Dicer Antibody (HL1232) - Azide and BSA Free
Novus Biologicals, part of Bio-Techne | Catalog # NBP3-25439
Recombinant Monoclonal Antibody
Key Product Details
Validated by
Knockout/Knockdown
Species Reactivity
Validated:
Human, Mouse, Rat, Canine, Feline
Predicted:
Bovine (99%), Chicken (96%), Porcine (99%), Rhesus Macaque (100%), Xenopus (92%), Zebrafish (93%). Backed by our 100% Guarantee.
Applications
Immunocytochemistry/ Immunofluorescence, Immunohistochemistry, Immunohistochemistry-Paraffin, Western Blot
Label
Unconjugated
Antibody Source
Recombinant Monoclonal Rabbit IgG Clone # HL1232 expressed in HEK293
Format
Azide and BSA Free
Concentration
Concentrations vary lot to lot. See vial label for concentration. If unlisted please contact technical services.
Product Specifications
Immunogen
Recombinant protein encompassing a sequence within the center region of human Dicer. The exact sequence is proprietary.
Clonality
Monoclonal
Host
Rabbit
Isotype
IgG
Description
Novus Biologicals Rabbit Dicer Antibody (HL1232) - Azide and BSA Free (NBP3-25439) is a recombinant monoclonal antibody validated for use in IHC, WB and ICC/IF. All Novus Biologicals antibodies are covered by our 100% guarantee.
Scientific Data Images for Dicer Antibody (HL1232) - Azide and BSA Free
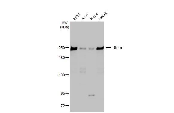
Western Blot: Dicer Antibody (HL1232) - Azide and BSA Free [NBP3-25439] -
Western Blot: Dicer Antibody (HL1232) - Azide and BSA Free [NBP3-25439] - Non-transfected (-) and transfected (+) MCF-7 whole cell extracts (30 ug) were separated by 5% SDS-PAGE, and the membrane was blotted with Dicer antibody [HL1232] (NBP3-25439) diluted at 1:1000. The HRP-conjugated anti-rabbit IgG antibody was used to detect the primary antibody.Western Blot: Dicer Antibody (HL1232) - Azide and BSA Free [NBP3-25439] -
Western Blot: Dicer Antibody (HL1232) - Azide and BSA Free [NBP3-25439] - Various whole cell extracts (30 ug) were separated by 5% SDS-PAGE, and the membrane was blotted with Dicer antibody [HL1232] (NBP3-25439) diluted at 1:1000. The HRP-conjugated anti-rabbit IgG antibody was used to detect the primary antibody.Western Blot: Dicer Antibody (HL1232) - Azide and BSA Free [NBP3-25439] -
Western Blot: Dicer Antibody (HL1232) - Azide and BSA Free [NBP3-25439] - Various whole cell extracts (30 ug) were separated by 5% SDS-PAGE, and the membrane was blotted with Dicer antibody [HL1232] (NBP3-25439) diluted at 1:1000. The HRP-conjugated anti-rabbit IgG antibody was used to detect the primary antibody.Applications for Dicer Antibody (HL1232) - Azide and BSA Free
Application
Recommended Usage
Western Blot
1:500-1:3000
Formulation, Preparation, and Storage
Purification
Protein A purified
Formulation
PBS
Format
Azide and BSA Free
Preservative
No Preservative
Concentration
Concentrations vary lot to lot. See vial label for concentration. If unlisted please contact technical services.
Shipping
The product is shipped with polar packs. Upon receipt, store it immediately at the temperature recommended below.
Stability & Storage
Store at 4C short term. Aliquot and store at -20C long term. Avoid freeze-thaw cycles.
Background: Dicer
Alternate Names
DCR1, DICER, dicer 1, double-stranded RNA-specific endoribonuclease, dicer 1, ribonuclease type III, Dicer1, Dcr-1 homolog (Drosophila), EC 3.1.26, EC 3.1.26.-, EC 3.1.26.3, Helicase MOI, Helicase with RNase motif, helicase-moi, HERNADicer1, Dcr-1 homolog, K12H4.8-LIKE, KIAA0928endoribonuclease Dicer
Gene Symbol
DICER1
Additional Dicer Products
Product Documents for Dicer Antibody (HL1232) - Azide and BSA Free
Product Specific Notices for Dicer Antibody (HL1232) - Azide and BSA Free
This product is for research use only and is not approved for use in humans or in clinical diagnosis. Primary Antibodies are guaranteed for 1 year from date of receipt.
Loading...
Loading...
Loading...
Loading...