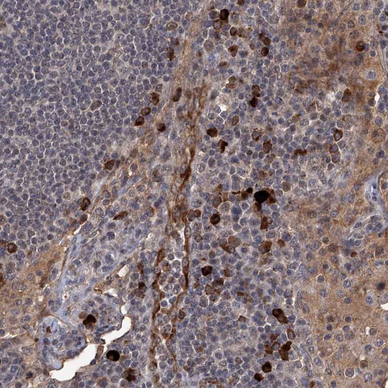
G2A/GPR132 Antibody - BSA Free Immunohistochemistry-Paraffin: G2A/GPR132 Antibody - BSA Free [NBP1-89807]

Immunohistochemistry-Paraffin: G2A/GPR132 Antibody - BSA Free [NBP1-89807]

Staining of human lymph node shows strong cytoplasmic positivity in a subset of non-germinal center cells.
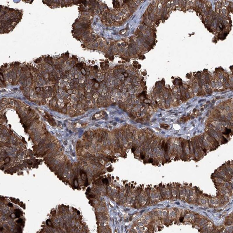
G2A/GPR132 Antibody - BSA Free Immunohistochemistry-Paraffin: G2A/GPR132 Antibody - BSA Free [NBP1-89807]

Immunohistochemistry-Paraffin: G2A/GPR132 Antibody - BSA Free [NBP1-89807]

Staining of human fallopian tube shows strong cytoplasmic positivity in glandular cells.

Applications for G2A/GPR132 Antibody - BSA Free

Application
Recommended Usage

Immunohistochemistry

1:20 - 1:50

Immunohistochemistry-Paraffin

1:20 - 1:50
Application Notes
For IHC-Paraffin, HIER pH 6 retrieval is recommended. Immunocytochemistry/Immunofluorescence Fixation Permeabilization: Use PFA/Triton X-100.

Formulation, Preparation, and Storage

Purification

Affinity purified

Formulation

PBS (pH 7.2) and 40% Glycerol

Format

BSA Free

Preservative

0.02% Sodium Azide

Concentration

Concentrations vary lot to lot. See vial label for concentration. If unlisted please contact technical services.

Shipping

The product is shipped with polar packs. Upon receipt, store it immediately at the temperature recommended below.

Stability & Storage

Store at 4C short term. Aliquot and store at -20C long term. Avoid freeze-thaw cycles.

Background: G2A/GPR132

GPR132, also known as G2A (for G2 accumulation), is a seven transmembrane G protein-coupled receptor that is upregulated in response to DNA damage and stress. G2A is predominantly expressed in hematopoietic tissues and in hematopoietic stem cells, and it is more highly detected in pro-B cells, while lower expression is observed in immature B cells and pre-B cells. G2A is expressed throughout T cell maturation, and it is further increased in response to T-cell activation. Ectopic expression of a G2A fusion protein in NIH/3T3 fibroblasts induces a cell cycle arrest that is consistent with a block at the G2/M transition. G2A is also able to attenuate the proliferative effects of Bcr-Abl, a chimeric tyrosine kinase oncogene, suggesting that G2A possesses anti-oncogenic properties. The amino acid sequence of G2A contains a destruction box motif that is consistently observed in cyclins, where it is required for ubiquitination and proteolytic degradation.

Long Name

G2 Accumulation Protein

Alternate Names

GPR132

Gene Symbol

GPR132

Additional G2A/GPR132 Products

Product Documents for G2A/GPR132 Antibody - BSA Free

Certificate of Analysis

To download a Certificate of Analysis, please enter a lot number in the search box below.

Product Specific Notices for G2A/GPR132 Antibody - BSA Free

This product is for research use only and is not approved for use in humans or in clinical diagnosis. Primary Antibodies are guaranteed for 1 year from date of receipt.

Loading...
Loading...
Loading...
Loading...