Skip to main content

Bcl-xL Antibody (HL2038) - Azide and BSA Free

Novus Biologicals, part of Bio-Techne | Catalog # NBP3-25383

Recombinant Monoclonal Antibody
Novus Biologicals, part of Bio-Techne
Catalog #
Availability
Size / Price
Qty
Loading...
NBP3-25383

Key Product Details

Validated by

Orthogonal Validation

Species Reactivity

Human, Mouse, Rat, Canine, Feline

Applications

Immunohistochemistry, Immunohistochemistry-Paraffin, Western Blot

Label

Unconjugated

Antibody Source

Recombinant Monoclonal Rabbit IgG Clone # HL2038 expressed in HEK293

Format

Azide and BSA Free

Concentration

Concentrations vary lot to lot. See vial label for concentration. If unlisted please contact technical services.

Product Specifications

Immunogen

Recombinant fragment of human Bcl-xL

Clonality

Monoclonal

Host

Rabbit

Isotype

IgG

Description

Novus Biologicals Rabbit Bcl-xL Antibody (HL2038) - Azide and BSA Free (NBP3-25383) is a recombinant monoclonal antibody validated for use in IHC and WB. All Novus Biologicals antibodies are covered by our 100% guarantee.

Scientific Data Images for Bcl-xL Antibody (HL2038) - Azide and BSA Free

Bcl-xL Antibody (HL2038) - Azide and BSA Free

Western Blot: Bcl-xL Antibody (HL2038) - Azide and BSA Free [NBP3-25383] -

Western Blot: Bcl-xL Antibody (HL2038) - Azide and BSA Free [NBP3-25383] - Rat tissue extract (50 ug) was separated by 12% SDS-PAGE, and the membrane was blotted with Bcl-XL antibody [HL2038] (NBP3-25383) diluted at 1:1000. The HRP-conjugated anti-rabbit IgG antibody was used to detect the primary antibody.
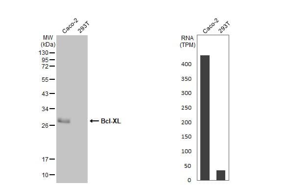
Bcl-xL Antibody (HL2038) - Azide and BSA Free

Western Blot: Bcl-xL Antibody (HL2038) - Azide and BSA Free [NBP3-25383] -

Western Blot: Bcl-xL Antibody (HL2038) - Azide and BSA Free [NBP3-25383] - Various whole cell extracts (30 ug) were separated by 12% SDS-PAGE, and the membrane was blotted with Bcl-XL antibody [HL2038] (NBP3-25383) diluted at 1:1000. The HRP-conjugated anti-rabbit IgG antibody was used to detect the primary antibody. Corresponding RNA expression data for the same cell lines are based on Human Protein Atlas program.
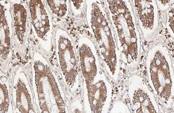
Bcl-xL Antibody (HL2038) - Azide and BSA Free

Immunohistochemistry-Paraffin: Bcl-xL Antibody (HL2038) - Azide and BSA Free [NBP3-25383] -

Immunohistochemistry-Paraffin: Bcl-xL Antibody (HL2038) - Azide and BSA Free [NBP3-25383] - Bcl-XL antibody [HL2038] detects Bcl-XL protein at cytoplasm by immunohistochemical analysis. Sample: Paraffin-embedded cat intestine. Bcl-XL stained by Bcl-XL antibody [HL2038] (NBP3-25383) diluted at 1:100. Antigen Retrieval: Citrate buffer, pH 6.0, 15 min

Applications for Bcl-xL Antibody (HL2038) - Azide and BSA Free

Application
Recommended Usage

Western Blot

1:500-1:3000

Formulation, Preparation, and Storage

Purification

Protein A purified

Formulation

PBS

Format

Azide and BSA Free

Preservative

No Preservative

Concentration

Concentrations vary lot to lot. See vial label for concentration. If unlisted please contact technical services.

Shipping

The product is shipped with polar packs. Upon receipt, store it immediately at the temperature recommended below.

Stability & Storage

Store at 4C short term. Aliquot and store at -20C long term. Avoid freeze-thaw cycles.

Background: Bcl-xL

Bcl-x, a member of the Bcl-2 protein family, inhibits cell death, or apoptosis (1). Bcl-x is expressed as two isomeric forms, Bcl-xL and Bcl-xS, and is typically present in the cytosol in association with the mitochondrial membrane. Bcl-xL forms heterodimers with various proteins, including Bax, Bak and Bcl-2 (2). It has been found that eterodimerization with Bax does not seem to be required for anti-apoptotic activity (3). Since Bcl-xL can form an ion channel in synthetic lipid membranes, there is a strong possibility that this property plays a role in heterodimerization-independent cell survival (4). The Bcl-X(S) isoform promotes apoptosis.

Long Name

B Cell Lymphoma/Leukemia x Long Form

Alternate Names

BclxL

Gene Symbol

BCL2L1

Additional Bcl-xL Products

Product Documents for Bcl-xL Antibody (HL2038) - Azide and BSA Free

Certificate of Analysis

To download a Certificate of Analysis, please enter a lot number in the search box below.

Product Specific Notices for Bcl-xL Antibody (HL2038) - Azide and BSA Free

This product is for research use only and is not approved for use in humans or in clinical diagnosis. Primary Antibodies are guaranteed for 1 year from date of receipt.

Loading...
Loading...
Loading...
Loading...