EphA3 Antibody - BSA Free
Novus Biologicals, part of Bio-Techne | Catalog # NBP2-16346
Key Product Details
Species Reactivity
Validated:
Human, Mouse
Predicted:
Bovine (97%), Chicken (92%), Porcine (97%), Rat (96%). Backed by our 100% Guarantee.
Applications
Immunohistochemistry, Immunohistochemistry-Paraffin, Western Blot
Label
Unconjugated
Antibody Source
Polyclonal Rabbit IgG
Format
BSA Free
Concentration
Concentrations vary lot to lot. See vial label for concentration. If unlisted please contact technical services.
Product Specifications
Immunogen
Recombinant protein encompassing a sequence within the center region of human EphA3. The exact sequence is proprietary.
Localization
Isoform 1: Cell membrane; Single-pass type I membrane protein; Isoform 2: Secreted
Clonality
Polyclonal
Host
Rabbit
Isotype
IgG
Theoretical MW
110 kDa.
Disclaimer note: The observed molecular weight of the protein may vary from the listed predicted molecular weight due to post translational modifications, post translation cleavages, relative charges, and other experimental factors.
Disclaimer note: The observed molecular weight of the protein may vary from the listed predicted molecular weight due to post translational modifications, post translation cleavages, relative charges, and other experimental factors.
Description
Novus Biologicals Rabbit EphA3 Antibody - BSA Free (NBP2-16346) is a polyclonal antibody validated for use in IHC and WB. All Novus Biologicals antibodies are covered by our 100% guarantee.
Scientific Data Images for EphA3 Antibody - BSA Free
Western Blot: EphA3 Antibody [NBP2-16346]
Western Blot: EphA3 Antibody [NBP2-16346] - Whole cell extract (30 ug) was separated by 7.5% SDS-PAGE, and the membrane was blotted with EphA3 antibody [N1N3] diluted at 1:1500. The HRP-conjugated anti-rabbit IgG antibody (NBP2-19301) was used to detect the primary antibody, and the signal was developed with Trident ECL plus-Enhanced.Immunohistochemistry-Paraffin: EphA3 Antibody [NBP2-16346]
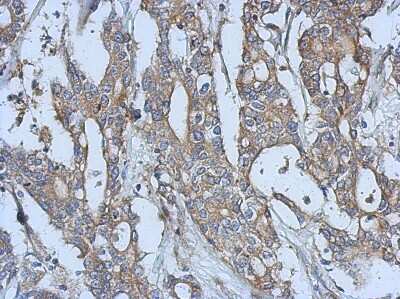
Immunohistochemistry-Paraffin: EphA3 Antibody [NBP2-16346] - Human gastric cancer, using Eph Receptor A3 antibody at 1:500 dilution. Antigen Retrieval: Trilogy™ (EDTA based, pH 8.0) buffer, 15minWestern Blot: EphA3 Antibody [NBP2-16346]
Western Blot: EphA3 Antibody [NBP2-16346] - Mouse tissue extract (50 ug) were separated by 7.5% SDS-PAGE, and the membrane was blotted with EphA3 antibody [N1N3] diluted at 1:1500. The HRP-conjugated anti-rabbit IgG antibody (NBP2-19301) was used to detect the primary antibody.Applications for EphA3 Antibody - BSA Free
Application
Recommended Usage
Immunohistochemistry
1:100-1:1000
Immunohistochemistry-Paraffin
1:100-1:1000
Western Blot
1:500-1:3000
Formulation, Preparation, and Storage
Purification
Antigen Affinity-purified
Formulation
PBS
Format
BSA Free
Preservative
No Preservative
Concentration
Concentrations vary lot to lot. See vial label for concentration. If unlisted please contact technical services.
Shipping
The product is shipped with polar packs. Upon receipt, store it immediately at the temperature recommended below.
Stability & Storage
Aliquot and store at -20C or -80C. Avoid freeze-thaw cycles.
Background: EphA3
Long Name
Eph Receptor A3
Alternate Names
Cek4, Hek4, Tyro4
Gene Symbol
EPHA3
UniProt
Additional EphA3 Products
Product Documents for EphA3 Antibody - BSA Free
Product Specific Notices for EphA3 Antibody - BSA Free
This product is for research use only and is not approved for use in humans or in clinical diagnosis. Primary Antibodies are guaranteed for 1 year from date of receipt.
Loading...
Loading...
Loading...
Loading...
Loading...
⚠ WARNING: This product can expose you to chemicals including mercury, which is known to the State of California to cause reproductive toxicity with developmental effects. For more information go to www.P65Warnings.ca.gov.