Skip to main content

Cytosolic beta-Glucosidase/GBA3 Antibody (OTI1F1)

Novus Biologicals, part of Bio-Techne | Catalog # NBP2-00521

Novus Biologicals, part of Bio-Techne
Catalog #
Availability
Size / Price
Qty
Loading...
NBP2-00521

Key Product Details

Species Reactivity

Human

Applications

Flow Cytometry, Immunohistochemistry, Immunohistochemistry-Paraffin, Western Blot

Label

Unconjugated

Antibody Source

Monoclonal Mouse IgG2A Clone # OTI1F1

Concentration

1.2 mg/ml

Product Specifications

Immunogen

Human recombinant protein fragment corresponding to amino acids 1-150 and 370-469 of human GBA3 (NP_066024) produced in E.coli.

Clonality

Monoclonal

Host

Mouse

Isotype

IgG2A

Theoretical MW

53.5 kDa.
Disclaimer note: The observed molecular weight of the protein may vary from the listed predicted molecular weight due to post translational modifications, post translation cleavages, relative charges, and other experimental factors.

Description

Novus Biologicals Mouse Cytosolic beta-Glucosidase/GBA3 Antibody (OTI1F1) (NBP2-00521) is a monoclonal antibody validated for use in IHC, WB and Flow. All Novus Biologicals antibodies are covered by our 100% guarantee.

Scientific Data Images for Cytosolic beta-Glucosidase/GBA3 Antibody (OTI1F1)

Western Blot: GBA3 Antibody (1F1) [NBP2-00521] Analysis of extracts (35ug) from 9 different cell lines by using anti-GBA3 monoclonal antibody.
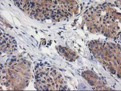
Immunohistochemistry: Cytosolic beta-Glucosidase/GBA3 Antibody (OTI1F1) [NBP2-00521]

Immunohistochemistry: Cytosolic beta-Glucosidase/GBA3 Antibody (OTI1F1) [NBP2-00521]

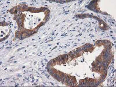
Immunohistochemistry: Cytosolic beta-Glucosidase/GBA3 Antibody (1F1) [NBP2-00521] - GBA3 Antibody (1F1) [NBP2-00521] - Staining of paraffin-embedded Human prostate tissue using anti-GBA3 mouse monoclonal antibody.
Flow Cytometry: Cytosolic beta-Glucosidase/GBA3 Antibody (OTI1F1) [NBP2-00521]

Flow Cytometry: Cytosolic beta-Glucosidase/GBA3 Antibody (OTI1F1) [NBP2-00521]

Flow Cytometry: GBA3 Antibody (1F1) [NBP2-00521] - HEK293T cells transfected with either overexpression plasmid (Red) or empty vector control plasmid (Blue) were immunostained by anti-GBA3 antibody, and then analyzed by flow cytometry.

Applications for Cytosolic beta-Glucosidase/GBA3 Antibody (OTI1F1)

Application
Recommended Usage

Flow Cytometry

1:100

Immunohistochemistry

1:150

Immunohistochemistry-Paraffin

1:150

Western Blot

1:500-2000

Formulation, Preparation, and Storage

Purification

Immunogen affinity purified

Formulation

PBS (pH 7.3), 1.0% BSA and 50% Glycerol

Preservative

0.02% Sodium Azide

Concentration

1.2 mg/ml

Shipping

The product is shipped with polar packs. Upon receipt, store it immediately at the temperature recommended below.

Stability & Storage

Store at -20C. Avoid freeze-thaw cycles.

Background: Cytosolic beta-Glucosidase/GBA3

GBA3, or cytosolic beta-glucosidase (EC 3.2.1.21), is a predominantly liver enzyme that efficiently hydrolyzes beta-D-glucoside and beta-D-galactoside, but not any known physiologic beta-glycoside, suggesting that it may be involved in detoxification of plant glycosides (de Graaf et al., 2001 [PubMed 11389701]). GBA3 also has significant neutral glycosylceramidase activity (EC 3.2.1.62), suggesting that it may be involved in a nonlysosomal catabolic pathway of glucosylceramide metabolism (Hayashi et al., 2007 [PubMed 17595169]).[supplied by OMIM].

Alternate Names

CBGL1, Cytosolic betaGlucosidase, GBA3, GLUC, KLrP

Entrez Gene IDs

57733 (Human)

Gene Symbol

GBA3

Additional Cytosolic beta-Glucosidase/GBA3 Products

Product Documents for Cytosolic beta-Glucosidase/GBA3 Antibody (OTI1F1)

Certificate of Analysis

To download a Certificate of Analysis, please enter a lot number in the search box below.

Product Specific Notices for Cytosolic beta-Glucosidase/GBA3 Antibody (OTI1F1)

This product is for research use only and is not approved for use in humans or in clinical diagnosis. Primary Antibodies are guaranteed for 1 year from date of receipt.

Loading...
Loading...
Loading...
Loading...
Loading...