Skip to main content

DNAJC15 Antibody - BSA Free

Novus Biologicals, part of Bio-Techne | Catalog # NBP3-47986

Novus Biologicals, part of Bio-Techne
Catalog #
Availability
Size / Price
Qty
Loading...
NBP3-47986

Key Product Details

Species Reactivity

Human, Mouse, Rat

Applications

ELISA, Immunohistochemistry, Western Blot

Label

Unconjugated

Antibody Source

Polyclonal Rabbit IgG

Format

BSA Free

Concentration

Please see the vial label for concentration. If unlisted please contact technical services.

Product Specifications

Immunogen

DnaJ(Hsp40) homolog, subfamily C, member 15. (Uniprot# Q9Y5T4)

Clonality

Polyclonal

Host

Rabbit

Isotype

IgG

Description

Novus Biologicals Rabbit DNAJC15 Antibody - BSA Free (NBP3-47986) is a polyclonal antibody validated for use in IHC, WB and ELISA. All Novus Biologicals antibodies are covered by our 100% guarantee.

Scientific Data Images for DNAJC15 Antibody - BSA Free

DNAJC15 Antibody - BSA Free

Western Blot: DNAJC15 Antibody - BSA Free [NBP3-47986] -

Western Blot: DNAJC15 Antibody - BSA Free [NBP3-47986] - Mouse liver tissue were subjected to SDS PAGE followed by western blot with (DNAJC15 antibody) at dilution of 1:1000
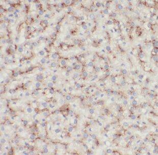
DNAJC15 Antibody - BSA Free

Immunohistochemistry: DNAJC15 Antibody - BSA Free [NBP3-47986] -

Immunohistochemistry: DNAJC15 Antibody - BSA Free [NBP3-47986] - Immunohistochemistry of paraffin-embedded human liver using (DNAJC15 antibody) at dilution of 1:100

Applications for DNAJC15 Antibody - BSA Free

Application
Recommended Usage

Immunohistochemistry

1:20-1:200

Western Blot

1:500-1:2000
Application Notes
Theoretical Molecular Weight is 18-20 kDa

Formulation, Preparation, and Storage

Purification

Immunogen affinity purified

Formulation

PBS, 50% Glycerol, pH (7.3)

Format

BSA Free

Preservative

0.02% Sodium Azide

Concentration

Please see the vial label for concentration. If unlisted please contact technical services.

Shipping

The product is shipped with polar packs. Upon receipt, store it immediately at the temperature recommended below.

Stability & Storage

Store at -20C. Avoid freeze-thaw cycles.

Background: DNAJC15

DNAJD1( AAH10910, 1 a.a. - 151 a.a.) full-length recombinant protein with GST.

Alternate Names

Cell growth-inhibiting gene 22 protein, DnaJ (Hsp40) homolog, subfamily C, member 15, DnaJ (Hsp40) homolog, subfamily D, member 1, DNAJ domain-containing, dnaJ homolog subfamily C member 15, DNAJD1, MCJHSD18, Methylation-controlled J protein

Gene Symbol

DNAJC15

Additional DNAJC15 Products

Product Documents for DNAJC15 Antibody - BSA Free

Certificate of Analysis

To download a Certificate of Analysis, please enter a lot number in the search box below.

Product Specific Notices for DNAJC15 Antibody - BSA Free

This product is for research use only and is not approved for use in humans or in clinical diagnosis. Primary Antibodies are guaranteed for 1 year from date of receipt.

Loading...
Loading...
Loading...
Loading...