Skip to main content

Cytochrome P450 2A6 Antibody - BSA Free

Novus Biologicals, part of Bio-Techne | Catalog # NBP3-48066

Novus Biologicals, part of Bio-Techne
Catalog #
Availability
Size / Price
Qty
Loading...
NBP3-48066

Key Product Details

Species Reactivity

Human, Mouse, Rat

Applications

ELISA, Immunohistochemistry, Western Blot

Label

Unconjugated

Antibody Source

Polyclonal Rabbit IgG

Format

BSA Free

Concentration

Please see the vial label for concentration. If unlisted please contact technical services.

Product Specifications

Immunogen

cytochrome P450, family 2, subfamily A, polypeptide 6. (Uniprot# P11509)

Clonality

Polyclonal

Host

Rabbit

Isotype

IgG

Theoretical MW

50 kDa.
Disclaimer note: The observed molecular weight of the protein may vary from the listed predicted molecular weight due to post translational modifications, post translation cleavages, relative charges, and other experimental factors.

Description

Novus Biologicals Rabbit Cytochrome P450 2A6 Antibody - BSA Free (NBP3-48066) is a polyclonal antibody validated for use in IHC, WB and ELISA. All Novus Biologicals antibodies are covered by our 100% guarantee.

Scientific Data Images for Cytochrome P450 2A6 Antibody - BSA Free

Cytochrome P450 2A6 Antibody - BSA Free

Western Blot: Cytochrome P450 2A6 Antibody - BSA Free [NBP3-48066] -

Western Blot: Cytochrome P450 2A6 Antibody - BSA Free [NBP3-48066] - HepG2 cells were subjected to SDS PAGE followed by western blot with (Cytochrome P450 2A6 antibody) at dilution of 1:1000
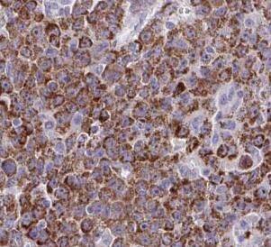
Cytochrome P450 2A6 Antibody - BSA Free

Immunohistochemistry: Cytochrome P450 2A6 Antibody - BSA Free [NBP3-48066] -

Immunohistochemistry: Cytochrome P450 2A6 Antibody - BSA Free [NBP3-48066] - Immunohistochemistry of paraffin-embedded human liver tissue slide using (Cytochrome P450 2A6 Antibody) at dilution of 1:200

Applications for Cytochrome P450 2A6 Antibody - BSA Free

Application
Recommended Usage

Immunohistochemistry

1:50-1:500

Western Blot

1:500-1:2000

Formulation, Preparation, and Storage

Purification

Immunogen affinity purified

Formulation

PBS, 50% Glycerol, pH (7.3)

Format

BSA Free

Preservative

0.02% Sodium Azide

Concentration

Please see the vial label for concentration. If unlisted please contact technical services.

Shipping

The product is shipped with polar packs. Upon receipt, store it immediately at the temperature recommended below.

Stability & Storage

Store at -20C. Avoid freeze-thaw cycles.

Background: Cytochrome P450 2A6

Alternate Names

Coumarin 7-hydroxylase, CPA6, CYP2A3P450C2A, CYP2AEC 1.14.14.1, CYPIIA6, cytochrome P450 2A6, Cytochrome P450 IIA3, Cytochrome P450(I), cytochrome P450, family 2, subfamily A, polypeptide 6, cytochrome P450, subfamily IIA (phenobarbital-inducible), polypeptide 6, flavoprotein-linked monooxygenase, P450PB, xenobiotic monooxygenase

Gene Symbol

CYP2A6

Additional Cytochrome P450 2A6 Products

Product Documents for Cytochrome P450 2A6 Antibody - BSA Free

Certificate of Analysis

To download a Certificate of Analysis, please enter a lot number in the search box below.

Product Specific Notices for Cytochrome P450 2A6 Antibody - BSA Free

This product is for research use only and is not approved for use in humans or in clinical diagnosis. Primary Antibodies are guaranteed for 1 year from date of receipt.

Loading...
Loading...
Loading...
Loading...