Skip to main content

Calretinin Antibody (CL12838) - Azide and BSA Free

Novus Biologicals, part of Bio-Techne | Catalog # NBP3-44168

Novus Biologicals, part of Bio-Techne
Catalog #
Availability
Size / Price
Qty
Loading...
NBP3-44168

Key Product Details

Validated by

Orthogonal Validation

Species Reactivity

Human, Mouse

Applications

Immunohistochemistry-Paraffin

Label

Unconjugated

Antibody Source

Monoclonal Mouse IgG1 Clone # CL12838

Format

Azide and BSA Free

Concentration

LYOPH mg/ml

Product Specifications

Immunogen

This antibody was generated using a recombinant protein sequence of P22676, with the exact immunogen sequence remaining proprietary.

Clonality

Monoclonal

Host

Mouse

Isotype

IgG1

Description

Novus Biologicals Mouse Calretinin Antibody (CL12838) - Azide and BSA Free (NBP3-18561) is a monoclonal antibody validated for use in IHC. All Novus Biologicals antibodies are covered by our 100% guarantee.

Scientific Data Images for Calretinin Antibody (CL12838) - Azide and BSA Free

Calretinin Antibody (CL12838) - Azide and BSA Free Immunohistochemistry-Paraffin: Calretinin Antibody [NBP3-44168]

Immunohistochemistry-Paraffin: Calretinin Antibody [NBP3-44168]

Staining of human cerebellum shows moderate to strong cytoplasmic positivity in cells in granular layer.
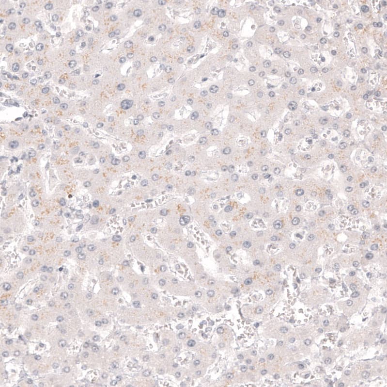
Calretinin Antibody (CL12838) - Azide and BSA Free Immunohistochemistry-Paraffin: Calretinin Antibody [NBP3-44168]

Immunohistochemistry-Paraffin: Calretinin Antibody [NBP3-44168]

Analysis in human cerebral cortex and liver tissues using NBP3-44168 antibody. Corresponding Calretinin RNA-seq data are presented for the same tissues.
Calretinin Antibody (CL12838) - Azide and BSA Free Immunohistochemistry-Paraffin: Calretinin Antibody [NBP3-44168]

Immunohistochemistry-Paraffin: Calretinin Antibody [NBP3-44168]

Staining of human cerebral cortex shows strong cytoplasmic positivity in a subset of neurons.

Applications for Calretinin Antibody (CL12838) - Azide and BSA Free

Application
Recommended Usage

Immunohistochemistry-Paraffin

1:1000 - 1:2500
Application Notes
For use with IHC-Paraffin, HIER pH 6 retrieval is recommended.

Formulation, Preparation, and Storage

Purification

Protein A purified

Reconstitution

Centrifuge the vial of lyophilized antibody at 12,000 x g for 20 seconds. Reconstitute by adding sterile, distilled water to achieve a final antibody concentration of 1mg/ml.

Formulation

Lyophilized from a 0.2 um filtered solution in PBS with Trehalose

Format

Azide and BSA Free

Preservative

No Preservative

Concentration

LYOPH mg/ml

Shipping

The product is shipped at ambient temperature. Upon receipt, store it immediately at the temperature recommended below.

Stability & Storage

Store at 4C short term. Aliquot and store at -20C long term. Avoid freeze-thaw cycles.

Background: Calretinin

Calretinin (CAB29, calbindin 2) is a calcium binding protein that belongs to calbindin family. It is mainly found in neuronal tissue, high expressed in auditory neurons. It has been implicated in as a calcium buffer, calcium sensor, and as a regulator of apoptosis (1). Calretinin is considered as a specific marker of mesothelllal cells; it is the only marker that has the utility in distinguishing between sarcomatoid mesotheliomas and sarcomatoid renal cell carcinomas (2). It is widely used in the panel of makers for distinguishing mesothlioma from adenocarcinoma. Along with calretinin, the panel includes E-cadherin, CEA, and cytokeratin 5/6 (3).

Alternate Names

CAB29, CAL2, CALB2

Gene Symbol

CALB2

Additional Calretinin Products

Product Documents for Calretinin Antibody (CL12838) - Azide and BSA Free

Certificate of Analysis

To download a Certificate of Analysis, please enter a lot number in the search box below.

Product Specific Notices for Calretinin Antibody (CL12838) - Azide and BSA Free

This product is for research use only and is not approved for use in humans or in clinical diagnosis. Primary Antibodies are guaranteed for 1 year from date of receipt.

Loading...
Loading...
Loading...
Loading...
Loading...