Skip to main content

BNIP3 Antibody - BSA Free

Novus Biologicals, part of Bio-Techne | Catalog # NBP1-82566

Novus Biologicals, part of Bio-Techne
Catalog #
Availability
Size / Price
Qty
Loading...
NBP1-82566
NBP1-82566-25ul

Key Product Details

Species Reactivity

Human

Applications

Immunohistochemistry, Immunohistochemistry-Paraffin, Western Blot

Label

Unconjugated

Antibody Source

Polyclonal Rabbit IgG

Format

BSA Free

Concentration

Concentrations vary lot to lot. See vial label for concentration. If unlisted please contact technical services.

Product Specifications

Immunogen

This antibody was developed against Recombinant Protein corresponding to amino acids: MSQNGAPGMQEESLQGSWVELHFSNNGNGGSVPASVSIYNGDMEKILLDAQHESGRSSSKSSHCDSPPRSQTPQDTNRASETDTHSIGEKNSSQSEEDDIERRKEVESILKKNSDWIWDWSSRPENIPPKEFLFKHPKRTATLSMRNTSVMKKG

Reactivity Notes

Immunogen displays the following percentage of sequence identity for non-tested species: Mouse (89%), Rat (89%)

Clonality

Polyclonal

Host

Rabbit

Isotype

IgG

Description

Novus Biologicals Rabbit BNIP3 Antibody - BSA Free (NBP1-82566) is a polyclonal antibody validated for use in IHC and WB. All Novus Biologicals antibodies are covered by our 100% guarantee.

Scientific Data Images for BNIP3 Antibody - BSA Free

Western Blot: BNIP3 Antibody [NBP1-82566]

Western Blot: BNIP3 Antibody [NBP1-82566]

Western Blot: BNIP3 Antibody [NBP1-82566] - Analysis in human cell line U-87 MG.
Immunohistochemistry-Paraffin: BNIP3 Antibody [NBP1-82566]

Immunohistochemistry-Paraffin: BNIP3 Antibody [NBP1-82566]

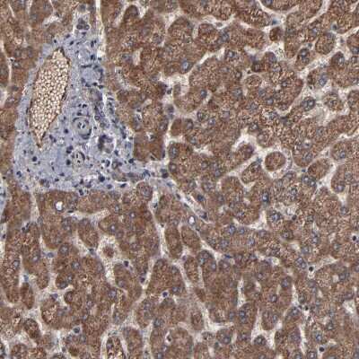
Immunohistochemistry-Paraffin: BNIP3 Antibody [NBP1-82566] - Staining of human liver shows strong granular cytoplasmic positivity in hepatocytes.
Immunohistochemistry-Paraffin: BNIP3 Antibody [NBP1-82566]

Immunohistochemistry-Paraffin: BNIP3 Antibody [NBP1-82566]

Immunohistochemistry-Paraffin: BNIP3 Antibody [NBP1-82566] - Staining of human cerebral cortex shows strong granular cytoplasmic positivity in neurons.

Applications for BNIP3 Antibody - BSA Free

Application
Recommended Usage

Immunohistochemistry

1:200 - 1:500

Immunohistochemistry-Paraffin

1:200 - 1:500

Western Blot

0.04-0.4 ug/ml
Application Notes
For IHC-Paraffin, HIER pH 6 retrieval is recommended.

Formulation, Preparation, and Storage

Purification

Immunogen affinity purified

Formulation

PBS (pH 7.2) and 40% Glycerol

Format

BSA Free

Preservative

0.02% Sodium Azide

Concentration

Concentrations vary lot to lot. See vial label for concentration. If unlisted please contact technical services.

Shipping

The product is shipped with polar packs. Upon receipt, store it immediately at the temperature recommended below.

Stability & Storage

Store at 4C short term. Aliquot and store at -20C long term. Avoid freeze-thaw cycles.

Background: BNIP3

BCL2/adenovirus E1B 19kD protein-interacting protein 3 (BNIP3) is a mitochondrial protein critical for apoptotic events in response to adenovirus infection. It has been implicated in causing a necrotic-like cell death pattern in cells, induced by CD47. This effect has been seen in many cancer cells, and its mis-regulation causes tumor cells to be impervious to normal autophagic events. The tumor suppressor p53 represses the expression of BNIP3, often as a consequence of hypoxic micro-environments as seen in tumors. When BNIP3 is correctly expressed and activated, it translocates to the mitochondria and instigates apoptosis.

Long Name

BCL2/Adenovirus E1B 19 Kda Protein-Interacting Protein 3-Like

Alternate Names

Nip3

Gene Symbol

BNIP3

Additional BNIP3 Products

Product Documents for BNIP3 Antibody - BSA Free

Certificate of Analysis

To download a Certificate of Analysis, please enter a lot number in the search box below.

Product Specific Notices for BNIP3 Antibody - BSA Free

This product is for research use only and is not approved for use in humans or in clinical diagnosis. Primary Antibodies are guaranteed for 1 year from date of receipt.

Loading...
Loading...
Loading...
Loading...