Skip to main content

CTCF Antibody (CL0307) - Azide and BSA Free

Novus Biologicals, part of Bio-Techne | Catalog # NBP3-44027

Novus Biologicals, part of Bio-Techne

Key Product Details

Species Reactivity

Human

Applications

Immunohistochemistry-Paraffin, Western Blot, Immunocytochemistry/ Immunofluorescence

Label

Unconjugated

Antibody Source

Monoclonal Mouse IgG2B Clone # CL0307

Format

Azide and BSA Free

Concentration

LYOPH mg/ml

Product Specifications

Immunogen

This antibody was generated using a recombinant protein sequence of P49711, with the exact immunogen sequence remaining proprietary.

Clonality

Monoclonal

Host

Mouse

Isotype

IgG2B

Description

Novus Biologicals Mouse CTCF Antibody (CL0307) - Azide and BSA Free (NBP2-52911) is a monoclonal antibody validated for use in IHC, WB and ICC/IF. All Novus Biologicals antibodies are covered by our 100% guarantee.

Scientific Data Images for CTCF Antibody (CL0307) - Azide and BSA Free

CTCF Antibody (CL0307) - Azide and BSA Free Western Blot: CTCF Antibody [NBP3-44027]

Western Blot: CTCF Antibody [NBP3-44027]

Lane 1: Marker [kDa]
Lane 2: Human cell line U-251 MG
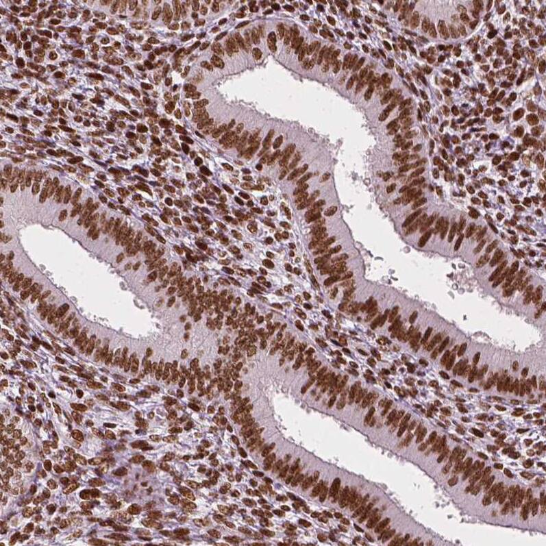
CTCF Antibody (CL0307) - Azide and BSA Free Immunohistochemistry-Paraffin: CTCF Antibody [NBP3-44027]

Immunohistochemistry-Paraffin: CTCF Antibody [NBP3-44027]

Staining of human endometrium shows strong nuclear positivity in glandular and stromal cells.
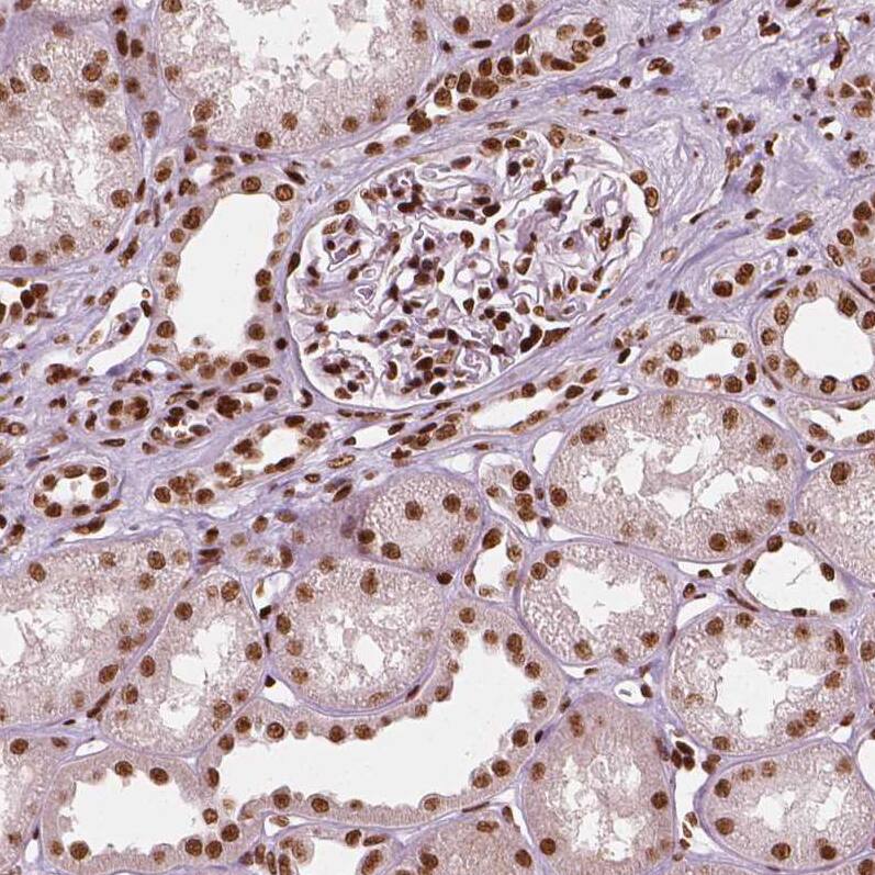
CTCF Antibody (CL0307) - Azide and BSA Free Immunohistochemistry-Paraffin: CTCF Antibody [NBP3-44027]

Immunohistochemistry-Paraffin: CTCF Antibody [NBP3-44027]

Staining of human kidney shows strong nuclear positivity in cells in glomeruli and tubuli.

Applications for CTCF Antibody (CL0307) - Azide and BSA Free

Application
Recommended Usage

Immunocytochemistry/ Immunofluorescence

2-10 ug/ml

Immunohistochemistry-Paraffin

1:200 - 1:500

Western Blot

1 ug/ml
Application Notes
For IHC-Paraffin, HIER pH 6 retrieval is recommended. For Immunocytochemistry/ Immunofluorescence/IF, PFA/Triton X-100 is recommended for fixation/permeabilization.

Formulation, Preparation, and Storage

Purification

Protein A purified

Reconstitution

Centrifuge the vial of lyophilized antibody at 12,000 x g for 20 seconds. Reconstitute by adding sterile, distilled water to achieve a final antibody concentration of 1mg/ml.

Formulation

Lyophilized from a 0.2 um filtered solution in PBS with Trehalose

Format

Azide and BSA Free

Preservative

No Preservative

Concentration

LYOPH mg/ml

Shipping

The product is shipped at ambient temperature. Upon receipt, store it immediately at the temperature recommended below.

Stability & Storage

Store at 4C short term. Aliquot and store at -20C long term. Avoid freeze-thaw cycles.

Background: CTCF

The CTCF gene is a member of the BORIS + CTCF gene family and encodes a transcriptional regulator protein with 11 highly conserved zinc finger (ZF) domains. This nuclear protein is able to use different combinations of the ZF domains to bind different DNA tar

Long Name

CCCTC-binding Factor

Alternate Names

11-Zinc Finger Protein2, CCCTC-binding Factor

Gene Symbol

CTCF

Additional CTCF Products

Product Documents for CTCF Antibody (CL0307) - Azide and BSA Free

Certificate of Analysis

To download a Certificate of Analysis, please enter a lot number in the search box below.

Product Specific Notices for CTCF Antibody (CL0307) - Azide and BSA Free

This product is for research use only and is not approved for use in humans or in clinical diagnosis. Primary Antibodies are guaranteed for 1 year from date of receipt.

Loading...
Loading...
Loading...
Loading...
Loading...