Skip to main content

FAM20A Antibody - BSA Free

Novus Biologicals, part of Bio-Techne | Catalog # NBP3-04714

Novus Biologicals, part of Bio-Techne
Catalog #
Availability
Size / Price
Qty
Loading...
NBP3-04714-100ul
NBP3-04714-20ul

Key Product Details

Species Reactivity

Human, Mouse, Rat

Applications

Immunohistochemistry, Immunohistochemistry-Paraffin, Western Blot, ELISA

Label

Unconjugated

Antibody Source

Polyclonal Rabbit IgG

Format

BSA Free

Concentration

Please see the vial label for concentration. If unlisted please contact technical services.

Product Specifications

Immunogen

Recombinant fusion protein containing a sequence corresponding to amino acids 140-240 of human FAM20A (NP_060035.2). YREQMNLTSLDPPLQLRLEASWVQFHLGINRHGLYSRSSPVVSKLLQDMRHFPTISADYSQDEKALLGACDCTQIVKPSGVHLKLVLRFSDFGKAMFKPMR

Clonality

Polyclonal

Host

Rabbit

Isotype

IgG

Theoretical MW

61 kDa.
Disclaimer note: The observed molecular weight of the protein may vary from the listed predicted molecular weight due to post translational modifications, post translation cleavages, relative charges, and other experimental factors.

Description

Novus Biologicals Rabbit FAM20A Antibody - BSA Free (NBP3-04714) is a polyclonal antibody validated for use in IHC and WB. All Novus Biologicals antibodies are covered by our 100% guarantee.

Scientific Data Images for FAM20A Antibody - BSA Free

Western Blot: FAM20A AntibodyBSA Free [NBP3-04714]

Western Blot: FAM20A AntibodyBSA Free [NBP3-04714]

Western Blot: FAM20A Antibody [NBP3-04714] - Analysis of extracts of various cell lines, using FAM20A antibody at 1:1000 dilution. Secondary antibody: HRP Goat Anti-Rabbit IgG (H+L) at 1:10000 dilution. Lysates/proteins: 25ug per lane. Blocking buffer: 3% nonfat dry milk in TBST. Detection: ECL Basic Kit
Immunohistochemistry-Paraffin: FAM20A Antibody - BSA Free [NBP3-04714]

Immunohistochemistry-Paraffin: FAM20A Antibody - BSA Free [NBP3-04714]

Immunohistochemistry-Paraffin: FAM20A Antibody [NBP3-04714] - Paraffin-embedded mouse lung using FAM20A antibody at dilution of 1:100 (40x lens).
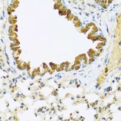
Immunohistochemistry-Paraffin: FAM20A Antibody - BSA Free [NBP3-04714]

Immunohistochemistry-Paraffin: FAM20A Antibody - BSA Free [NBP3-04714]

Immunohistochemistry-Paraffin: FAM20A Antibody [NBP3-04714] - Paraffin-embedded rat lung using FAM20A antibody at dilution of 1:100 (40x lens).

Applications for FAM20A Antibody - BSA Free

Application
Recommended Usage

ELISA

Recommended starting concentration is 1 μg/mL

Immunohistochemistry

1:100-1:200

Western Blot

1:500-1:2000

Formulation, Preparation, and Storage

Purification

Affinity purified

Formulation

PBS (pH 7.3), 50% glycerol

Format

BSA Free

Preservative

0.02% Sodium Azide

Concentration

Please see the vial label for concentration. If unlisted please contact technical services.

Shipping

The product is shipped with polar packs. Upon receipt, store it immediately at the temperature recommended below.

Stability & Storage

Store at -20C. Avoid freeze-thaw cycles.

Background: FAM20A

Alternate Names

AIGFS, DKFZp434F2322, family with sequence similarity 20, member A, FP2747, UNQ9388/PRO34279

Gene Symbol

FAM20A

Additional FAM20A Products

Product Documents for FAM20A Antibody - BSA Free

Certificate of Analysis

To download a Certificate of Analysis, please enter a lot number in the search box below.

Product Specific Notices for FAM20A Antibody - BSA Free

This product is for research use only and is not approved for use in humans or in clinical diagnosis. Primary Antibodies are guaranteed for 1 year from date of receipt.

Loading...
Loading...
Loading...
Loading...