Skip to main content

Factor IX Antibody - BSA Free

Novus Biologicals, part of Bio-Techne | Catalog # NBP2-98270

Novus Biologicals, part of Bio-Techne

Key Product Details

Species Reactivity

Mouse

Applications

Immunohistochemistry, Immunohistochemistry-Paraffin, ELISA

Label

Unconjugated

Antibody Source

Polyclonal Rabbit IgG

Format

BSA Free

Concentration

Please see the vial label for concentration. If unlisted please contact technical services.

Product Specifications

Immunogen

Produced in rabbits immunized with purified, recombinant Mouse Factor IX (Uniprot#: P16294; Met1-Thr471)

Clonality

Polyclonal

Host

Rabbit

Isotype

IgG

Description

This antibody can be stored at 2C to 8C for one month without detectable loss of activity. Antibody products are stable for twelve months from date of receipt when stored at -20C to -80C. Avoid repeated freeze-thaw cycles.

Scientific Data Images for Factor IX Antibody - BSA Free

Immunohistochemistry-Paraffin: Factor IX Antibody [NBP2-98270]

Immunohistochemistry-Paraffin: Factor IX Antibody [NBP2-98270]

Immunohistochemistry-Paraffin: Factor IX Antibody [NBP2-98270] - Immunochemical staining of mouse Factor IX in mouse liver with rabbit polyclonal antibody at 1:300 dilution, formalin-fixed paraffin embedded sections.
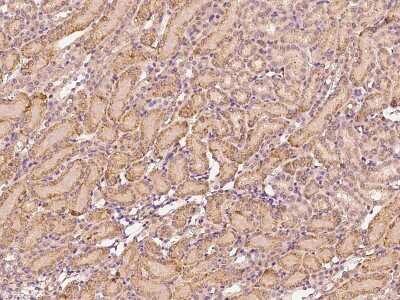
Immunohistochemistry-Paraffin: Factor IX Antibody [NBP2-98270]

Immunohistochemistry-Paraffin: Factor IX Antibody [NBP2-98270]

Immunohistochemistry-Paraffin: Factor IX Antibody [NBP2-98270] - Immunochemical staining of mouse Factor IX in mouse kidney with rabbit polyclonal antibody at 1:300 dilution, formalin-fixed paraffin embedded sections.

Applications for Factor IX Antibody - BSA Free

Application
Recommended Usage

ELISA

1:5000-1:10000

Immunohistochemistry-Paraffin

1:200-1:1000

Formulation, Preparation, and Storage

Purification

Antigen and protein A Affinity-purified

Formulation

PBS

Format

BSA Free

Preservative

0.03% Proclin 300

Concentration

Please see the vial label for concentration. If unlisted please contact technical services.

Shipping

The product is shipped with polar packs. Upon receipt, store it immediately at the temperature recommended below.

Stability & Storage

Store at 4C short term. Aliquot and store at -20C long term. Avoid freeze-thaw cycles.

Background: Coagulation Factor IX

Factor IX encodes vitamin K-dependent coagulation factor IX that circulates in the blood as an inactive zymogen. This factor is converted to an active form by factor XIa, which excises the activation peptide and thus generates a heavy chain and a light chain held together by one or more disulfide bonds. The role of this activated factor IX in the blood coagulation cascade is to activate factor X to its active form through interactions with Ca+2 ions, membrane phospholipids, and factor VIII. Alterations of this gene, including point mutations, insertions and deletions, cause factor IX deficiency, which is a recessive X-linked disorder, also called hemophilia B or Christmas disease.

Alternate Names

Christmas Factor, F9, FIX, HEMB, P19, Plasma Thromboplastic Component, PTC, THPH8

Gene Symbol

F9

Additional Coagulation Factor IX Products

Product Documents for Factor IX Antibody - BSA Free

Certificate of Analysis

To download a Certificate of Analysis, please enter a lot number in the search box below.

Product Specific Notices for Factor IX Antibody - BSA Free

This product is for research use only and is not approved for use in humans or in clinical diagnosis. Primary Antibodies are guaranteed for 1 year from date of receipt.

Loading...
Loading...
Loading...
Loading...