Skip to main content

beta-Catenin Antibody (6A3P2)

Novus Biologicals, part of Bio-Techne | Catalog # NBP3-15842

Recombinant Monoclonal Antibody
Novus Biologicals, part of Bio-Techne
Catalog #
Availability
Size / Price
Qty
Loading...
NBP3-15842-100ul
NBP3-15842-20ul

Key Product Details

Validated by

Knockout/Knockdown

Species Reactivity

Human, Mouse, Rat

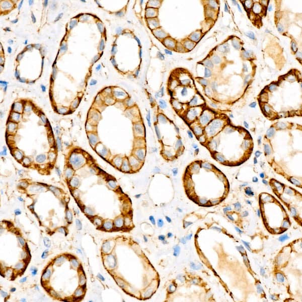
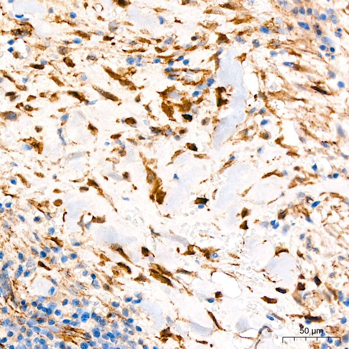
Applications

Knockout Validated, Immunohistochemistry, Immunohistochemistry-Paraffin, Western Blot, ELISA, Immunocytochemistry/ Immunofluorescence, Immunoprecipitation, Chromatin Immunoprecipitation

Label

Unconjugated

Antibody Source

Recombinant Monoclonal Rabbit IgG Clone # 6A3P2 expressed in HEK293

Concentration

Please see the vial label for concentration. If unlisted please contact technical services.

Product Specifications

Immunogen

A synthetic peptide corresponding to a sequence within amino acids 1-100 of human beta Catenin (P35222). MATQADLMELDMAMEPDRKAAVSHWQQQSYLDSGIHSGATTTAPSLSGKGNPEEEDVDTSQVLYEWEQGFSQSFTQEQVADIDGQYAMTRAQRVRAAMFP

Clonality

Monoclonal

Host

Rabbit

Isotype

IgG

Theoretical MW

85 kDa.
Disclaimer note: The observed molecular weight of the protein may vary from the listed predicted molecular weight due to post translational modifications, post translation cleavages, relative charges, and other experimental factors.

Scientific Data Images for beta-Catenin Antibody (6A3P2)

Western Blot: beta-Catenin Antibody (6A3P2) [NBP3-15842]

Western Blot: beta-Catenin Antibody (6A3P2) [NBP3-15842]

Western Blot: beta-Catenin Antibody (9L6X0) [NBP3-15842] - Western blot analysis of extracts of Mouse brain, using beta-Catenin antibody (NBP3-15842) at 1:1000 dilution. Secondary antibody: HRP Goat Anti-Rabbit IgG (H+L) at 1:10000 dilution. Lysates/proteins: 25ug per lane. Blocking buffer: 3% nonfat dry milk in TBST. Detection: ECL Basic Kit. Exposure time: 10s.
Western Blot: beta-Catenin Antibody (6A3P2) [NBP3-15842]

Western Blot: beta-Catenin Antibody (6A3P2) [NBP3-15842]

Western Blot: beta-Catenin Antibody (9L6X0) [NBP3-15842] - Western blot analysis of extracts of HeLa cells, using beta-Catenin antibody (NBP3-15842) at 1:1000 dilution. Secondary antibody: HRP Goat Anti-Rabbit IgG (H+L) at 1:10000 dilution. Lysates/proteins: 25ug per lane. Blocking buffer: 3% nonfat dry milk in TBST. Detection: ECL Basic Kit. Exposure time: 10s.
Knockout Validated: beta-Catenin Antibody (6A3P2) [NBP3-15842]

Western Blot: beta-Catenin Antibody (6A3P2) [NBP3-15842]

Western Blot: beta-Catenin Antibody (9L6X0) [NBP3-15842] - Western blot analysis of extracts from normal (control) and beta-Catenin knockout (KO) 293T cells, using beta-Catenin antibody (NBP3-15842) at 1:1000 dilution. Secondary antibody: HRP Goat Anti-Rabbit IgG (H+L) at 1:10000 dilution. Lysates/proteins: 25ug per lane. Blocking buffer: 3% nonfat dry milk in TBST. Detection: ECL Basic Kit. Exposure time: 10s.

Applications for beta-Catenin Antibody (6A3P2)

Application
Recommended Usage

Chromatin Immunoprecipitation

2μg antibody for 5μg-15μg of Chromatin

ELISA

Recommended starting concentration is 1 μg/mL

Immunocytochemistry/ Immunofluorescence

1:50 - 1:200

Immunohistochemistry

1:50 - 1:200

Immunoprecipitation

0.5μg-4μg antibody for 400μg-600μg extracts of whole cells

Western Blot

1:4000 - 1:20000

Formulation, Preparation, and Storage

Purification

Affinity purified

Formulation

PBS (pH 7.3), 50% glycerol, 0.05% BSA

Preservative

0.02% Sodium Azide

Concentration

Please see the vial label for concentration. If unlisted please contact technical services.

Shipping

The product is shipped with polar packs. Upon receipt, store it immediately at the temperature recommended below.

Stability & Storage

Store at -20C. Avoid freeze-thaw cycles.

Background: beta-Catenin

The protein encoded by the beta Catenin gene is part of a complex of proteins that constitute adherens junctions (AJs). AJs arenecessary for the creation and maintenance of epithelial cell layers by regulating cell growth and adhesion betweencells. The encoded protein also anchors the actin cytoskeleton and may be responsible for transmitting the contactinhibition signal that causes cells to stop dividing once the epithelial sheet is complete. Finally, this proteinbinds to the product of the APC gene, which is mutated in adenomatous polyposis of the colon. Mutations in this geneare a cause of colorectal cancer (CRC), pilomatrixoma (PTR), medulloblastoma (MDB), and ovarian cancer. Three transcript variants encoding the same protein have been found for this gene.

Alternate Names

bCatenin, CTNNB1

Gene Symbol

CTNNB1

Additional beta-Catenin Products

Product Documents for beta-Catenin Antibody (6A3P2)

Certificate of Analysis

To download a Certificate of Analysis, please enter a lot number in the search box below.

Product Specific Notices for beta-Catenin Antibody (6A3P2)

This product is for research use only and is not approved for use in humans or in clinical diagnosis. Primary Antibodies are guaranteed for 1 year from date of receipt.

Loading...
Loading...
Loading...
Loading...