Skip to main content

Cytokeratin 18 Antibody (SZ80-07)

Novus Biologicals, part of Bio-Techne | Catalog # NBP2-67370

Recombinant Monoclonal Antibody.
Novus Biologicals, part of Bio-Techne
Catalog #
Availability
Size / Price
Qty
Loading...
NBP2-67370

Key Product Details

Species Reactivity

Validated:

Human, Mouse, Rat

Cited:

Human, Mouse

Applications

Validated:

Multiplex Immunofluorescence, Immunohistochemistry, Immunohistochemistry-Paraffin, Western Blot, Flow Cytometry, Immunocytochemistry/ Immunofluorescence

Cited:

Immunohistochemistry-Paraffin, Immunocytochemistry/ Immunofluorescence, Knockdown Validated

Label

Unconjugated

Antibody Source

Recombinant Monoclonal Rabbit IgG Clone # SZ80-07 expressed in HEK293

Concentration

1 mg/ml

Product Specifications

Immunogen

Recombinant protein within mouse Cytokeratin 18 aa 200-423. (SwissProt: P05783 Human; SwissProt: P05784 Mouse; SwissProt: Q5BJY9 Rat)

Localization

Cytoplasm, Nucleus.

Clonality

Monoclonal

Host

Rabbit

Isotype

IgG

Description

Novus Biologicals Rabbit Cytokeratin 18 Antibody (SZ80-07) (NBP2-67370) is a recombinant monoclonal antibody validated for use in IHC, WB, Flow and ICC/IF. Anti-Cytokeratin 18 Antibody: Cited in 2 publications. All Novus Biologicals antibodies are covered by our 100% guarantee.

Scientific Data Images for Cytokeratin 18 Antibody (SZ80-07)

Western Blot: Cytokeratin 18 Antibody (SZ80-07) [NBP2-67370]

Western Blot: Cytokeratin 18 Antibody (SZ80-07) [NBP2-67370]

Western Blot: Cytokeratin 18 Antibody (SZ80-07) [NBP2-67370] - Western blot analysis of Cytokeratin 18 on different lysates. Proteins were transferred to a PVDF membrane and blocked with 5% BSA in PBS for 1 hour at room temperature. The primary antibody (1/500) was used in 5% BSA at room temperature for 2 hours. Goat
Immunocytochemistry/ Immunofluorescence: Cytokeratin 18 Antibody (SZ80-07) [NBP2-67370]

Immunocytochemistry/ Immunofluorescence: Cytokeratin 18 Antibody (SZ80-07) [NBP2-67370]

Immunocytochemistry/Immunofluorescence: Cytokeratin 18 Antibody (SZ80-07) [NBP2-67370] - Staining Cytokeratin 18 in HepG2 cells (green). The nuclear counter stain is DAPI (blue). Cells were fixed in paraformaldehyde, permeabilised with 0.25% Triton X100/PBS.
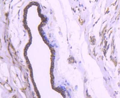
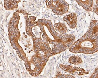
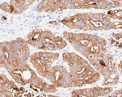
Immunohistochemistry-Paraffin: Cytokeratin 18 Antibody (SZ80-07) [NBP2-67370]

Immunohistochemistry-Paraffin: Cytokeratin 18 Antibody (SZ80-07) [NBP2-67370]

Immunohistochemistry-Paraffin: Cytokeratin 18 Antibody (SZ80-07) [NBP2-67370] - Analysis of paraffin-embedded human liver tissue with Rabbit anti-Cytokeratin 18 antibody washed with ddH2O and PBS, and then probed with the primary antibody (1/200) for 30 minutes at room temperature. The detection was performed using an HRP conjugated compact polymer system. DAB was used as the chromogen. Tissues were counterstained with hematoxylin and mounted with DPX.

Applications for Cytokeratin 18 Antibody (SZ80-07)

Application
Recommended Usage

Flow Cytometry

1:50-1:100

Immunocytochemistry/ Immunofluorescence

1:100-1:500

Immunohistochemistry-Paraffin

1:50-1:200

Western Blot

1:500-1:2000

Formulation, Preparation, and Storage

Purification

Protein A purified

Formulation

TBS (pH7.4), 0.05% BSA, 40% Glycerol

Preservative

0.05% Sodium Azide

Concentration

1 mg/ml

Shipping

The product is shipped with polar packs. Upon receipt, store it immediately at the temperature recommended below.

Stability & Storage

Store at 4C short term. Aliquot and store at -20C long term. Avoid freeze-thaw cycles.

Background: Cytokeratin 18

Cytokeratins are cytoskeletal intermediate filament proteins that are classified as type I (acidic) and type II (neutral to basic) and associate into heterotetramers.

Alternate Names

CK-18, CYK18, Keratin 18, KRT18

Gene Symbol

KRT18

Additional Cytokeratin 18 Products

Product Documents for Cytokeratin 18 Antibody (SZ80-07)

Certificate of Analysis

To download a Certificate of Analysis, please enter a lot number in the search box below.

Product Specific Notices for Cytokeratin 18 Antibody (SZ80-07)

This product is for research use only and is not approved for use in humans or in clinical diagnosis. Primary Antibodies are guaranteed for 1 year from date of receipt.

Loading...
Loading...
Loading...
Loading...
Loading...