Skip to main content

B7-1/CD80 Antibody (OTI2E5) - Azide and BSA Free

Novus Biologicals, part of Bio-Techne | Catalog # NBP2-70364

Novus Biologicals, part of Bio-Techne

Key Product Details

Species Reactivity

Human

Applications

Immunohistochemistry, Immunohistochemistry-Paraffin, Western Blot, Immunocytochemistry/ Immunofluorescence, Simple Western

Label

Unconjugated

Antibody Source

Monoclonal Mouse IgG2A Clone # OTI2E5

Format

Azide and BSA Free

Concentration

LYOPH mg/ml

Product Specifications

Immunogen

Full length human recombinant protein of human CD80 (NP_005182) produced in HEK293T cell.

Clonality

Monoclonal

Host

Mouse

Isotype

IgG2A

Theoretical MW

29.3 kDa.
Disclaimer note: The observed molecular weight of the protein may vary from the listed predicted molecular weight due to post translational modifications, post translation cleavages, relative charges, and other experimental factors.

Description

Novus Biologicals Mouse B7-1/CD80 Antibody (OTI2E5) - Azide and BSA Free (NBP2-02905) is a monoclonal antibody validated for use in IHC, WB, ICC/IF and Simple Western. All Novus Biologicals antibodies are covered by our 100% guarantee.

Scientific Data Images for B7-1/CD80 Antibody (OTI2E5) - Azide and BSA Free

Western Blot: B7-1/CD80 Antibody (OTI2E5)Azide and BSA Free [NBP2-70364]

Western Blot: B7-1/CD80 Antibody (OTI2E5)Azide and BSA Free [NBP2-70364]

Western Blot: B7-1/CD80 Antibody (OTI2E5) - Azide and BSA Free [NBP2-70364] - HEK293T cells were transfected with the pCMV6-ENTRY control (Left lane) or pCMV6-ENTRY CD80 (Right lane) cDNA for 48 hrs and lysed. Equivalent amounts of cell lysates (5 ug per lane) were separated by SDS-PAGE and immunoblotted with anti-CD80.
Immunocytochemistry/ Immunofluorescence: B7-1/CD80 Antibody (OTI2E5) - Azide and BSA Free [NBP2-70364]

Immunocytochemistry/ Immunofluorescence: B7-1/CD80 Antibody (OTI2E5) - Azide and BSA Free [NBP2-70364]

Immunocytochemistry/Immunofluorescence: B7-1/CD80 Antibody (OTI2E5) - Azide and BSA Free [NBP2-70364] - Staining of COS7 cells transiently transfected by pCMV6-ENTRY CD80.
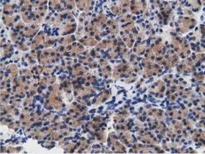
Immunohistochemistry: B7-1/CD80 Antibody (OTI2E5) - Azide and BSA Free [NBP2-70364]

Immunohistochemistry: B7-1/CD80 Antibody (OTI2E5) - Azide and BSA Free [NBP2-70364]

Immunohistochemistry: B7-1/CD80 Antibody (OTI2E5) - Azide and BSA Free [NBP2-70364] - Staining of paraffin-embedded Human pancreas tissue using anti-CD80 mouse monoclonal antibody.

Applications for B7-1/CD80 Antibody (OTI2E5) - Azide and BSA Free

Application
Recommended Usage

Immunocytochemistry/ Immunofluorescence

1:100

Immunohistochemistry

1:150

Immunohistochemistry-Paraffin

1:150

Simple Western

1:50

Western Blot

1:2000
Application Notes
See Simple Western Antibody Database for Simple Western validation: antibody dilution of 1:50

Formulation, Preparation, and Storage

Purification

Immunogen affinity purified

Reconstitution

we recommend adding 100uL distilled water to a final antibody concentration of about 1 mg/mL. To use this carrier-free antibody for conjugation experiment, we strongly recommend performing another round of desalting process.

Formulation

Lyophilized from PBS (pH 7.3) with 8% Trehalose

Format

Azide and BSA Free

Preservative

No Preservative

Concentration

LYOPH mg/ml

Shipping

The product is shipped with polar packs. Upon receipt, store it immediately at the temperature recommended below.

Stability & Storage

Store at -20C. Avoid freeze-thaw cycles.

Background: B7-1/CD80

The B-lymphocyte activation antigen B7-1 (CD80) provides regulatory signals for T lymphocytes as a consequence of binding to the CD28 and CTLA4 ligands of T cells. After engagement of T-cell receptor with antigen in association with major histocompatibility complex class II, a second signal mediated through the binding of B7 to CD28 greatly upregulates the production of multiple lymphokines (1). The relatively small CTLA-4/B7-1 binding interface exhibits an unusually high degree of shape complementarity. CTLA-4 forms homodimers through a newly defined interface of highly conserved residues. This zipper-like oligomerization provides the structural basis for forming unusually stable signalling complexes at the T-cell surface, underscoring the importance of potent inhibitory signalling in human immune responses (2).

Alternate Names

B71, CD80

Gene Symbol

CD80

Additional B7-1/CD80 Products

Product Documents for B7-1/CD80 Antibody (OTI2E5) - Azide and BSA Free

Certificate of Analysis

To download a Certificate of Analysis, please enter a lot number in the search box below.

Product Specific Notices for B7-1/CD80 Antibody (OTI2E5) - Azide and BSA Free

This product is for research use only and is not approved for use in humans or in clinical diagnosis. Primary Antibodies are guaranteed for 1 year from date of receipt.

Loading...
Loading...
Loading...
Loading...
Loading...