Apolipoprotein H/ApoH Antibody (OTI4A11)
Novus Biologicals, part of Bio-Techne | Catalog # NBP2-46534
Conjugate
Catalog #
Forumulation
Catalog #
Key Product Details
Species Reactivity
Human
Applications
Immunohistochemistry, Immunohistochemistry-Paraffin, Western Blot
Label
Unconjugated
Antibody Source
Monoclonal Mouse IgG1 Clone # OTI4A11
Concentration
1 mg/ml
Product Specifications
Immunogen
Human recombinant protein fragment corresponding to amino acids 120-345 of human APOH(NP_000033) produced in E.coli.
Clonality
Monoclonal
Host
Mouse
Isotype
IgG1
Theoretical MW
36.2 kDa.
Disclaimer note: The observed molecular weight of the protein may vary from the listed predicted molecular weight due to post translational modifications, post translation cleavages, relative charges, and other experimental factors.
Disclaimer note: The observed molecular weight of the protein may vary from the listed predicted molecular weight due to post translational modifications, post translation cleavages, relative charges, and other experimental factors.
Scientific Data Images for Apolipoprotein H/ApoH Antibody (OTI4A11)
Western Blot: Apolipoprotein H/ApoH Antibody (OTI4A11) [NBP2-46534]
Western Blot: Apolipoprotein H/ApoH Antibody (4A11) [NBP2-46534] - Analysis of extracts (10ug) from 5 different cell lines and 4 human tissues(1: Hela; 2: HepG2; 3: K562; 4: Mcf7; 5: SVT2; 6: Liver; 7: Testis; 8: Brain; 9: Uterus)Immunohistochemistry: Apolipoprotein H/ApoH Antibody (OTI4A11) [NBP2-46534]
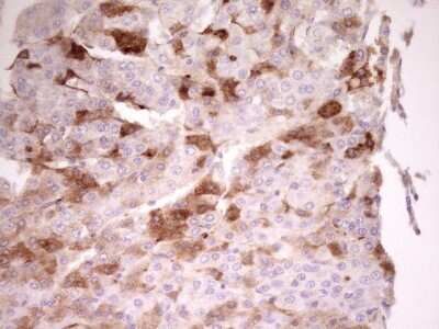
Immunohistochemistry: Apolipoprotein H/ApoH Antibody (4A11) [NBP2-46534] - Analysis of Carcinoma of Human pancreas tissue. (Heat-induced epitope retrieval by 1 mM EDTA in 10mM Tris, pH8.5, 120C for 3min)Western Blot: Apolipoprotein H/ApoH Antibody (OTI4A11) [NBP2-46534]
Western Blot: Apolipoprotein H/ApoH Antibody (4A11) [NBP2-46534] - Analysis of HEK293T cells were transfected with the pCMV6-ENTRY control (Left lane) or pCMV6-ENTRY Apolipoprotein H.Applications for Apolipoprotein H/ApoH Antibody (OTI4A11)
Application
Recommended Usage
Immunohistochemistry
1:150
Western Blot
1:2000
Formulation, Preparation, and Storage
Purification
Immunogen affinity purified
Formulation
PBS (pH 7.3), 1.0% BSA and 50% Glycerol
Preservative
0.02% Sodium Azide
Concentration
1 mg/ml
Shipping
The product is shipped with polar packs. Upon receipt, store it immediately at the temperature recommended below.
Stability & Storage
Store at -20C. Avoid freeze-thaw cycles.
Background: Apolipoprotein H/ApoH
Alternate Names
APOH, B2G1, B2GPI, Beta, BG
Gene Symbol
APOH
Additional Apolipoprotein H/ApoH Products
Product Documents for Apolipoprotein H/ApoH Antibody (OTI4A11)
Product Specific Notices for Apolipoprotein H/ApoH Antibody (OTI4A11)
This product is for research use only and is not approved for use in humans or in clinical diagnosis. Primary Antibodies are guaranteed for 1 year from date of receipt.
Loading...
Loading...
Loading...
Loading...