Skip to main content

DIO1 Antibody - BSA Free

Novus Biologicals, part of Bio-Techne | Catalog # NBP3-48010

Novus Biologicals, part of Bio-Techne
Catalog #
Availability
Size / Price
Qty
Loading...
NBP3-48010

Key Product Details

Species Reactivity

Human, Mouse, Rat

Applications

ELISA, Immunohistochemistry, Western Blot

Label

Unconjugated

Antibody Source

Polyclonal Rabbit IgG

Format

BSA Free

Concentration

Please see the vial label for concentration. If unlisted please contact technical services.

Product Specifications

Immunogen

deiodinase, iodothyronine, type I. (Uniprot# P49895)

Clonality

Polyclonal

Host

Rabbit

Isotype

IgG

Description

Novus Biologicals Rabbit DIO1 Antibody - BSA Free (NBP3-48010) is a polyclonal antibody validated for use in IHC, WB and ELISA. All Novus Biologicals antibodies are covered by our 100% guarantee.

Scientific Data Images for DIO1 Antibody - BSA Free

DIO1 Antibody - BSA Free

Western Blot: DIO1 Antibody - BSA Free [NBP3-48010] -

Western Blot: DIO1 Antibody - BSA Free [NBP3-48010] - A549 cells were subjected to SDS PAGE followed by western blot with (DIO1 antibody) at dilution of 1:1000
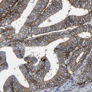
DIO1 Antibody - BSA Free

Immunohistochemistry: DIO1 Antibody - BSA Free [NBP3-48010] -

Immunohistochemistry: DIO1 Antibody - BSA Free [NBP3-48010] - Immunohistochemistry of paraffin-embedded human ovary tumor using (DIO1 antibody) at dilution of 1:50

Applications for DIO1 Antibody - BSA Free

Application
Recommended Usage

Immunohistochemistry

1:50-1:200

Western Blot

1:500-1:2000
Application Notes
Theoretical Molecular Weight is 13 kDa, 29 kDa

Formulation, Preparation, and Storage

Purification

Immunogen affinity purified

Formulation

PBS, 50% Glycerol, pH (7.3)

Format

BSA Free

Preservative

0.02% Sodium Azide

Concentration

Please see the vial label for concentration. If unlisted please contact technical services.

Shipping

The product is shipped with polar packs. Upon receipt, store it immediately at the temperature recommended below.

Stability & Storage

Store at -20C. Avoid freeze-thaw cycles.

Background: DIO1

Dio-1 (Death Inducer-Obliterator-1) is a putative transcription factor that contains two zinc finger motifs. Dio-1 translocates to the nucleus, and activates apoptosis during limb development. Programmed cell death, a highly regulated form of apoptosis, plays an important role in determining the amount of tissue, the shape, and the definition of each digit during limb development. Dio-1 expression is upregulated when an apoptotic signal is detected, and subsequently apoptosis is induced. This process is similar to the expression of NFkappaB and NGF in response to external signals. Dio-1 expression is suppressed by caspase inhibitors and Bcl-2 expression. This supports the theory that Dio-1 functions in the onset of programmed cell death.

Alternate Names

5DI, deiodinase, iodothyronine, type I, DIOI, EC 1.97.1, EC 1.97.1.10, ITDI1, MGC130050, thyroxine deiodinase type I (selenoprotein), TXDI1MGC130051, Type 1 DI, type I iodothyronine deiodinase, Type-I 5'-deiodinase

Gene Symbol

DIO1

Additional DIO1 Products

Product Documents for DIO1 Antibody - BSA Free

Certificate of Analysis

To download a Certificate of Analysis, please enter a lot number in the search box below.

Product Specific Notices for DIO1 Antibody - BSA Free

This product is for research use only and is not approved for use in humans or in clinical diagnosis. Primary Antibodies are guaranteed for 1 year from date of receipt.

Loading...
Loading...
Loading...
Loading...