Skip to main content

CD58/LFA-3 Antibody (2D11-B10) - Azide and BSA Free

Novus Biologicals, part of Bio-Techne | Catalog # H00000965-M01

Novus Biologicals, part of Bio-Techne
Catalog #
Availability
Size / Price
Qty
Loading...
H00000965-M01

Key Product Details

Species Reactivity

Human

Applications

Immunohistochemistry, Immunohistochemistry-Paraffin, Western Blot, ELISA, Immunocytochemistry/ Immunofluorescence

Label

Unconjugated

Antibody Source

Monoclonal Mouse IgG2a Kappa Clone # 2D11-B10

Format

Azide and BSA Free

Concentration

Concentrations vary lot to lot. See vial label for concentration. If unlisted please contact technical services.

Product Specifications

Immunogen

CD58 (AAH05930, 1 a.a. ~ 240 a.a) full-length recombinant protein with GST tag. MW of the GST tag alone is 26 KDa. MVAGSDAGRALGVLSVVCLLHCFGFISCFSQQIYGVVYGNVTFHVPSNVPLKEVLWKKQKDKVAELENSEFRAFSSFKNRVYLDTVSGSLTIYNLTSSDEDEYEMESPNITDTMKFFLYVLESLPSPTLTCALTNGSIEVQCMIPEYYNSHRGLIMYSWDCPMEQCKRNSTSIYFKMENDLPQKIQCTLSNPLFNTTSSIILTTCIPSSGHSRHRYALIPIPLAVITTCIVLYMNGMYAF

Localization

Type I membrane protein (isoform 1) and attached to the membrane by a GPI-anchor (isoform 2).

Specificity

CD58 - CD58 antigen, (lymphocyte function-associated antigen 3)

Clonality

Monoclonal

Host

Mouse

Isotype

IgG2a Kappa

Description

Quality control test: Antibody Reactive Against Recombinant Protein.

Scientific Data Images for CD58/LFA-3 Antibody (2D11-B10) - Azide and BSA Free

Western Blot: CD58/LFA-3 Antibody (2D11-B10) [H00000965-M01]

Western Blot: CD58/LFA-3 Antibody (2D11-B10) [H00000965-M01]

Western Blot: CD58/LFA-3 Antibody (2D11-B10) [H00000965-M01] - CD58 monoclonal antibody (M01), clone 2D11-B10 Analysis of CD58 expression in Jurkat.
Immunocytochemistry/ Immunofluorescence: CD58/LFA-3 Antibody (2D11-B10) [H00000965-M01]

Immunocytochemistry/ Immunofluorescence: CD58/LFA-3 Antibody (2D11-B10) [H00000965-M01]

Immunocytochemistry/Immunofluorescence: CD58/LFA-3 Antibody (2D11-B10) [H00000965-M01] - Analysis of monoclonal antibody to CD58 on HeLa cell. Antibody concentration 10 ug/ml.
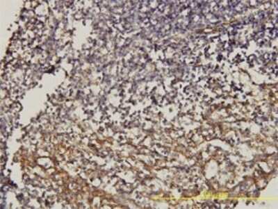
Immunohistochemistry-Paraffin: CD58/LFA-3 Antibody (2D11-B10) [H00000965-M01]

Immunohistochemistry-Paraffin: CD58/LFA-3 Antibody (2D11-B10) [H00000965-M01]

Immunohistochemistry-Paraffin: CD58/LFA-3 Antibody (2D11-B10) [H00000965-M01] - Analysis of monoclonal antibody to CD58 on formalin-fixed paraffin-embedded human tonsil. Antibody concentration 2 ug/ml.

Applications for CD58/LFA-3 Antibody (2D11-B10) - Azide and BSA Free

Application
Recommended Usage

Western Blot

1:500
Application Notes
Antibody reactivity against cell lysate and recombinant protein for WB. It has also been used for IF, IHC-P and ELISA.

Formulation, Preparation, and Storage

Purification

IgG purified

Formulation

In 1x PBS, pH 7.4

Format

Azide and BSA Free

Preservative

No Preservative

Concentration

Concentrations vary lot to lot. See vial label for concentration. If unlisted please contact technical services.

Shipping

The product is shipped with polar packs. Upon receipt, store it immediately at the temperature recommended below.

Stability & Storage

Aliquot and store at -20C or -80C. Avoid freeze-thaw cycles.

Background: CD58/LFA-3

LFA3 is a type 1 transmembrane glycoprotein and a member of the immunoglobulin superfamily of cell surface receptors. It is expressed on most hematopoietic cells and on nonhematopoietic cells such as fibroblasts, endothelial and epithelial cells. Its expression is particularly high on memory T-cells and dendritic cells. LFA3 expression on antigen-presenting cells and target cells enhances T-cells antigen recognition through binding to its ligand, LFA2/CD2, on T-cells.

Alternate Names

CD58, LFA-3, LFA3

Entrez Gene IDs

965 (Human)

Gene Symbol

CD58

OMIM

153420 (Human)

Additional CD58/LFA-3 Products

Product Documents for CD58/LFA-3 Antibody (2D11-B10) - Azide and BSA Free

Certificate of Analysis

To download a Certificate of Analysis, please enter a lot number in the search box below.

Product Specific Notices for CD58/LFA-3 Antibody (2D11-B10) - Azide and BSA Free

This product is produced by and distributed for Abnova, a company based in Taiwan.

This product is for research use only and is not approved for use in humans or in clinical diagnosis. Primary Antibodies are guaranteed for 1 year from date of receipt.

Loading...
Loading...
Loading...
Loading...