Skip to main content

Cyclin B1 Antibody (1C8) - Azide and BSA Free

Novus Biologicals, part of Bio-Techne | Catalog # H00000891-M01

Novus Biologicals, part of Bio-Techne
Catalog #
Availability
Size / Price
Qty
Loading...
H00000891-M01

Key Product Details

Species Reactivity

Human

Applications

Immunohistochemistry, Immunohistochemistry-Paraffin, Western Blot, ELISA

Label

Unconjugated

Antibody Source

Monoclonal Mouse IgG2a Kappa Clone # 1C8

Format

Azide and BSA Free

Concentration

Concentrations vary lot to lot. See vial label for concentration. If unlisted please contact technical services.

Product Specifications

Immunogen

CCNB1 (NP_114172, 1 a.a. ~ 90 a.a) partial recombinant protein with GST tag. MW of the GST tag alone is 26 KDa. MALRVTRNSKINAENKAKINMAGAKRVPTAPAATSKPGLRPRTALGDIGNKVSEQLQAKMPMKKEAKPSATGKVIDKKLPKPLEKVPMLV

Specificity

CCNB1 - cyclin B1

Marker

Mitosis Marker

Clonality

Monoclonal

Host

Mouse

Isotype

IgG2a Kappa

Description

Quality control test: Antibody Reactive Against Recombinant Protein.

Scientific Data Images for Cyclin B1 Antibody (1C8) - Azide and BSA Free

Western Blot: Cyclin B1 Antibody (1C8) [H00000891-M01]

Western Blot: Cyclin B1 Antibody (1C8) [H00000891-M01]

Western Blot: Cyclin B1 Antibody (1C8) [H00000891-M01] - CCNB1 monoclonal antibody (M01), clone 1C8 Analysis of CCNB1 expression in JAR.
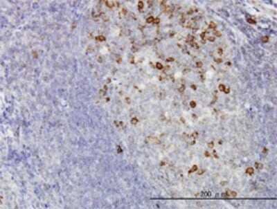
Immunohistochemistry-Paraffin: Cyclin B1 Antibody (1C8) [H00000891-M01]

Immunohistochemistry-Paraffin: Cyclin B1 Antibody (1C8) [H00000891-M01]

Immunohistochemistry-Paraffin: Cyclin B1 Antibody (1C8) [H00000891-M01] - Analysis of monoclonal antibody to Cyclin B1 on formalin-fixed paraffin-embedded human tonsil. Antigen retrieval was done enzymatically. Primary antibody dilution was 1:100. Image from verified customer review.
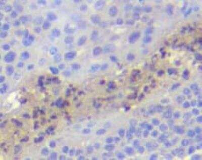
Immunohistochemistry-Paraffin: Cyclin B1 Antibody (1C8) [H00000891-M01]

Immunohistochemistry-Paraffin: Cyclin B1 Antibody (1C8) [H00000891-M01]

Immunohistochemistry-Paraffin: Cyclin B1 Antibody (1C8) [H00000891-M01] - Analysis of monoclonal antibody to CCNB1 on formalin-fixed paraffin-embedded human tonsil. Antibody concentration 5 ug/ml.

Applications for Cyclin B1 Antibody (1C8) - Azide and BSA Free

Application
Recommended Usage

Western Blot

1:500
Application Notes
Antibody reactivity against cell lysate and recombinant protein for WB.

Reviewed Applications

Read 1 review rated 5 using H00000891-M01 in the following applications:

Formulation, Preparation, and Storage

Purification

IgG purified

Formulation

In 1x PBS, pH 7.4

Format

Azide and BSA Free

Preservative

No Preservative

Concentration

Concentrations vary lot to lot. See vial label for concentration. If unlisted please contact technical services.

Shipping

The product is shipped with polar packs. Upon receipt, store it immediately at the temperature recommended below.

Stability & Storage

Aliquot and store at -20C or -80C. Avoid freeze-thaw cycles.

Background: Cyclin B1

The protein encoded by this gene is a regulatory protein involved in mitosis. The gene product complexes with p34(cdc2) to form the maturation-promoting factor (MPF). Two alternative transcripts have been found, a constitutively expressed transcript and a cell cycle-regulated transcript, that is expressed predominantly during G2/M phase. The different transcripts result from the use of alternate transcription initiation sites.

Alternate Names

CCNB1

Entrez Gene IDs

891 (Human)

Gene Symbol

CCNB1

OMIM

123836 (Human)

Additional Cyclin B1 Products

Product Documents for Cyclin B1 Antibody (1C8) - Azide and BSA Free

Certificate of Analysis

To download a Certificate of Analysis, please enter a lot number in the search box below.

Product Specific Notices for Cyclin B1 Antibody (1C8) - Azide and BSA Free

This product is produced by and distributed for Abnova, a company based in Taiwan.

This product is for research use only and is not approved for use in humans or in clinical diagnosis. Primary Antibodies are guaranteed for 1 year from date of receipt.

Loading...
Loading...
Loading...
Loading...