Skip to main content

BID Antibody - BSA Free

Novus Biologicals, part of Bio-Techne | Catalog # NB500-245

Novus Biologicals, part of Bio-Techne

Key Product Details

Species Reactivity

Human

Applications

Immunohistochemistry, Immunohistochemistry-Paraffin, Western Blot

Label

Unconjugated

Antibody Source

Polyclonal Rabbit IgG

Format

BSA Free

Concentration

1.0 mg/ml

Product Specifications

Immunogen

The immunogen this antibody was made to, maps to a region between residues 60 and 120 of human BH3 interacting domain death agonist using the number given in entry NP_932070.1 (GeneID 637). The epitope is found in isoforms 1 and 2 (but not isoform 3) of human BID.

Localization

Isoform 1, isoform 3: Cytoplasm. Isoform 2: Mitochondrion; mitochondrial membrane.

Clonality

Polyclonal

Host

Rabbit

Isotype

IgG

Description

Novus Biologicals Rabbit BID Antibody - BSA Free (NB500-245) is a polyclonal antibody validated for use in IHC and WB. Anti-BID Antibody: Cited in 2 publications. All Novus Biologicals antibodies are covered by our 100% guarantee.

Scientific Data Images for BID Antibody - BSA Free

Western Blot: BID Antibody [NB500-245]

Western Blot: BID Antibody [NB500-245]

Western Blot: BID Antibody [NB500-245] - Detection of human BID by Western blot. Samples: HeLa whole cell extracts.
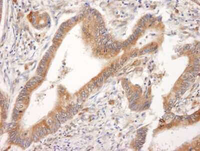
Immunohistochemistry-Paraffin: BID Antibody [NB500-245]

Immunohistochemistry-Paraffin: BID Antibody [NB500-245]

Immunohistochemistry-Paraffin: BID Antibody [NB500-245] - Section of human colon carcinoma. Antibody: Affinity purified rabbit anti-BID used at a dilution of 1:1,000 (1ug/ml). Detection: DAB

Applications for BID Antibody - BSA Free

Application
Recommended Usage

Immunohistochemistry

1:500 - 1:2000

Immunohistochemistry-Paraffin

1:500 - 1:2000

Western Blot

1:1000-1:10000
Application Notes
By Western Blot, this antibody recognizes a band at ~22 kDa, representing BID protein. *The investigator should determine the optimal working dilution for a specific application.

Formulation, Preparation, and Storage

Purification

Immunogen affinity purified

Formulation

Tris-Citrate/Phosphate (pH 7.0 - 8.0)

Format

BSA Free

Preservative

0.09% Sodium Azide

Concentration

1.0 mg/ml

Shipping

The product is shipped with polar packs. Upon receipt, store it immediately at the temperature recommended below.

Stability & Storage

Store at 4C. Do not freeze.

Background: BID

The BID (BCL-2 Interacting Domain) protein belongs to an important class of regulators of apoptosis.

Long Name

BH3 Interacting Domain Death Agonist

Alternate Names

apoptic death agonist, BH3 interacting domain death agonist, BH3-interacting domain death agonist, BID isoform ES(1b), BID isoform L(2), BID isoform Si6, desmocollin type 4, FP497, Human BID coding sequence, MGC15319, MGC42355, p22 BID, tbid

Entrez Gene IDs

637 (Human)

Gene Symbol

BID

Additional BID Products

Product Documents for BID Antibody - BSA Free

Certificate of Analysis

To download a Certificate of Analysis, please enter a lot number in the search box below.

Product Specific Notices for BID Antibody - BSA Free

This product is for research use only and is not approved for use in humans or in clinical diagnosis. Primary Antibodies are guaranteed for 1 year from date of receipt.

Loading...
Loading...
Loading...
Loading...