FoxP2 Antibody - BSA Free
Novus Biologicals, part of Bio-Techne | Catalog # NBP1-86671
Key Product Details
Species Reactivity
Validated:
Human, Mouse, Rat
Cited:
Mouse, Rat
Applications
Validated:
Immunohistochemistry, Immunohistochemistry-Paraffin, Western Blot, Immunocytochemistry/ Immunofluorescence
Cited:
Immunocytochemistry/ Immunofluorescence, IF/IHC
Label
Unconjugated
Antibody Source
Polyclonal Rabbit IgG
Format
BSA Free
Concentration
Concentrations vary lot to lot. See vial label for concentration. If unlisted please contact technical services.
Product Specifications
Immunogen
This antibody was developed against Recombinant Protein corresponding to amino acids: AQQLVFQQQLLQMQQLQQQQHLLSLQRQGLISIPPGQAALPVQSLPQAGLSPAEIQQLWKEVTGVHSMEDNGIKHGGLDLTTNNSSSTTSSNTSKASPPITHHS
Reactivity Notes
Rat reactivity reported in scientific literature (PMID: 25926446). Mouse reactivity reported in scientific literature (PMID: 26407299).
Clonality
Polyclonal
Host
Rabbit
Isotype
IgG
Scientific Data Images for FoxP2 Antibody - BSA Free
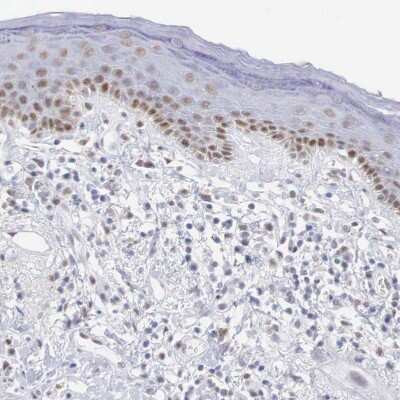
Immunohistochemistry: FoxP2 Antibody [NBP1-86671]
FoxP2-Antibody-Immunohistochemistry-NBP1-86671-img0009.jpgImmunohistochemistry-Paraffin: FoxP2 Antibody [NBP1-86671]
Immunohistochemistry-Paraffin: FoxP2 Antibody [NBP1-86671] - Staining of human cerebral cortex shows moderate to strong nuclear positivity in neurons.Immunohistochemistry-Paraffin: FoxP2 Antibody [NBP1-86671]
Immunohistochemistry-Paraffin: FoxP2 Antibody [NBP1-86671] - Staining of human rectum shows moderate nuclear positivity in glandular cells.Applications for FoxP2 Antibody - BSA Free
Application
Recommended Usage
Immunocytochemistry/ Immunofluorescence
Reported in scientific literature (PMID: 25926446 and 25926446).
Immunohistochemistry
1:200 - 1:500
Immunohistochemistry-Paraffin
1:200-1:500
Western Blot
0.04-0.4 ug/ml
Application Notes
IHC-Paraffin, HIER pH 6 retrieval is recommended.
Formulation, Preparation, and Storage
Purification
Affinity purified
Formulation
PBS (pH 7.2) and 40% Glycerol
Format
BSA Free
Preservative
0.02% Sodium Azide
Concentration
Concentrations vary lot to lot. See vial label for concentration. If unlisted please contact technical services.
Shipping
The product is shipped with polar packs. Upon receipt, store it immediately at the temperature recommended below.
Stability & Storage
Store at 4C short term. Aliquot and store at -20C long term. Avoid freeze-thaw cycles.
Background: FoxP2
Long Name
Forkhead Box P2
Alternate Names
CAGH44, SPCH1, TNRC10
Gene Symbol
FOXP2
Additional FoxP2 Products
Product Documents for FoxP2 Antibody - BSA Free
Product Specific Notices for FoxP2 Antibody - BSA Free
This product is for research use only and is not approved for use in humans or in clinical diagnosis. Primary Antibodies are guaranteed for 1 year from date of receipt.
Loading...
Loading...
Loading...
Loading...